Suppr超能文献

由豆状核-内囊-尾状核血管病变引起的肌张力障碍。

Dystonia caused by putamino-capsulo-caudate vascular lesions.

作者信息

Demierre B, Rondot P

机构信息

Service of Neurology, Hôpital Sainte Anne, Paris, France.

出版信息

J Neurol Neurosurg Psychiatry. 1983 May;46(5):404-9. doi: 10.1136/jnnp.46.5.404.

Abstract

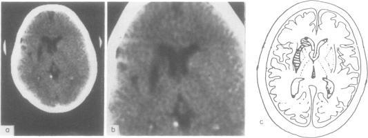
Three cases of unilateral dystonia of vascular origin are presented and compared with those in the literature. Damage in the region of the lenticulostriate arteries accounted for ischaemic lesions of the putamino-capsulo-caudate region, the external pallidum probably also being involved. This syndrome appears if the ischaemic accident took place during childhood. The functions of each of these structures and the possible role of the anterior limb of the internal capsule are discussed.

摘要

本文报告了3例血管源性单侧肌张力障碍病例,并与文献中的病例进行了比较。豆纹动脉区域的损伤导致壳核-内囊-尾状核区域的缺血性病变,外苍白球可能也受累。如果缺血性意外发生在儿童期,则会出现该综合征。文中讨论了这些结构各自的功能以及内囊前肢可能发挥的作用。

https://cdn.ncbi.nlm.nih.gov/pmc/blobs/25f9/1027387/ffc0499b785b/jnnpsyc00133-0033-a.jpg

文献AI研究员

20分钟写一篇综述,助力文献阅读效率提升50倍。

立即体验

用中文搜PubMed

大模型驱动的PubMed中文搜索引擎

马上搜索

文档翻译

学术文献翻译模型,支持多种主流文档格式。

立即体验