Suppr超能文献

新生犊牛小肠死后人工产物的发育速率。

The rate of development of postmortem artefact in the small intestine of neonatal calves.

作者信息

Pearson G R, Logan E F

出版信息

Br J Exp Pathol. 1978 Apr;59(2):178-82.

Abstract

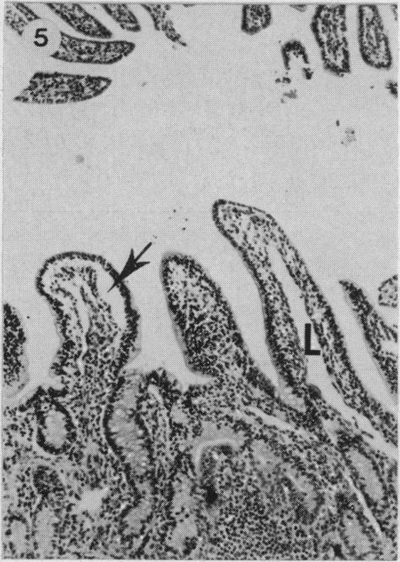
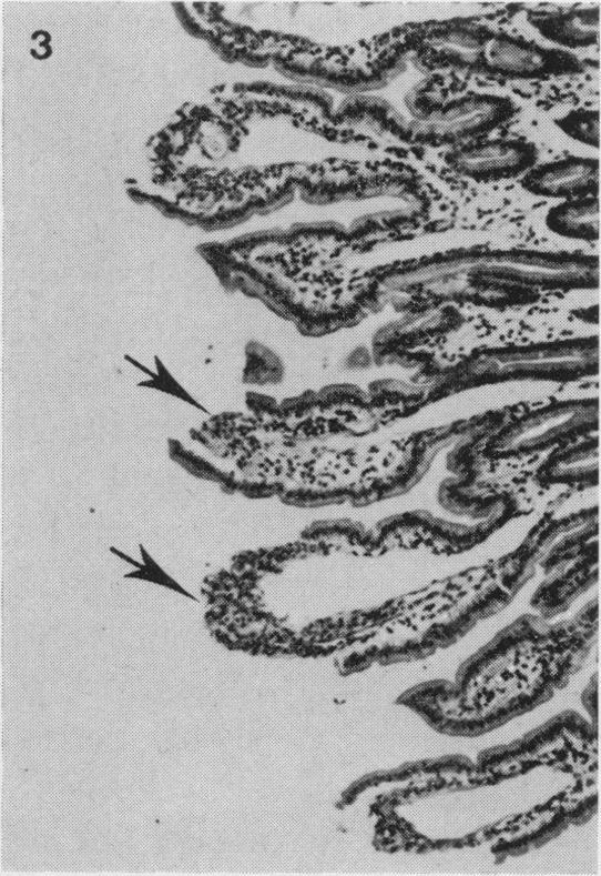
The rate of development of postmortem artefacts was investigated in the mucosa of the small intestine of a calf dually infected with an enteropathogenic strain of Esch. coli and rotavirus, and an uninfected control calf. Samples were removed under general anaesthesia from the proximal, middle and distal small intestine and compared with those taken from adjacent sites 1-30 min after severing the major blood vessels of the neck. In the challenged calf, changes occurred in the villous mucosa by 3 min after severance, whilst in the control calf good fixation was obtained until 10 min after severance.

摘要

对一头同时感染肠致病性大肠杆菌菌株和轮状病毒的小牛以及一头未感染的对照小牛的小肠黏膜中死后人工制品的发展速率进行了研究。在全身麻醉下从小肠的近端、中部和远端取出样本,并与在切断颈部主要血管后1 - 30分钟从相邻部位取出的样本进行比较。在受感染的小牛中,切断血管后3分钟绒毛黏膜就出现了变化,而在对照小牛中,直到切断血管后10分钟都能获得良好的固定效果。

https://cdn.ncbi.nlm.nih.gov/pmc/blobs/66fb/2041331/15be25f34452/brjexppathol00128-0074-a.jpg

文献检索

告别复杂PubMed语法,用中文像聊天一样搜索,搜遍4000万医学文献。AI智能推荐,让科研检索更轻松。

立即免费搜索

文件翻译

保留排版,准确专业,支持PDF/Word/PPT等文件格式,支持 12+语言互译。

免费翻译文档

深度研究

AI帮你快速写综述,25分钟生成高质量综述,智能提取关键信息,辅助科研写作。

立即免费体验