• 文献检索
  • 文档翻译
  • 深度研究
  • 学术资讯
  • Suppr Zotero 插件Zotero 插件
  • 邀请有礼
  • 套餐&价格
  • 历史记录
应用&插件
Suppr Zotero 插件Zotero 插件浏览器插件Mac 客户端Windows 客户端微信小程序
定价
高级版会员购买积分包购买API积分包
服务
文献检索文档翻译深度研究API 文档MCP 服务
关于我们
关于 Suppr公司介绍联系我们用户协议隐私条款
关注我们

Suppr 超能文献

核心技术专利:CN118964589B侵权必究
粤ICP备2023148730 号-1Suppr @ 2026

文献检索

告别复杂PubMed语法,用中文像聊天一样搜索,搜遍4000万医学文献。AI智能推荐,让科研检索更轻松。

立即免费搜索

文件翻译

保留排版,准确专业,支持PDF/Word/PPT等文件格式,支持 12+语言互译。

免费翻译文档

深度研究

AI帮你快速写综述,25分钟生成高质量综述,智能提取关键信息,辅助科研写作。

立即免费体验

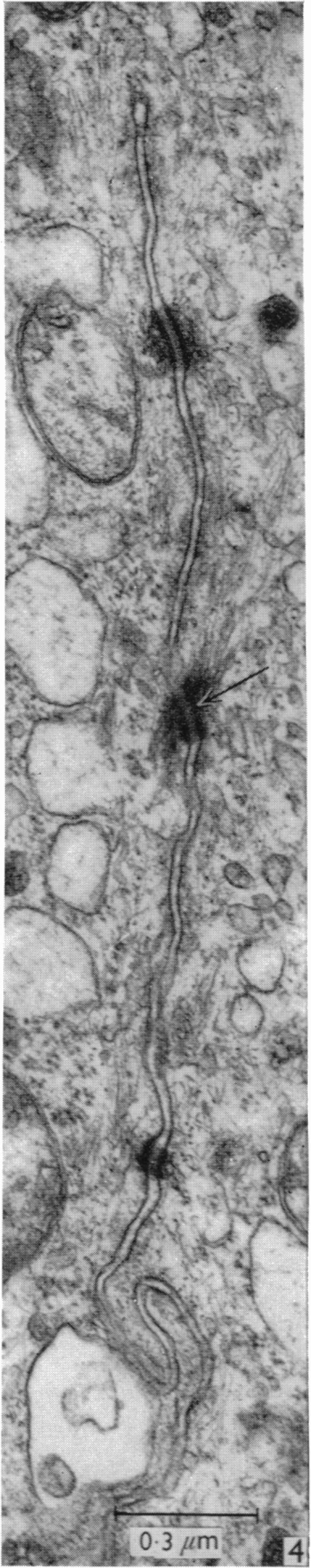
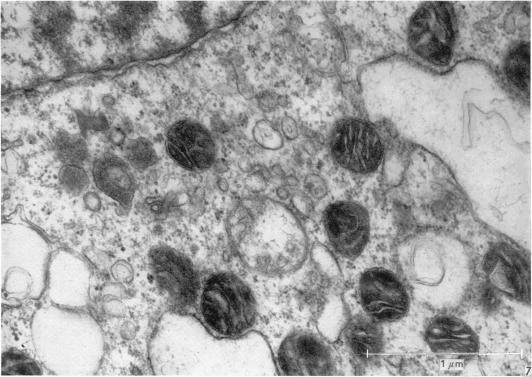
Electron microscopic observations on the cytotrophoblast contribution to the syncytium in the human placenta.

作者信息

Boyd J D, Hamilton W J

出版信息

J Anat. 1966 Jul;100(Pt 3):535-48.

