• 文献检索
  • 文档翻译
  • 深度研究
  • 学术资讯
  • Suppr Zotero 插件Zotero 插件
  • 邀请有礼
  • 套餐&价格
  • 历史记录
应用&插件
Suppr Zotero 插件Zotero 插件浏览器插件Mac 客户端Windows 客户端微信小程序
定价
高级版会员购买积分包购买API积分包
服务
文献检索文档翻译深度研究API 文档MCP 服务
关于我们
关于 Suppr公司介绍联系我们用户协议隐私条款
关注我们

Suppr 超能文献

核心技术专利:CN118964589B侵权必究
粤ICP备2023148730 号-1Suppr @ 2026

文献检索

告别复杂PubMed语法,用中文像聊天一样搜索,搜遍4000万医学文献。AI智能推荐,让科研检索更轻松。

立即免费搜索

文件翻译

保留排版,准确专业,支持PDF/Word/PPT等文件格式,支持 12+语言互译。

免费翻译文档

深度研究

AI帮你快速写综述,25分钟生成高质量综述,智能提取关键信息,辅助科研写作。

立即免费体验

猿猴病毒40 a蛋白与复制起点处有缺失的DNA的结合。

Binding of simian virus 40 a protein to DNA with deletions at the origin of replication.

作者信息

Lewton B A, DeLucia A L, Tegtmeyer P

出版信息

J Virol. 1984 Jan;49(1):9-13. doi: 10.1128/JVI.49.1.9-13.1984.

DOI:10.1128/JVI.49.1.9-13.1984
PMID:6317897
原文链接:https://pmc.ncbi.nlm.nih.gov/articles/PMC255418/
Abstract

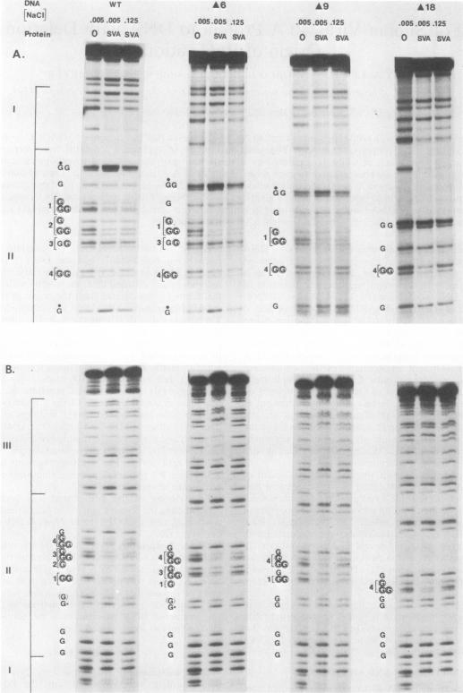
Previous studies with wild-type simian virus 40 DNA have shown that the sequence 5'-GAGGC-3' directs the binding of A protein (T antigen). The functional origin of replication contains four recognition pentanucleotides each of which is separated by a single base pair and arranged a two pairs of direct repetitions that are inverted relative to each other. Analysis of A protein binding to a series of nonviable mutants progressively deleting these contact sites leads to the following conclusions: (i) stable binding of subunits of A protein to three origin pentanucleotides is not sufficient for the initiation of DNA replication, (ii) the stability of DNA binding depends on interactions between bound protein subunits, and (iii) a single pentanucleotide is sufficient to bind and orient a subunit of A protein.

摘要

先前对野生型猿猴病毒40 DNA的研究表明,序列5'-GAGGC-3'指导A蛋白(T抗原)的结合。功能性复制起点包含四个识别五核苷酸,每个五核苷酸由单个碱基对隔开,并排列成两对彼此反向的直接重复序列。对与一系列逐步删除这些接触位点的无活力突变体的A蛋白结合进行分析,得出以下结论:(i)A蛋白亚基与三个起点五核苷酸的稳定结合不足以启动DNA复制;(ii)DNA结合的稳定性取决于结合的蛋白质亚基之间的相互作用;(iii)单个五核苷酸足以结合并定向A蛋白的一个亚基。

https://cdn.ncbi.nlm.nih.gov/pmc/blobs/b8b9/255418/92e703f815d8/jvirol00136-0027-a.jpg
https://cdn.ncbi.nlm.nih.gov/pmc/blobs/b8b9/255418/46fb8800208d/jvirol00136-0026-a.jpg
https://cdn.ncbi.nlm.nih.gov/pmc/blobs/b8b9/255418/92e703f815d8/jvirol00136-0027-a.jpg
https://cdn.ncbi.nlm.nih.gov/pmc/blobs/b8b9/255418/46fb8800208d/jvirol00136-0026-a.jpg
https://cdn.ncbi.nlm.nih.gov/pmc/blobs/b8b9/255418/92e703f815d8/jvirol00136-0027-a.jpg

