Suppr超能文献

IgG和IgM抗体固定补体在犬肾组织培养细胞溶解中的差异效应。

Differential effectiveness of complement fixed by IgG and IgM antibodies in the cytolysis of dog kidney tissue culture cells.

作者信息

Sell K W, Spooner R L

出版信息

Immunology. 1966 Dec;11(6):533-46.

Abstract

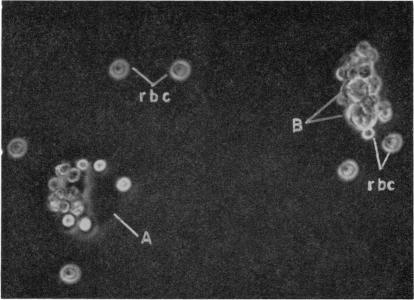
Sensitizing and complement fixing properties of IgG (7S) and IgM (19S) rabbit anti-horse kidney (Forssman) antibodies have been studied. Agglutination, indirect antiglobulin and mixed antiglobulin techniques were used to determine the extent of antibody sensitization of sheep red cells and dog kidney tissue culture cells. Immune adherence and mixed conglutination were used to demonstrate the presence of sites of complement fixation on these sensitized cells. The relationship between the presence of fixed complement and the subsequent immune lysis of the test cells was examined. Guinea-pig serum-complement appeared to be less well fixed by IgG than by IgM antibodies. However, the complement fixed by IgG antibody was shown to be highly lytic both for sheep red cells and dog kidney tissue culture cells. The fixation of complement by IgM antibodies resulted in weak and relatively ineffective cytolysis of dog kidney cells, but effective haemolysis of sheep red cells. The sensitivity of the immune adherence test for detection of `natural' antibodies was also demonstrated.

摘要

对兔抗马肾(福斯曼)IgG(7S)和IgM(19S)抗体的致敏和补体结合特性进行了研究。采用凝集、间接抗球蛋白和混合抗球蛋白技术来确定绵羊红细胞和犬肾组织培养细胞的抗体致敏程度。利用免疫黏附和混合凝集来证明这些致敏细胞上补体结合位点的存在。研究了固定补体的存在与受试细胞随后的免疫溶解之间的关系。豚鼠血清补体似乎被IgG固定的程度不如被IgM抗体固定的程度。然而,IgG抗体固定的补体对绵羊红细胞和犬肾组织培养细胞均显示出高度的溶细胞作用。IgM抗体固定补体导致犬肾细胞的微弱且相对无效的细胞溶解,但对绵羊红细胞有有效的溶血作用。还证明了免疫黏附试验检测“天然”抗体的敏感性。

https://cdn.ncbi.nlm.nih.gov/pmc/blobs/cbea/1423816/5375274041b5/immunology00419-0025-a.jpg

文献检索

告别复杂PubMed语法,用中文像聊天一样搜索,搜遍4000万医学文献。AI智能推荐,让科研检索更轻松。

立即免费搜索

文件翻译

保留排版,准确专业,支持PDF/Word/PPT等文件格式,支持 12+语言互译。

免费翻译文档

深度研究

AI帮你快速写综述,25分钟生成高质量综述,智能提取关键信息,辅助科研写作。

立即免费体验