Suppr超能文献

哺乳动物肺的1型肺泡衬里细胞。II. 通过成年兔肺分离细胞的细胞表面和超微结构进行体外鉴定。

The type 1 alveolar lining cells of the mammalian lung. II. In vitro identification via the cell surface and ultrastructure of isolated cells from adult rabbit lung.

作者信息

Rosenbaum R M, Picciano P

出版信息

Am J Pathol. 1978 Jan;90(1):123-44.

Abstract

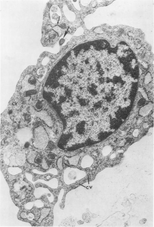
Using a newly described dissociation and isolation technique, Type 1 alveolar lining cells were obtained from adult rabbit lung within a heterogeneous population. Identification of many lung cell types in this mixed population was by a) comparison of isolated cells with in situ lung cells in lung sections using identical parallel staining, b) stepwise ultrastructural examination of cells during all stages of lung dissociation so that intercellular associations were monitored throughout, and c) Type 1 cell surface changes following collagenase treatment. This phenomenon was studied with both electron and light microscopy, the latter employing tetrachrome staining of basophilic blebs as well as characteristic staining of nucleus and cytoplasm. Following their isolation, most Type 1 cells lost their surface blebs and assumed a "relaxed" state. In this condition, Type 1 cells were exposed to cytochalasin D (CD) for various times and at several concentrations. Surface knobs, having all the characteristics of zeiotic knobs produced in a number of cultured cell lines by exposure to CD, were produced in isolated Type 1 epithelial cells within 45 minutes. The reaction to CD was temperature-dependent, proceeding maximally at 37 C with inhibition at lower temperatures and was inhibited by antimetabolites such as dinitrophenol and 2-deoxyglucose in the presence of CD. As with established cell lines, formation of zeiotic knobs at the isolated Type 1 cell surface appeared closely related to microfilamentous nets located beneath the plasmalemma. The density of this net appeared to vary as isolated Type 1 cells underwent expansion and contraction in response to CD. Zeiotic knobs were formed as the result of herniation of endoplasm through the cell cortex. The significance of such a labile cortical zone is considered in relation to the deformation changes Type 1 cells undergo during inflation-deflation of alveoli and the folding-unfolding of alveolar lining cells as a result of lung volume changes.

摘要

采用一种新描述的解离和分离技术,从成年兔肺的异质细胞群体中获得了I型肺泡衬里细胞。在这个混合细胞群体中鉴定多种肺细胞类型的方法包括:a)使用相同的平行染色,将分离的细胞与肺切片中的原位肺细胞进行比较;b)在肺解离的所有阶段对细胞进行逐步超微结构检查,以便全程监测细胞间的联系;c)观察胶原酶处理后I型细胞的表面变化。使用电子显微镜和光学显微镜对这一现象进行了研究,光学显微镜采用嗜碱性泡的四色染色以及细胞核和细胞质的特征性染色。分离后,大多数I型细胞失去了其表面泡,呈现出一种“松弛”状态。在这种状态下,将I型细胞暴露于不同时间和几种浓度的细胞松弛素D(CD)中。在分离的I型上皮细胞中,45分钟内就产生了具有在许多培养细胞系中通过暴露于CD而产生的zeiotic小体所有特征的表面小体。对CD的反应是温度依赖性的,在37℃时反应最大,在较低温度下受到抑制,并且在存在CD的情况下被抗代谢物如二硝基苯酚和2-脱氧葡萄糖抑制。与已建立的细胞系一样,分离的I型细胞表面zeiotic小体的形成似乎与位于质膜下方的微丝网络密切相关。随着分离的I型细胞响应CD进行扩张和收缩,这个网络的密度似乎会发生变化。Zeiotic小体是内质通过细胞皮质突出形成的。考虑到I型细胞在肺泡充气-放气过程中经历的变形变化以及由于肺容积变化导致的肺泡衬里细胞的折叠-展开,探讨了这种不稳定皮质区的意义。

https://cdn.ncbi.nlm.nih.gov/pmc/blobs/96dd/2018230/b4a3b7cd025e/amjpathol00741-0151-a.jpg

文献AI研究员

20分钟写一篇综述,助力文献阅读效率提升50倍。

立即体验

用中文搜PubMed

大模型驱动的PubMed中文搜索引擎

马上搜索

文档翻译

学术文献翻译模型,支持多种主流文档格式。

立即体验