Suppr超能文献

伴有免疫沉积物和抗基底膜活性共存的肾小球肾炎。

Glomerulonephritis with coexistent immune deposits and antibasement membrane activity.

作者信息

Rajaraman S, Pinto J A, Cavallo T

出版信息

J Clin Pathol. 1984 Feb;37(2):176-81. doi: 10.1136/jcp.37.2.176.

Abstract

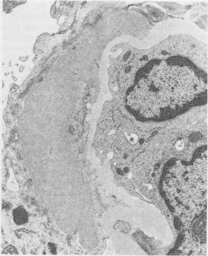
Six patients with coexistent antiglomerular basement membrane disease and granular immunoreactants in the glomerular basement membrane and mesangium are discussed. These six patients represent 35% of all patients with antiglomerular basement membrane nephritis examined over 10 years. All patients presented with acute, oliguric renal failure, and rapid deterioration in renal function. In all patients the pathogenetic role of the antiglomerular basement membrane antibody was confirmed by the demonstration of linear deposits of IgG along the glomerular basement membrane and antiglomerular basement membrane antibody activity in the serum or renal eluates, or both. Evidence for the existence of concurrent immune aggregates was obtained by immunofluorescence studies and electron microscopy. Radioimmunoassays, which were performed in two patients to detect circulating immune complexes, however, yielded negative results. The possible mechanisms concerned in the evolution of this condition and their potential implications are reviewed.

摘要

本文讨论了6例同时患有抗肾小球基底膜病且肾小球基底膜和系膜中有颗粒状免疫反应物的患者。这6例患者占10年来所有接受检查的抗肾小球基底膜肾炎患者的35%。所有患者均表现为急性少尿性肾衰竭,肾功能迅速恶化。在所有患者中,通过沿肾小球基底膜的IgG线性沉积以及血清或肾洗脱液中抗肾小球基底膜抗体活性(或两者兼有)的证实,确定了抗肾小球基底膜抗体的致病作用。通过免疫荧光研究和电子显微镜获得了同时存在免疫复合物的证据。然而,对两名患者进行的检测循环免疫复合物的放射免疫分析结果为阴性。本文回顾了该疾病演变过程中可能涉及的机制及其潜在影响。

https://cdn.ncbi.nlm.nih.gov/pmc/blobs/32c3/498674/cd4e6aabd8d5/jclinpath00173-0069-a.jpg

文献AI研究员

20分钟写一篇综述,助力文献阅读效率提升50倍。

立即体验

用中文搜PubMed

大模型驱动的PubMed中文搜索引擎

马上搜索

文档翻译

学术文献翻译模型,支持多种主流文档格式。

立即体验