Suppr超能文献

印度北部患者中麻风病的肾脏病变

Renal lesions in leprosy amongst north Indian patients.

作者信息

Chugh K S, Damle P B, Kaur S, Sharma B K, Kumar B, Sakhuja V, Nath I V, Datta B N

出版信息

Postgrad Med J. 1983 Nov;59(697):707-11. doi: 10.1136/pgmj.59.697.707.

Abstract

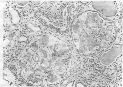
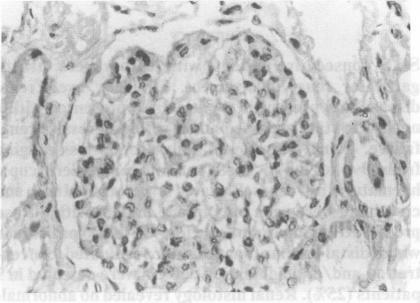
Sixty consecutive patients with leprosy were investigated for renal involvement. Clinically overt renal disease was present in 4 patients; 3 presented with a nephrotic state and one patient with progressive renal failure. Urinalysis showed daily protein loss ranging from 0.4 to 8.9 g in 8 patients and microscopic haematuria in 4 cases. Elevated levels of blood urea and creatinine were seen only in one patient with diffuse proliferative glomerulonephritis. Of the 36 patients in whom distal tubular functions were evaluated, concentration and/or acidification defects were detected in 9 patients (25%). Renal histology revealed no abnormality in any of these patients. Serum C3 levels were decreased in 5 patients with lepromatous leprosy and 3 patients with borderline leprosy. Histological evidence of renal involvement was detected in 9 patients (15%). Amyloid deposits were seen in 3 (5%) patients of whom 2 had lepromatous leprosy and one had tuberculoid leprosy with chronic trophic ulcers. Mesangial proliferative lesions were seen in 5 (8.3%) and diffuse proliferative lesions (with crescents in more than 70% of glomeruli) in one patient. All of them had lepromatous leprosy. Three of the 5 patients with mesangial proliferative glomerulonephritis had erythema nodosum leprosum at the time of biopsy. Immunofluorescence studies revealed granular deposits of IgA, IgM and C3 in one patient with mesangial proliferation and IgA/IgM with or without C3 in 3 more patients in whom renal histology was normal. Glomerulonephritis associated with leprosy appears to be immune mediated but confirmation requires identification of lepra antigen in the glomerular immune complex deposits.

摘要

对60例连续性麻风患者进行了肾脏受累情况调查。4例患者存在临床明显的肾脏疾病;3例表现为肾病状态,1例表现为进行性肾衰竭。尿液分析显示,8例患者每日蛋白质丢失量为0.4至8.9克,4例出现镜下血尿。仅1例弥漫性增殖性肾小球肾炎患者出现血尿素和肌酐水平升高。在评估了远端肾小管功能的36例患者中,9例(25%)检测到浓缩和/或酸化缺陷。这些患者的肾脏组织学检查均未发现异常。5例瘤型麻风患者和3例界线类麻风患者的血清C3水平降低。9例(15%)患者检测到肾脏受累的组织学证据。3例(5%)患者可见淀粉样沉积物,其中2例为瘤型麻风,1例为结核样麻风伴慢性营养性溃疡。5例(8.3%)可见系膜增殖性病变,1例可见弥漫性增殖性病变(超过70%的肾小球有新月体形成),所有患者均为瘤型麻风。5例系膜增殖性肾小球肾炎患者中有3例在活检时出现结节性红斑。免疫荧光研究显示,1例系膜增殖患者的肾小球中有IgA、IgM和C3的颗粒状沉积物,另外3例肾脏组织学正常的患者中有IgA/IgM伴或不伴C3。麻风相关的肾小球肾炎似乎是免疫介导的,但需要在肾小球免疫复合物沉积物中鉴定麻风抗原才能确诊。

https://cdn.ncbi.nlm.nih.gov/pmc/blobs/dbe7/2417668/937080ce0f78/postmedj00141-0035-a.jpg

文献AI研究员

20分钟写一篇综述,助力文献阅读效率提升50倍。

立即体验

用中文搜PubMed

大模型驱动的PubMed中文搜索引擎

马上搜索

文档翻译

学术文献翻译模型,支持多种主流文档格式。

立即体验