Suppr超能文献

纵隔特发性纤维化:三例病例讨论及文献综述

Idiopathic fibrosis of mediastinum: a discussion of three cases and review of the literature.

作者信息

Light A M

出版信息

J Clin Pathol. 1978 Jan;31(1):78-88. doi: 10.1136/jcp.31.1.78.

Abstract

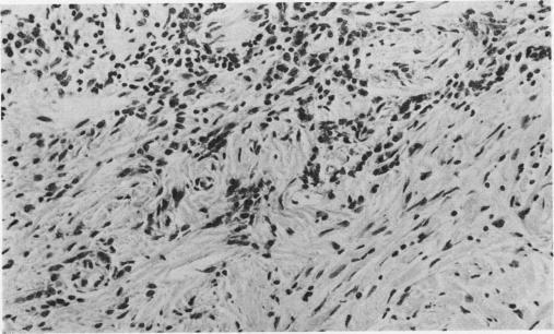
In two out of three cases of idiopathic fibrosis of the mediastinum there was also retroperitoneal fibrosis, and in one of them extensive fibrosis of the lungs. One of these, a fit middle-aged man, died suddenly with severe coronary artery stenosis due to fibrosis. The third case was that of a young man with a solitary fibrous mass around the right lower lobe bronchus mimicking a malignant tumour and producing bronchial stenosis. Of the various hypotheses about the aetiology and pathogenesis of the fibrous proliferation, that of an autoimmune process seemed the most likely in these cases.

摘要

在三分之二的特发性纵隔纤维化病例中,同时存在腹膜后纤维化,其中一例还伴有广泛的肺纤维化。其中一名身体健康的中年男子因纤维化导致严重冠状动脉狭窄而突然死亡。第三例是一名年轻男子,其右下叶支气管周围有一个孤立的纤维性肿块,酷似恶性肿瘤并导致支气管狭窄。关于纤维增生的病因和发病机制有多种假说,在这些病例中,自身免疫过程的假说似乎最有可能。

https://cdn.ncbi.nlm.nih.gov/pmc/blobs/8f7d/476724/5c9ab9571bf2/jclinpath00171-0087-a.jpg

文献检索

告别复杂PubMed语法,用中文像聊天一样搜索,搜遍4000万医学文献。AI智能推荐,让科研检索更轻松。

立即免费搜索

文件翻译

保留排版,准确专业,支持PDF/Word/PPT等文件格式,支持 12+语言互译。

免费翻译文档

深度研究

AI帮你快速写综述,25分钟生成高质量综述,智能提取关键信息,辅助科研写作。

立即免费体验