相似文献

1
Binding of simian virus 40 a protein to DNA with deletions at the origin of replication.猿猴病毒40 a蛋白与复制起点处有缺失的DNA的结合。
J Virol. 1984 Jan;49(1):9-13. doi: 10.1128/JVI.49.1.9-13.1984.
2
The T-antigen-binding domain of the simian virus 40 core origin of replication.猴病毒40复制核心起始点的T抗原结合结构域。
J Virol. 1987 Jul;61(7):2143-9. doi: 10.1128/JVI.61.7.2143-2149.1987.
3
Topography of simian virus 40 A protein-DNA complexes: arrangement of pentanucleotide interaction sites at the origin of replication.猴病毒40 A蛋白-DNA复合物的拓扑结构:复制起点处五核苷酸相互作用位点的排列
J Virol. 1983 Apr;46(1):143-50. doi: 10.1128/JVI.46.1.143-150.1983.
4
Critical spatial requirement within the origin of simian virus 40 DNA replication.猿猴病毒40 DNA复制起始位点内的关键空间需求。
J Virol. 1984 Jul;51(1):91-6. doi: 10.1128/JVI.51.1.91-96.1984.
5
Topography of simian virus 40 A protein-DNA complexes: arrangement of protein bound to the origin of replication.猴病毒40 A蛋白-DNA复合物的拓扑结构:与复制起点结合的蛋白排列
J Virol. 1983 Apr;46(1):151-61. doi: 10.1128/JVI.46.1.151-161.1983.
6
Analysis of the costructure of the simian virus 40 T-antigen origin binding domain with site I reveals a correlation between GAGGC spacing and spiral assembly.分析猴病毒 40 T 抗原起始结合域结构域 I 发现 GAGGC 间隔与螺旋组装之间存在相关性。
J Virol. 2013 Mar;87(5):2923-34. doi: 10.1128/JVI.02549-12. Epub 2012 Dec 26.
7
Seventeen base pairs of region I encode a novel tripartite binding signal for SV40 T antigen.区域I的17个碱基对编码一种针对SV40 T抗原的新型三联体结合信号。
Cell. 1985 Sep;42(2):539-48. doi: 10.1016/0092-8674(85)90111-4.
8
Binding of SV40 a protein to the BK virus origin of DNA replication.SV40 a蛋白与BK病毒DNA复制起点的结合。
Virology. 1983 Aug;129(1):239-45. doi: 10.1016/0042-6822(83)90412-9.
9
Protein-DNA interactions at the simian virus 40 origin of replication.猴病毒40复制起点处的蛋白质与DNA相互作用
Biochim Biophys Acta. 1988 Dec 20;951(2-3):388-95. doi: 10.1016/0167-4781(88)90111-x.
10
DNA binding properties of simian virus 40 temperature-sensitive A proteins.猿猴病毒40温度敏感A蛋白的DNA结合特性
J Virol. 1982 Nov;44(2):458-66. doi: 10.1128/JVI.44.2.458-466.1982.

引用本文的文献

1
Transcription of click-linked DNA in human cells.人类细胞中点击连接 DNA 的转录。
Angew Chem Int Ed Engl. 2014 Feb 24;53(9):2362-5. doi: 10.1002/anie.201308691. Epub 2014 Jan 22.
2
Phosphorylation of simian virus 40 T antigen on Thr 124 selectively promotes double-hexamer formation on subfragments of the viral core origin.猿猴病毒40 T抗原在苏氨酸124位点的磷酸化选择性地促进病毒核心起始子亚片段上双六聚体的形成。
J Virol. 2000 Sep;74(18):8601-13. doi: 10.1128/jvi.74.18.8601-8613.2000.
3
The simian virus 40 core origin contains two separate sequence modules that support T-antigen double-hexamer assembly.

