Suppr超能文献

阿霉素心脏毒性中自由基效应和儿茶酚胺改变的评估。

Evaluation of free radical effects and catecholamine alterations in adriamycin cardiotoxicity.

作者信息

Jackson J A, Reeves J P, Muntz K H, Kruk D, Prough R A, Willerson J T, Buja L M

出版信息

Am J Pathol. 1984 Oct;117(1):140-53.

Abstract

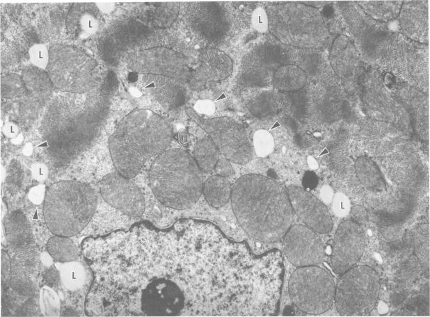
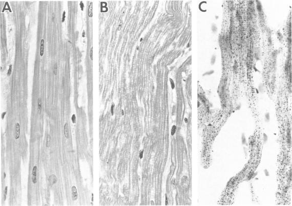
With the goal of evaluating the potential roles of free radicals and catecholamines in the pathogenesis of acute and chronic Adriamycin (ADR) cardiotoxicity, evidence was sought for myocardial free radical toxicity and alterations in myocardial catecholamine levels after acute and chronic administration of ADR to rabbits. In acute studies, male New Zealand white rabbits received intravenous ADR, 1.1 or 5 mg/kg per day for 1 or 3 days or 10 mg/kg for 1 day and were sacrificed 3-72 hours later. Because the glutathione-glutathione peroxidase system is a major pathway for free radical detoxification, glutathione levels and glutathione peroxidase activity were measured. In the acute studies, ADR-treated rabbits exhibited significantly increased levels (up to 50%) of total and reduced glutathione, unchanged levels of oxidized glutathione, and a slight decrease in the percentage of oxidized glutathione. Major effects of dose and sacrifice interval were not observed. However, in animals receiving three injections of 5 mg/kg or one injection of 10 mg/kg ADR, myocytes exhibited fine vacuolization, due to lipid accumulation and dilatation of the sarcoplasmic reticulum, without evidence of coagulation necrosis. In the chronic study, rabbits received 1.1 mg/kg ADR twice weekly for up to 10 weeks. Levels of total and reduced glutathione were increased significantly by 23-36% after 9-12 and 16-20 injections without change in the percentage of oxidized glutathione. The mean percentage of myocytes with vacuolar-myofibrillar degeneration, the characteristic lesion of chronic ADR cardiotoxicity, was 0 after 5-7 injections, 3.3 after 9-12 injection, and 17.2 after 16-20 injections. Glutathione peroxidase activity was not reduced significantly in any group of acute or chronic ADR-treated animals. Tests for lipid peroxidation (malondialdehyde and ethane production) were negative in acute studies. Myocardial catecholamine levels were unchanged in acute and chronic ADR animals. Thus, the cardiac glutathione-glutathione peroxidase system is activated with ADR treatment at the onset of cellular damage, and cellular damage progresses without further alteration of this system, loss of glutathione peroxidase activity, or reduction in myocardial catecholamines in rabbit models of ADR cardiotoxicity. These findings suggest that free radical generation in the heart may contribute to ADR cardiotoxicity, but that other factors probably play a more important role in the pathogenesis of the myocardial damage.

摘要

为了评估自由基和儿茶酚胺在急性和慢性阿霉素(ADR)心脏毒性发病机制中的潜在作用,研究人员在给家兔急性和慢性注射ADR后,寻找心肌自由基毒性以及心肌儿茶酚胺水平变化的证据。在急性研究中,雄性新西兰白兔静脉注射ADR,剂量为每天1.1或5mg/kg,持续1或3天,或10mg/kg注射1天,3至72小时后处死。由于谷胱甘肽-谷胱甘肽过氧化物酶系统是自由基解毒的主要途径,因此检测了谷胱甘肽水平和谷胱甘肽过氧化物酶活性。在急性研究中,接受ADR治疗的家兔总谷胱甘肽和还原型谷胱甘肽水平显著升高(高达50%),氧化型谷胱甘肽水平未变,氧化型谷胱甘肽百分比略有下降。未观察到剂量和处死间隔的主要影响。然而,在接受三次5mg/kg注射或一次10mg/kg ADR注射的动物中,心肌细胞出现细微空泡化,这是由于脂质蓄积和肌浆网扩张所致,未见凝固性坏死迹象。在慢性研究中,家兔每周两次接受1.1mg/kg ADR注射,持续10周。在第9至12次和第16至20次注射后总谷胱甘肽和还原型谷胱甘肽水平显著升高23%至36%,氧化型谷胱甘肽百分比无变化。出现空泡-肌原纤维变性(慢性ADR心脏毒性的特征性病变)的心肌细胞平均百分比在第5至7次注射后为0,第9至12次注射后为3.3%,第16至20次注射后为17.2%。在急性或慢性接受ADR治疗的任何动物组中,谷胱甘肽过氧化物酶活性均未显著降低。急性研究中脂质过氧化检测(丙二醛和乙烷生成)结果为阴性。急性和慢性ADR处理的动物心肌儿茶酚胺水平未变。因此,在ADR心脏毒性的家兔模型中,心脏谷胱甘肽-谷胱甘肽过氧化物酶系统在细胞损伤开始时随着ADR治疗而被激活,并且细胞损伤在该系统未进一步改变、谷胱甘肽过氧化物酶活性未丧失或心肌儿茶酚胺未减少的情况下继续发展。这些发现表明心脏中自由基的产生可能与ADR心脏毒性有关,但其他因素可能在心肌损伤的发病机制中起更重要的作用。

https://cdn.ncbi.nlm.nih.gov/pmc/blobs/e4c6/1900556/2f385cbb90e5/amjpathol00175-0156-a.jpg

文献检索

告别复杂PubMed语法,用中文像聊天一样搜索,搜遍4000万医学文献。AI智能推荐,让科研检索更轻松。

立即免费搜索

文件翻译

保留排版,准确专业,支持PDF/Word/PPT等文件格式,支持 12+语言互译。

免费翻译文档

深度研究

AI帮你快速写综述,25分钟生成高质量综述,智能提取关键信息,辅助科研写作。

立即免费体验