PMID:5965440
原文链接:https://pmc.ncbi.nlm.nih.gov/articles/PMC1270795/
Abstract
摘要
https://cdn.ncbi.nlm.nih.gov/pmc/blobs/8338/1270795/e980fe05bcbd/janat00415-0097-b.jpg
https://cdn.ncbi.nlm.nih.gov/pmc/blobs/8338/1270795/20a03d5cc92f/janat00415-0089-a.jpg
https://cdn.ncbi.nlm.nih.gov/pmc/blobs/8338/1270795/22bc3a811cf2/janat00415-0089-b.jpg
https://cdn.ncbi.nlm.nih.gov/pmc/blobs/8338/1270795/3e9b20e40254/janat00415-0091-a.jpg
https://cdn.ncbi.nlm.nih.gov/pmc/blobs/8338/1270795/948b2b709d33/janat00415-0091-b.jpg
https://cdn.ncbi.nlm.nih.gov/pmc/blobs/8338/1270795/8e344b6e925b/janat00415-0093-a.jpg
https://cdn.ncbi.nlm.nih.gov/pmc/blobs/8338/1270795/042ab369dac3/janat00415-0093-b.jpg
https://cdn.ncbi.nlm.nih.gov/pmc/blobs/8338/1270795/b2acbcc8bd0d/janat00415-0095-a.jpg
https://cdn.ncbi.nlm.nih.gov/pmc/blobs/8338/1270795/4df13034f85f/janat00415-0095-b.jpg
https://cdn.ncbi.nlm.nih.gov/pmc/blobs/8338/1270795/ae20ecd2d924/janat00415-0097-a.jpg
https://cdn.ncbi.nlm.nih.gov/pmc/blobs/8338/1270795/e980fe05bcbd/janat00415-0097-b.jpg
https://cdn.ncbi.nlm.nih.gov/pmc/blobs/8338/1270795/20a03d5cc92f/janat00415-0089-a.jpg
https://cdn.ncbi.nlm.nih.gov/pmc/blobs/8338/1270795/22bc3a811cf2/janat00415-0089-b.jpg
https://cdn.ncbi.nlm.nih.gov/pmc/blobs/8338/1270795/3e9b20e40254/janat00415-0091-a.jpg
https://cdn.ncbi.nlm.nih.gov/pmc/blobs/8338/1270795/948b2b709d33/janat00415-0091-b.jpg
https://cdn.ncbi.nlm.nih.gov/pmc/blobs/8338/1270795/8e344b6e925b/janat00415-0093-a.jpg
https://cdn.ncbi.nlm.nih.gov/pmc/blobs/8338/1270795/042ab369dac3/janat00415-0093-b.jpg
https://cdn.ncbi.nlm.nih.gov/pmc/blobs/8338/1270795/b2acbcc8bd0d/janat00415-0095-a.jpg
https://cdn.ncbi.nlm.nih.gov/pmc/blobs/8338/1270795/4df13034f85f/janat00415-0095-b.jpg
https://cdn.ncbi.nlm.nih.gov/pmc/blobs/8338/1270795/ae20ecd2d924/janat00415-0097-a.jpg
https://cdn.ncbi.nlm.nih.gov/pmc/blobs/8338/1270795/e980fe05bcbd/janat00415-0097-b.jpg

相似文献

1
Electron microscopic observations on the cytotrophoblast contribution to the syncytium in the human placenta.关于细胞滋养层对人胎盘合体滋养层贡献的电子显微镜观察
J Anat. 1966 Jul;100(Pt 3):535-48.
2
The surface of the syncytium of the human chorionic villus.人绒毛膜绒毛合体滋养层的表面。
J Anat. 1968 Mar;102(Pt 3):553-63.
3
Fine structural changes in the placental membrane of the marmoset with increasing gestational age.狨猴胎盘膜随胎龄增加的超微结构变化。
Anat Rec. 1973 Jul;176(3):307-19. doi: 10.1002/ar.1091760306.
4
The allantoic placenta of the vampire bat (Desmodus rotundus murinus): a reinterpretation of its structure based on electron microscopic observations.吸血蝙蝠(Desmodus rotundus murinus)的尿囊胎盘:基于电子显微镜观察对其结构的重新诠释。
Anat Rec. 1968 Sep;162(1):83-98. doi: 10.1002/ar.1091620108.
5
[Ultrastructural differentiation of the trophoblast of human placenta].[人胎盘滋养层细胞的超微结构分化]
C R Assoc Anat. 1970 Dec;149:1037-43.
6
Electron microscopic observations on fibrinoid and histiotroph in the junctional zone and villi of the human placenta.人胎盘交界区和绒毛中纤维蛋白样物质及组织营养物的电子显微镜观察
Am J Anat. 1970 Aug;128(4):463-84. doi: 10.1002/aja.1001280405.
7
A new cytoplasmic component in the trophoblast cells of the rat and mouse.大鼠和小鼠滋养层细胞中的一种新的细胞质成分。
Anat Rec. 1966 Jul;155(3):385-99. doi: 10.1002/ar.1091550310.
8
Ultrastructure of the anchoring villi and trophoblastic shell in the second week of placentation.胎盘形成第二周时固定绒毛和滋养层壳的超微结构。
Acta Obstet Gynecol Scand. 1971;50(2):117-28. doi: 10.3109/00016347109157296.
9
[Human placental villi of the 2d pregnancy trimester in the electron microscopic picture].[妊娠中期(孕2月)人胎盘绒毛的电子显微镜图像]
Z Geburtshilfe Gynakol. 1968;169(1):1-16.
10
A reexamination of the chorioallantoic placental membrane of a shrew, Blarina brevicauda: resolution of a controversy.对短尾鼩鼱(Blarina brevicauda)绒毛膜尿囊胎盘膜的重新审视:一场争议的解决
Am J Anat. 1973 Oct;138(2):207-33. doi: 10.1002/aja.1001380207.

引用本文的文献

1
Megalin Is Predominantly Observed in Vesicular Structures in First and Third Trimester Cytotrophoblasts of the Human Placenta.巨蛋白主要在人胎盘第一和晚期滋养层细胞的囊泡结构中观察到。
J Histochem Cytochem. 2016 Dec;64(12):769-784. doi: 10.1369/0022155416672210. Epub 2016 Oct 21.
2
Human cytomegalovirus is protected from inactivation by reversible binding to villous trophoblasts.人类巨细胞病毒通过与绒毛滋养层细胞可逆结合而免受失活。
Biol Reprod. 2011 Jul;85(1):198-207. doi: 10.1095/biolreprod.110.088567. Epub 2011 Mar 2.
3
The feto-maternal interface: setting the stage for potential immune interactions.

