Suppr超能文献

积液中良性和恶性细胞前角蛋白丝的免疫组织化学定位。与通过电子显微镜观察的中间丝分布的比较。

Immunohistochemical localization of prekeratin filaments in benign and malignant cells in effusions. Comparison with intermediate filament distribution by electron microscopy.

作者信息

Kahn H J, Hanna W, Yeger H, Baumal R

出版信息

Am J Pathol. 1982 Nov;109(2):206-14.

Abstract

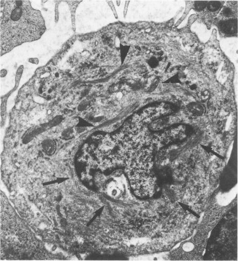
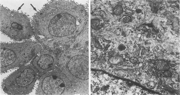
An immunoperoxidase technique employing antibody to prekeratin was used to study distribution and pattern of staining of prekeratin filaments in cytological smears obtained from 42 specimens of pleural and peritoneal effusions (27 benign, 15 malignant). The smears were either air-dried or ethanol-fixed. Both benign and malignant mesothelial cells showed distinctive peripheral or perinuclear staining patterns which differed from the characteristic arborizing pattern in adenocarcinoma cells. The ultrastructure of these 2 cell types studied in 27 body fluids (12 benign, 15 malignant) and in 13 malignant tumors (3 mesotheliomas, 10 adenocarcinomas) showed a distinctive localizaton of intermediate filaments which corresponded to and could explain the pattern of staining obtained using the immunoperoxidase technique. The immunohistochemical and ultrastructural findings appeared characteristic for benign and malignant mesothelial cells as well as for adenocarcinoma cells, and could be used as markers to differentiate mesothelial tumors and reactive mesothelial cells from adenocarcinomas.

摘要

采用抗前角蛋白抗体的免疫过氧化物酶技术,研究了取自42例胸腔和腹腔积液标本(27例良性,15例恶性)的细胞学涂片上前角蛋白丝的分布和染色模式。涂片采用空气干燥或乙醇固定。良性和恶性间皮细胞均显示出独特的周边或核周染色模式,这与腺癌细胞中典型的树枝状模式不同。在27份体液(12份良性,15份恶性)和13例恶性肿瘤(3例间皮瘤,10例腺癌)中研究的这两种细胞类型的超微结构显示,中间丝有独特的定位,这与免疫过氧化物酶技术获得的染色模式相符且可以解释该模式。免疫组织化学和超微结构研究结果对于良性和恶性间皮细胞以及腺癌细胞而言似乎具有特征性,并且可以用作将间皮肿瘤和反应性间皮细胞与腺癌区分开来的标志物。

https://cdn.ncbi.nlm.nih.gov/pmc/blobs/7842/1916102/04eafdbfd818/amjpathol00200-0082-a.jpg

文献检索

告别复杂PubMed语法,用中文像聊天一样搜索,搜遍4000万医学文献。AI智能推荐,让科研检索更轻松。

立即免费搜索

文件翻译

保留排版,准确专业,支持PDF/Word/PPT等文件格式,支持 12+语言互译。

免费翻译文档

深度研究

AI帮你快速写综述,25分钟生成高质量综述,智能提取关键信息,辅助科研写作。

立即免费体验