本文引用的文献

1
Topography of simian virus 40 A protein-DNA complexes: arrangement of protein bound to the origin of replication.猴病毒40 A蛋白-DNA复合物的拓扑结构:与复制起点结合的蛋白排列
J Virol. 1983 Apr;46(1):151-61. doi: 10.1128/JVI.46.1.151-161.1983.
2
Topography of simian virus 40 A protein-DNA complexes: arrangement of pentanucleotide interaction sites at the origin of replication.猴病毒40 A蛋白-DNA复合物的拓扑结构:复制起点处五核苷酸相互作用位点的排列
J Virol. 1983 Apr;46(1):143-50. doi: 10.1128/JVI.46.1.143-150.1983.
3
DNA binding properties of simian virus 40 temperature-sensitive A proteins.
猿猴病毒40核心起源包含两个独立的序列模块,它们支持T抗原双六聚体组装。
J Virol. 2000 Sep;74(18):8589-600. doi: 10.1128/jvi.74.18.8589-8600.2000.
4
Sequence requirements for the assembly of simian virus 40 T antigen and the T-antigen origin binding domain on the viral core origin of replication.猿猴病毒40 T抗原及病毒核心复制起点上T抗原起点结合域组装的序列要求。
J Virol. 1999 Sep;73(9):7543-55. doi: 10.1128/JVI.73.9.7543-7555.1999.
5
Assembly of T-antigen double hexamers on the simian virus 40 core origin requires only a subset of the available binding sites.T抗原双六聚体在猴病毒40核心起始位点上的组装仅需要一部分可用的结合位点。
Mol Cell Biol. 1998 May;18(5):2677-87. doi: 10.1128/MCB.18.5.2677.
6
Purification of the simian virus 40 (SV40) T antigen DNA-binding domain and characterization of its interactions with the SV40 origin.猿猴病毒40(SV40)T抗原DNA结合结构域的纯化及其与SV40起源相互作用的表征。
J Virol. 1997 May;71(5):3972-85. doi: 10.1128/JVI.71.5.3972-3985.1997.
7
Sequence-specific binding of simian virus 40 A protein to nonorigin and cellular DNA.猿猴病毒40 A蛋白与非起始位点及细胞DNA的序列特异性结合。
Mol Cell Biol. 1984 Dec;4(12):2631-8. doi: 10.1128/mcb.4.12.2631-2638.1984.
8
Critical spatial requirement within the origin of simian virus 40 DNA replication.猿猴病毒40 DNA复制起始位点内的关键空间需求。
J Virol. 1984 Jul;51(1):91-6. doi: 10.1128/JVI.51.1.91-96.1984.
9
Mutational analysis of simian virus 40 large T antigen DNA binding sites.猴病毒40大T抗原DNA结合位点的突变分析
EMBO J. 1984 Dec 20;3(13):3247-55. doi: 10.1002/j.1460-2075.1984.tb02286.x.
10
Multiple binding sites for polyomavirus large T antigen within regulatory sequences of polyomavirus DNA.多瘤病毒DNA调控序列内多瘤病毒大T抗原的多个结合位点。
J Virol. 1984 Dec;52(3):750-60. doi: 10.1128/JVI.52.3.750-760.1984.
猿猴病毒40温度敏感A蛋白的DNA结合特性
J Virol. 1982 Nov;44(2):458-66. doi: 10.1128/JVI.44.2.458-466.1982.
4
Binding of an analog of the simian virus 40 T antigen to wild-type and mutant viral replication origins.猿猴病毒40 T抗原类似物与野生型及突变型病毒复制起点的结合。
J Mol Biol. 1982 May 25;157(3):473-92. doi: 10.1016/0022-2836(82)90472-7.
5
Alternative interactions of the SV40 A protein with DNA.猴空泡病毒40 A蛋白与DNA的交替相互作用。
Virology. 1981 Nov;115(1):75-87. doi: 10.1016/0042-6822(81)90090-8.
6
Partial purification of SV40 A protein and a related cellular protein from permissive cells.从允许性细胞中对SV40 A蛋白及一种相关细胞蛋白进行部分纯化。
Virology. 1981 Nov;115(1):67-74. doi: 10.1016/0042-6822(81)90089-1.
7
Construction and analysis of simian virus 40 origins defective in tumor antigen binding and DNA replication.在肿瘤抗原结合和DNA复制方面存在缺陷的猿猴病毒40起源的构建与分析。
Proc Natl Acad Sci U S A. 1980 Nov;77(11):6491-5. doi: 10.1073/pnas.77.11.6491.
8
Expression of early genes of origin-defective mutants of simian virus 40.猴病毒40起源缺陷型突变体早期基因的表达
Proc Natl Acad Sci U S A. 1980 Jul;77(7):3898-902. doi: 10.1073/pnas.77.7.3898.
9
Origin-defective mutants of SV40.SV40的起源缺陷型突变体
Cold Spring Harb Symp Quant Biol. 1980;44 Pt 1,:293-300. doi: 10.1101/sqb.1980.044.01.033.
10
Cold-sensitive regulatory mutants of simian virus 40.猿猴病毒40的冷敏感调节突变体
J Mol Biol. 1980 Jun 15;140(1):129-42. doi: 10.1016/0022-2836(80)90359-9.