Suppr超能文献

哺乳动物肺的1型肺泡衬里细胞。I. 从成年兔离体肺中分离和富集。

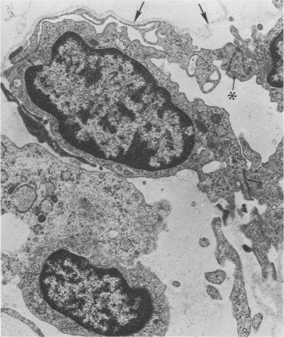
The type 1 alveolar lining cells of the mammalian lung. I. Isolation and enrichment from dissociated adult rabbit lung.

作者信息

Picciano P, Rosenbaum R M

出版信息

Am J Pathol. 1978 Jan;90(1):99-122.

Abstract

With removal of large numbers of macrophages by airway lavage, Type 1 cells were isolated in heterogeneous cell populations following the stepwise dissociation of lung tissue. Using a carefully timed collagenase-trypsin digestive sequence at 37 C, unwanted cellular and noncellular lung components were minimized prior to selective release of Type 1 cells. Resulting heterogeneous cell suspensions containing well-preserved Type 1 cells, as determined by electron microscopy, were layered onto a shallow gradient (3 to 6% Ficoll in minimal essential medium [MEM]) and separated at unit gravity into enriched subpopulations of various cell types. These included various fractions enriched with respect to Type 1 cells (70%), Type 2 cells (82%), and macrophages (81%). Identification of Type 1 cells following their isolation and gradient enrichment was established by light microscopic staining techniques and by specific cell surface characteristics in vitro as visualized by electron microscopy.

摘要

通过气道灌洗去除大量巨噬细胞后,在肺组织逐步解离后的异质细胞群体中分离出I型细胞。在37℃下使用精心定时的胶原酶 - 胰蛋白酶消化序列,在选择性释放I型细胞之前,将不需要的细胞和非细胞肺成分减至最少。通过电子显微镜测定,所得含有保存良好的I型细胞的异质细胞悬液被铺在浅梯度(最低限度基本培养基[MEM]中3%至6%的菲可)上,并在单位重力下分离成各种细胞类型的富集亚群。这些包括富含I型细胞(70%)、II型细胞(82%)和巨噬细胞(81%)的不同组分。通过光学显微镜染色技术以及电子显微镜观察到的体外特定细胞表面特征,确定了分离和梯度富集后的I型细胞。

https://cdn.ncbi.nlm.nih.gov/pmc/blobs/f7a5/2018216/3de58ff3dd52/amjpathol00741-0130-a.jpg

文献检索

告别复杂PubMed语法,用中文像聊天一样搜索,搜遍4000万医学文献。AI智能推荐,让科研检索更轻松。

立即免费搜索

文件翻译

保留排版,准确专业,支持PDF/Word/PPT等文件格式,支持 12+语言互译。

免费翻译文档

深度研究

AI帮你快速写综述,25分钟生成高质量综述,智能提取关键信息,辅助科研写作。

立即免费体验