Suppr超能文献

促甲状腺素制剂对悬浮培养的卵泡中的甲状腺上皮细胞具有促有丝分裂作用。

Thyrotropin preparations are mitogenic for thyroid epithelial cells in follicles in suspension culture.

作者信息

Nitsch L, Wollman S H

出版信息

Proc Natl Acad Sci U S A. 1980 May;77(5):2743-7. doi: 10.1073/pnas.77.5.2743.

Abstract

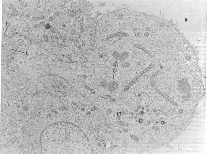
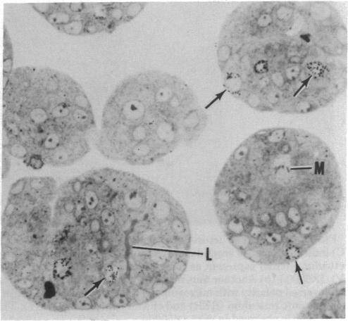
We have been investigating the extent to which separated thyroid follicles in suspension culture, free of endothelium and fibroblasts, have the properties of follicles in vivo. To test whether thyrotropin (TSH) can cause thyroid epithelial cells to undergo mitosis, preparations of follicles suspended in Coon's modified F-12 medium with 0.5% calf serum were incubated with 10 milliunits of impure or pure TSH per ml. Three results were obtained: (i) TSH preparations stimulated the incorporation of [3H]thymidine into cell nuclei; (ii) mitotic figures were induced and they had the same characteristic ultrastructural features as those observed in vivo; and (iii) the cell number doubled in the course of 3 days of exposure to TSH. The results suggest that TSH is a mitogen for the principal thyroid epithelial celland that other substances found in the usual impure TSH preparations are not necessary for the mitogenic activity. It can act in the absence of nonfollicular cells. The initial multiplication rates are similar to those in vivo. The cells do not have to spread to divide in contrast to the requirement for spreading in the case of fibroblasts.

摘要

我们一直在研究悬浮培养中分离出的、无内皮细胞和成纤维细胞的甲状腺滤泡在多大程度上具有体内滤泡的特性。为了测试促甲状腺激素(TSH)是否能使甲状腺上皮细胞进行有丝分裂,将悬浮于含0.5%小牛血清的库恩改良F-12培养基中的滤泡制剂与每毫升10毫单位的不纯或纯TSH一起孵育。得到了三个结果:(i)TSH制剂刺激[3H]胸腺嘧啶核苷掺入细胞核;(ii)诱导出有丝分裂图像,且它们具有与体内观察到的相同的特征性超微结构特征;(iii)在暴露于TSH的3天过程中细胞数量翻倍。结果表明,TSH是主要甲状腺上皮细胞的有丝分裂原,并且通常不纯的TSH制剂中发现的其他物质对于有丝分裂活性不是必需的。它可以在无非滤泡细胞的情况下发挥作用。最初的增殖率与体内相似。与成纤维细胞分裂需要铺展不同,这些细胞不需要铺展就能分裂。

https://cdn.ncbi.nlm.nih.gov/pmc/blobs/6d36/349480/4b664c5c88ac/pnas00492-0398-a.jpg

文献检索

告别复杂PubMed语法,用中文像聊天一样搜索,搜遍4000万医学文献。AI智能推荐,让科研检索更轻松。

立即免费搜索

文件翻译

保留排版,准确专业,支持PDF/Word/PPT等文件格式,支持 12+语言互译。

免费翻译文档

深度研究

AI帮你快速写综述,25分钟生成高质量综述,智能提取关键信息,辅助科研写作。

立即免费体验