Nitsch L, Wollman S H
Proc Natl Acad Sci U S A. 1980 Jan;77(1):472-6. doi: 10.1073/pnas.77.1.472.
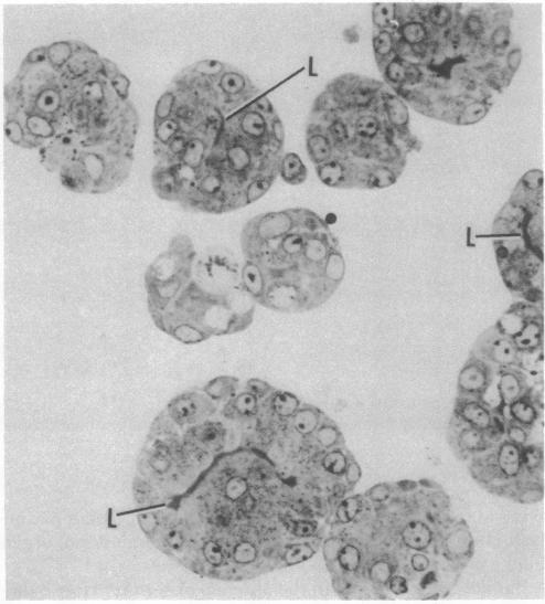
We have prepared thyroid follicles in suspension culture to use as a model system in vitro for investigation of some properties of the thyroid gland. The follicles were free of endothelial cells, fibroblasts, and other nonepithelial cells. They were prepared by collagenase treatment of minced rat thyroid glands followed by differential filtration of the suspension through nylon meshes. Small clusters of principal thyroid epithelial cells were separated from large fragments and single cells. They were cultured in dilute suspension in Coon's modified F-12 medium in dishes coated with agarose to avoid having the cells attach to the dishes. By culture day 3, most of the clusters formed closed follicles containing a periodic acid-Schiff-positive colloid but without a basal lamina. Follicle walls contained an occasional C cell. The epithelium resembled that in the thyroid of a recently hypophysectomized rat, with normal polarity and organelle complement normal with respect to position and abundance, with basally located lysosomes, no pseudopods, and no colloid droplets. The cells were responsive to thyroid-stimulating hormone (thyrotropin) and to dibutyryl cyclic AMP. Thyroid-stimulating hormone at 10 munits/ml resulted in apical migration of lysosomes and formation of pseudopods and colloid droplets within 30 min; longer exposure resulted in depletion of luminal colloid. The results indicate that the suspended follicles resemble follicles in vivo with respect to morphology and responsiveness to thyroid-stimulating hormone in the absence of other cell types.
我们制备了悬浮培养的甲状腺滤泡,将其作为体外模型系统来研究甲状腺的某些特性。这些滤泡不含内皮细胞、成纤维细胞和其他非上皮细胞。它们是通过用胶原酶处理切碎的大鼠甲状腺,然后将悬浮液通过尼龙网进行差速过滤制备而成的。主要甲状腺上皮细胞的小簇从大碎片和单个细胞中分离出来。它们在涂有琼脂糖的培养皿中,于Coon改良的F-12培养基中进行稀释悬浮培养,以避免细胞附着在培养皿上。到培养第3天,大多数细胞簇形成了封闭的滤泡,其中含有过碘酸希夫阳性胶体,但没有基膜。滤泡壁偶尔含有一个C细胞。上皮细胞类似于最近切除垂体的大鼠甲状腺中的上皮细胞,具有正常的极性,细胞器的位置和数量正常,溶酶体位于基部,没有伪足,也没有胶体小滴。这些细胞对促甲状腺激素(促甲状腺素)和二丁酰环磷酸腺苷有反应。10单位/毫升的促甲状腺激素在30分钟内导致溶酶体顶端迁移,并形成伪足和胶体小滴;更长时间的暴露导致腔内胶体耗尽。结果表明,在没有其他细胞类型的情况下,悬浮滤泡在形态和对促甲状腺激素的反应性方面类似于体内的滤泡。