• 文献检索
  • 文档翻译
  • 深度研究
  • 学术资讯
  • Suppr Zotero 插件Zotero 插件
  • 邀请有礼
  • 套餐&价格
  • 历史记录
应用&插件
Suppr Zotero 插件Zotero 插件浏览器插件Mac 客户端Windows 客户端微信小程序
定价
高级版会员购买积分包购买API积分包
服务
文献检索文档翻译深度研究API 文档MCP 服务
关于我们
关于 Suppr公司介绍联系我们用户协议隐私条款
关注我们

Suppr 超能文献

核心技术专利:CN118964589B侵权必究
粤ICP备2023148730 号-1Suppr @ 2026

文献检索

告别复杂PubMed语法,用中文像聊天一样搜索,搜遍4000万医学文献。AI智能推荐,让科研检索更轻松。

立即免费搜索

文件翻译

保留排版,准确专业,支持PDF/Word/PPT等文件格式,支持 12+语言互译。

免费翻译文档

深度研究

AI帮你快速写综述,25分钟生成高质量综述,智能提取关键信息,辅助科研写作。

立即免费体验

绿蜥蜴(绿蜥)肺部的功能解剖学

Functional anatomy of the lungs of the green lizard, Lacerta viridis.

作者信息

Meban C

出版信息

J Anat. 1978 Feb;125(Pt 2):421-31.

PMID:624686
原文链接:https://pmc.ncbi.nlm.nih.gov/articles/PMC1235609/
Abstract

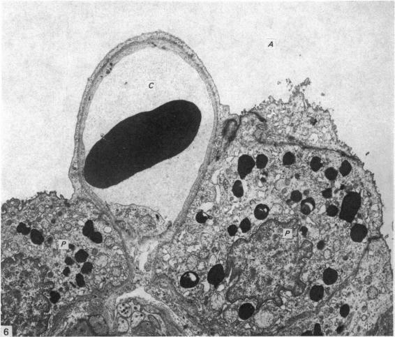
The gas-exchange area in the lung of Lacerta viridis has been studied by light microscopy and electron microscopy. The interior of the lung in this species is partitioned into air sacs by radially disposed septa. The surfaces of each septum are covered by a continuous epithelium, the cells of which are termed 'pneumonocytes'. Deep to the epithelium there is a close-meshed plexus of capillaries. The middle layer of the septum contains smooth muscle and fibrous tissue. Two varieties of pneumonocytes can be identified. The type I cells are squamous and give off attenuated sheets of cytoplasm which spread widely over the septal surface; these sheets contain few organelles. The type II cells are more compact and possess many organelles; their osmiophilic inclusion bodies are especially conspicuous. The pulmonary capillaries of Lacerta are evaginated into the air sacs and often display marked attenuation of their endothelium. The possible functional significance of these features is discussed.

摘要

已通过光学显微镜和电子显微镜对绿蜥蜴肺部的气体交换区域进行了研究。该物种肺部内部被呈放射状排列的隔膜分隔成气囊。每个隔膜表面覆盖着一层连续的上皮,其细胞被称为“肺细胞”。上皮下方是紧密交织的毛细血管丛。隔膜的中间层包含平滑肌和纤维组织。可识别出两种类型的肺细胞。I型细胞呈鳞状,发出薄片状的细胞质,广泛分布在隔膜表面;这些薄片含有很少的细胞器。II型细胞更紧凑,拥有许多细胞器;它们的嗜锇性包涵体特别明显。绿蜥蜴的肺毛细血管向气囊内突出,其内皮常表现出明显的变薄。讨论了这些特征可能的功能意义。

