Suppr超能文献

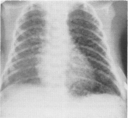
肺间质性肺气肿

Pulmonary interstitial emphysema.

作者信息

Greenough A, Dixon A K, Roberton N R

出版信息

Arch Dis Child. 1984 Nov;59(11):1046-51. doi: 10.1136/adc.59.11.1046.

Abstract

Forty one of 210 preterm infants ventilated for respiratory distress syndrome in a three year period had radiological evidence of pulmonary interstitial emphysema. The development of this condition was significantly associated with malpositioning of the endotracheal tube in a main bronchus and the use of high peak pressure ventilation. Pulmonary interstitial emphysema was associated with a significant increase in the number of pneumothoraces, intraventricular haemorrhages, and the need for prolonged respiratory support, but did not increase mortality. Although in 12 infants in whom fast rate ventilation was used there was a significant reduction in the number of pneumothoraces, outcome was not altered in any other way. Fast rate ventilation may be of greater benefit if initiated before the development of pulmonary interstitial emphysema.

摘要

在三年期间,210名因呼吸窘迫综合征接受通气治疗的早产儿中有41名有肺间质肺气肿的放射学证据。这种情况的发生与气管插管误置于主支气管以及使用高峰压通气显著相关。肺间质肺气肿与气胸、脑室内出血的数量显著增加以及需要延长呼吸支持有关,但并未增加死亡率。尽管在12名使用快速率通气的婴儿中气胸数量显著减少,但在其他方面结局并未改变。如果在肺间质肺气肿发生之前开始进行快速率通气,可能会有更大益处。

https://cdn.ncbi.nlm.nih.gov/pmc/blobs/7e64/1628820/f629c1dc251a/archdisch00728-0047-a.jpg

文献检索

告别复杂PubMed语法,用中文像聊天一样搜索,搜遍4000万医学文献。AI智能推荐,让科研检索更轻松。

立即免费搜索

文件翻译

保留排版,准确专业,支持PDF/Word/PPT等文件格式,支持 12+语言互译。

免费翻译文档

深度研究

AI帮你快速写综述,25分钟生成高质量综述,智能提取关键信息,辅助科研写作。

立即免费体验