Suppr超能文献

肺结节病中的慢性肺源性心脏病

Chronic cor pulmonale in pulmonary sarcoidosis.

作者信息

Battesti J P, Georges R, Basset F, Saumon G

出版信息

Thorax. 1978 Feb;33(1):76-84. doi: 10.1136/thx.33.1.76.

Abstract

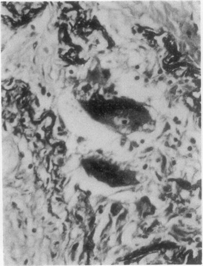
Right-heart overload happens relatively rarely in sarcoidosis, even with fibroemphysematous changes. Of 21 cases that we studied, six (28%) had clinical and/or electrocardiographic features of cor pulmonale. The cause of cor pulmonale often evoked is an invasion of the walls of pulmonary vessels by sarcoid granulomas or their compression by the fibrotic process. Pathological studies in one patient showed compression of large pulmonary arteries associated with specific sarcoid lesions in small small and medium-sized arteries.

摘要

即使存在纤维性肺气肿改变,结节病中右心负荷过重相对少见。在我们研究的21例病例中,6例(28%)有肺心病的临床和/或心电图特征。常被提及的肺心病病因是结节病肉芽肿侵犯肺血管壁或纤维化过程对其造成压迫。对1例患者的病理研究显示,大肺动脉受压,同时在中小动脉存在特异性结节病病变。

https://cdn.ncbi.nlm.nih.gov/pmc/blobs/ab00/470850/9bc79f3d38d8/thorax00157-0083-a.jpg

文献检索

告别复杂PubMed语法,用中文像聊天一样搜索,搜遍4000万医学文献。AI智能推荐,让科研检索更轻松。

立即免费搜索

文件翻译

保留排版,准确专业,支持PDF/Word/PPT等文件格式,支持 12+语言互译。

免费翻译文档

深度研究

AI帮你快速写综述,25分钟生成高质量综述,智能提取关键信息,辅助科研写作。

立即免费体验