本文引用的文献

1
A presomite human embryo (Shaw): the implantation.一个原肠胚期人类胚胎(肖氏):着床。
J Anat. 1942 Jan;76(Pt 2):187-203.
2
The ultrastructure of the human full-term placenta.人类足月胎盘的超微结构。
J Ultrastruct Res. 1962 Feb;6:88-106. doi: 10.1016/s0022-5320(62)90063-1.
3
Development of the human placenta in the first three months of gestation.妊娠前三个月人类胎盘的发育
母胎界面:为潜在的免疫相互作用奠定基础。
Semin Immunopathol. 2007 Jun;29(2):83-94. doi: 10.1007/s00281-007-0070-7.
4
Intercellular junctions in the full term human placenta. II. Cytotrophoblast cells, intravillous stroma cells and blood vessels.足月人胎盘的细胞间连接。II. 细胞滋养层细胞、绒毛间质细胞和血管。
Anat Embryol (Berl). 1980;158(2):167-78. doi: 10.1007/BF00315904.
5
Observations on the vacuolar structure of the human syncytiotrophoblast.关于人合体滋养层细胞空泡结构的观察
Z Zellforsch Mikrosk Anat. 1968 May 2;88(1):57-79. doi: 10.1007/BF00492234.
6
Control mechanisms for gonadotrophic hormone production in vitro.体外促性腺激素产生的控制机制
In Vitro. 1970 Nov-Dec;6(3):205-14. doi: 10.1007/BF02617765.
7
[Trophoblastic plasma polyps and regressive changes in trophoblastic villi of the human placenta].[人胎盘滋养层绒毛中的滋养层血浆息肉及退行性变化]
Arch Gynakol. 1972;212(1):51-67. doi: 10.1007/BF00668008.
8
The persistence of "steroid-synthesizing cell" antigen and 3beta-hydroxysteroid dehydrogenase in organ cultures of normal human placentas.正常人胎盘器官培养中“类固醇合成细胞”抗原和3β-羟基类固醇脱氢酶的持续存在。
Br J Exp Pathol. 1970 Apr;51(2):171-8.
9
Morphogenesis of the syncytium in the mouse placenta. Ultrastructural study.小鼠胎盘合体滋养层的形态发生。超微结构研究。
Cell Tissue Res. 1974 Apr 30;148(3):381-96. doi: 10.1007/BF00224265.
10
The ultrastructure of pig trophoblast rransplanted to an ectopic site in the uterine wall.移植到子宫壁异位部位的猪滋养层细胞的超微结构。
J Anat. 1972 Oct;113(Pt 1):139-49.
J Anat. 1960 Jul;94(Pt 3):297-328.
4
THE FORMATION OF HYBRID MULTINUCLEATED MUSCLE FIBERS FROM MYOBLASTS OF DIFFERENT GENETIC ORIGIN.不同遗传来源的成肌细胞形成杂交多核肌纤维。
Dev Biol. 1965 Apr;11:300-17. doi: 10.1016/0012-1606(65)90062-x.
5
AN ELECTRON MICROSCOPE STUDY OF THE DEVELOPMENT OF THE SOMATIC MUSCLE OF THE CHICK EMBRYO.鸡胚体肌发育的电子显微镜研究
Am J Anat. 1965 May;116:523-65. doi: 10.1002/aja.1001160305.
6
VIABILITY AND DIFFERENTIATION OF HUMAN TROPHOBLAST IN ORGAN CULTURE.人滋养层细胞在器官培养中的生存能力与分化
Am J Anat. 1965 Jan;116:315-27. doi: 10.1002/aja.1001160116.
7
A COMPARATIVE STUDY OF THE FINE STRUCTURE OF THE TROPHOBLAST IN SEVERAL HEMOCHORIAL PLACENTAS.几种血绒毛膜胎盘滋养层细胞超微结构的比较研究
Am J Anat. 1965 Jan;116:29-67. doi: 10.1002/aja.1001160103.
8
FORMATION OF SYNCYTIUM FROM CYTOTROPHOBLAST IN THE HUMAN PLACENTA.人胎盘细胞滋养层形成合体滋养层。
Obstet Gynecol. 1965 Mar;25:378-86.
9
ULTRASTRUCTURE OF HYDATIDIFORM MOLE: CORRELATIVE ELECTRON MICROSCOPIC AND FUNCTIONAL ASPECTS.葡萄胎的超微结构:电子显微镜观察与功能相关性
Am J Obstet Gynecol. 1964 Oct 1;90:293-307.
10
MORPHOLOGIC EVIDENCE OF SYNCYTIAL FORMATION FROM THE CYTOTROPHOBLASTIC CELLS.细胞滋养层细胞形成合体细胞的形态学证据。
Obstet Gynecol. 1964 May;23:647-56.