https://cdn.ncbi.nlm.nih.gov/pmc/blobs/33bd/1235609/ab8e1d12aea9/janat00360-0212-b.jpg
https://cdn.ncbi.nlm.nih.gov/pmc/blobs/33bd/1235609/769b7b2e0fbc/janat00360-0206-a.jpg
https://cdn.ncbi.nlm.nih.gov/pmc/blobs/33bd/1235609/72b5eb04ca48/janat00360-0206-b.jpg
https://cdn.ncbi.nlm.nih.gov/pmc/blobs/33bd/1235609/e1af60668b0a/janat00360-0208-a.jpg
https://cdn.ncbi.nlm.nih.gov/pmc/blobs/33bd/1235609/362882f2a546/janat00360-0209-a.jpg
https://cdn.ncbi.nlm.nih.gov/pmc/blobs/33bd/1235609/da1abc14ebd4/janat00360-0210-a.jpg
https://cdn.ncbi.nlm.nih.gov/pmc/blobs/33bd/1235609/c2487d676769/janat00360-0210-b.jpg
https://cdn.ncbi.nlm.nih.gov/pmc/blobs/33bd/1235609/5d993b09db9e/janat00360-0211-a.jpg
https://cdn.ncbi.nlm.nih.gov/pmc/blobs/33bd/1235609/6fe44fad273f/janat00360-0212-a.jpg
https://cdn.ncbi.nlm.nih.gov/pmc/blobs/33bd/1235609/ab8e1d12aea9/janat00360-0212-b.jpg
https://cdn.ncbi.nlm.nih.gov/pmc/blobs/33bd/1235609/769b7b2e0fbc/janat00360-0206-a.jpg
https://cdn.ncbi.nlm.nih.gov/pmc/blobs/33bd/1235609/72b5eb04ca48/janat00360-0206-b.jpg
https://cdn.ncbi.nlm.nih.gov/pmc/blobs/33bd/1235609/e1af60668b0a/janat00360-0208-a.jpg
https://cdn.ncbi.nlm.nih.gov/pmc/blobs/33bd/1235609/362882f2a546/janat00360-0209-a.jpg
https://cdn.ncbi.nlm.nih.gov/pmc/blobs/33bd/1235609/da1abc14ebd4/janat00360-0210-a.jpg
https://cdn.ncbi.nlm.nih.gov/pmc/blobs/33bd/1235609/c2487d676769/janat00360-0210-b.jpg
https://cdn.ncbi.nlm.nih.gov/pmc/blobs/33bd/1235609/5d993b09db9e/janat00360-0211-a.jpg
https://cdn.ncbi.nlm.nih.gov/pmc/blobs/33bd/1235609/6fe44fad273f/janat00360-0212-a.jpg
https://cdn.ncbi.nlm.nih.gov/pmc/blobs/33bd/1235609/ab8e1d12aea9/janat00360-0212-b.jpg

相似文献

1
Functional anatomy of the lungs of the green lizard, Lacerta viridis.绿蜥蜴(绿蜥)肺部的功能解剖学
J Anat. 1978 Feb;125(Pt 2):421-31.
2
An electron microscope study of the respiratory epithelium in the lungs of the fire salamander (Salamandra salamandra).火蝾螈(Salamandra salamandra)肺部呼吸上皮的电子显微镜研究。
J Anat. 1979 Jan;128(Pt 1):215-24.
3
The respiratory epithelium in the lungs of the slow-worm, Anguis fragilis.草蜥(Anguis fragilis)肺部的呼吸上皮。
Cell Tissue Res. 1978 Jul 5;190(2):337-47. doi: 10.1007/BF00218179.
4
Morphology of the air-breathing stomach of the catfish Hypostomus plecostomus.豹纹脂身鲇气呼吸胃的形态学
J Morphol. 2003 Aug;257(2):147-63. doi: 10.1002/jmor.10102.
5
Lungs of the gecko Rhacodactylus leachianus (Reptilia: Gekkonidae): a correlative gross anatomical and light and electron microscopic study.丽纹睫角守宫(爬行纲:壁虎科)的肺:大体解剖与光镜及电镜的相关研究
J Morphol. 1989 Jan;199(1):23-40. doi: 10.1002/jmor.1051990104.
6
Ultrastructural characteristics of the lung of Melanophryniscus stelzneri stelzneri (Weyenberg, 1875) (Anura, Bufonidae).斯特氏黑蟾(Weyenberg,1875年)(无尾目,蟾蜍科)肺的超微结构特征
Biocell. 2002 Dec;26(3):347-55.
7
Ultrastructure of the respiratory epithelium in the lungs of the tortoise, Testudo graeca.希腊陆龟(Testudo graeca)肺部呼吸上皮的超微结构
Cell Tissue Res. 1977 Jul 11;181(2):267-75. doi: 10.1007/BF00219986.
8
Scanning electron microscope study of the morphology of the reptilian lung: the Savanna monitor lizard Varanus exanthematicus and the pancake tortoise Malacochersus tornieri.爬行动物肺部形态的扫描电子显微镜研究:草原巨蜥Varanus exanthematicus和煎饼龟Malacochersus tornieri
Anat Rec. 1989 Aug;224(4):514-22. doi: 10.1002/ar.1092240409.
9
The fine structure of the parabronchi and the gas exchange area of the Adelie penguin lung.阿德利企鹅肺部平行支气管的精细结构及气体交换区域
Z Mikrosk Anat Forsch. 1983;97(5):863-72.
10
Stages in the development of the rat lung: morphometric, light and electron microscopic studies.大鼠肺发育的阶段:形态计量学、光镜和电镜研究
Kaibogaku Zasshi. 1994 Aug;69(4):392-405.

