Suppr超能文献

阿贝尔逊鼠白血病病毒转化蛋白的磷酸化作用

Phosphorylation of the Abelson murine leukemia virus transforming protein.

作者信息

Witte O N, Ponticelli A, Gifford A, Baltimore D, Rosenberg N, Elder J

出版信息

J Virol. 1981 Sep;39(3):870-8. doi: 10.1128/JVI.39.3.870-878.1981.

Abstract

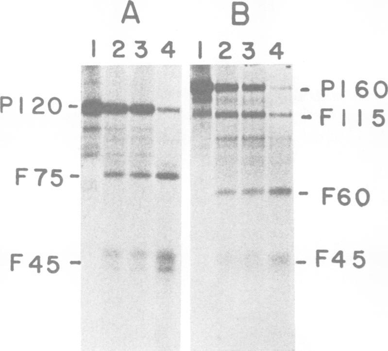
The Abelson murine leukemia virus transforming gene product is a phosphorylated protein encoded by both viral and cellular sequences. This gene product has an amino-terminal region derived from the gag gene of its parent virus and a carboxyl-terminal region of (abl) derived from a normal murine cellular gene. Using a combination of partial proteolytic cleavage techniques and antisera specific for gag and abl sequences, we mapped in vivo phosphorylation sites to different regions of the protein. Phosphoproteins encoded by strain variants and transformation-defective mutants of Abelson murine leukemia virus with defined deletions in the primary sequence of the abl region were compared by two dimensional limit digest peptide mapping. Specific phosphorylation pattern differences for wild-type and mutant proteins probably represented deletions of specific phosphate acceptor sites in the abl region. An in vitro autophosphorylation activity copurified with the Abelson murine leukemia virus protein from transformation-competent strains. A peptide analysis of such in vitro reactions demonstrated that these phosphorylation sites were restricted to the amino-terminal region, and the specific sites appeared to be unrelated to the sites found on proteins phosphorylated in vivo. Thus, the autophosphorylation reaction probably correlates with an activity important in transformation, but the specific end product in vitro bears little resemblance to its function in vivo.

摘要

阿贝尔逊鼠白血病病毒转化基因产物是一种由病毒和细胞序列编码的磷酸化蛋白。该基因产物具有一个源自其亲本病毒gag基因的氨基末端区域和一个源自正常鼠细胞基因的(abl)羧基末端区域。我们使用部分蛋白水解切割技术和针对gag和abl序列的特异性抗血清相结合的方法,在体内将磷酸化位点定位到该蛋白的不同区域。通过二维极限消化肽图谱比较了阿贝尔逊鼠白血病病毒的菌株变体和转化缺陷型突变体所编码的磷蛋白,这些突变体在abl区域的一级序列中具有明确的缺失。野生型和突变型蛋白的特异性磷酸化模式差异可能代表abl区域中特定磷酸受体位点的缺失。一种体外自磷酸化活性与来自具有转化能力菌株的阿贝尔逊鼠白血病病毒蛋白共纯化。对这种体外反应的肽分析表明,这些磷酸化位点仅限于氨基末端区域,并且特定位点似乎与体内磷酸化蛋白上发现的位点无关。因此,自磷酸化反应可能与转化中重要的活性相关,但体外的特定终产物与其在体内的功能几乎没有相似之处。

https://cdn.ncbi.nlm.nih.gov/pmc/blobs/dc93/171320/8aeac7970661/jvirol00009-0218-a.jpg

文献检索

告别复杂PubMed语法,用中文像聊天一样搜索,搜遍4000万医学文献。AI智能推荐,让科研检索更轻松。

立即免费搜索

文件翻译

保留排版,准确专业,支持PDF/Word/PPT等文件格式,支持 12+语言互译。

免费翻译文档

深度研究

AI帮你快速写综述,25分钟生成高质量综述,智能提取关键信息,辅助科研写作。

立即免费体验