引用本文的文献

1
Freeze-fracture study of the turtle lung. 1. Intercellular junctions in the air-blood barrier of Pseudemys scripta.龟肺的冷冻断裂研究。1. 伪彩龟气血屏障中的细胞间连接。
Cell Tissue Res. 1983;231(1):157-72. doi: 10.1007/BF00215783.
2
The respiratory epithelium of the lung in the green turtle (Chelonia mydas L.).绿海龟(蠵龟)肺部的呼吸上皮。
J Anat. 1984 Sep;139 ( Pt 2)(Pt 2):353-70.
3
The morphology of the lung of the black mamba Dendroaspis polylepis (Reptilia: Ophidia: Elapidae). A scanning and transmission electron microscopic study.

本文引用的文献

1
THE INNERVATION OF THE HUMAN LUNG.人类肺部的神经支配
J Anat. 1964 Oct;98(Pt 4):599-609.
2
ELECTRON MICROSCOPIC OBSERVATIONS OF THE PULMONARY ALVEOLI.肺泡的电子显微镜观察
Exp Med Surg. 1964;22:81-117.
3
Comparative morphology of the lung with special reference to the alveolar lining cells. II. Lung of the Reptilia.肺的比较形态学,特别涉及肺泡衬里细胞。II. 爬行动物的肺。
黑曼巴蛇(Dendroaspis polylepis)(爬行纲:有鳞目:眼镜蛇科)肺部的形态学。扫描电镜与透射电镜研究
J Anat. 1989 Dec;167:31-46.
4
A microscopic study of the lung of Testudo graeca (Chelonia).希腊陆龟(龟鳖目)肺部的微观研究。
J Anat. 1989 Jun;164:19-39.
Acta Tuberc Jpn. 1962 Sep 28;12:1-10.
4
An embedding resin miscible with water for electron microscopy.一种用于电子显微镜的可与水混溶的包埋树脂。
Nature. 1959 Aug 1;184(Suppl 6):375-6. doi: 10.1038/184375b0.
5
On the nerve supply of the lung of the mouse, with special reference to the structure of the peripheral vegetative nervous system.关于小鼠肺的神经供应,特别提及外周自主神经系统的结构。
J Comp Neurol. 1956 Oct;105(3):587-625. doi: 10.1002/cne.901050308.
6
Osmiophilic lamellated bodies and associated material in lung alveolar spaces.肺肺泡腔内的嗜锇性板层小体及相关物质。
J Cell Biol. 1966 Mar;28(3):577-81. doi: 10.1083/jcb.28.3.577.
7
An osmiophilic bilaminar lining film at the respiratory surfaces of avian lungs.鸟类肺部呼吸表面的嗜锇双分子层衬膜。
Z Zellforsch Mikrosk Anat. 1968;88(2):204-19. doi: 10.1007/BF00703908.
8
The alveolar brush cell in rat lung--a third pneumonocyte.大鼠肺中的肺泡刷细胞——第三种肺细胞
J Ultrastruct Res. 1968 Apr;23(1):71-80. doi: 10.1016/s0022-5320(68)80032-2.
9
A continuous osmiophilic noncellular membrane at the respiratory surface of the lungs of fetal chickens and of young chicks.在雏鸡和幼鸡肺部呼吸表面存在的一层连续的嗜锇性非细胞膜。
Lab Invest. 1968 Jan;18(1):54-62.
10
Nerves in rat intra-acinar alveoli: an electron microscopic study.大鼠腺泡内肺泡中的神经:一项电子显微镜研究。
Respir Physiol. 1971 Mar;11(3):367-77. doi: 10.1016/0034-5687(71)90010-7.