• 文献检索
  • 文档翻译
  • 深度研究
  • 学术资讯
  • Suppr Zotero 插件Zotero 插件
  • 邀请有礼
  • 套餐&价格
  • 历史记录
应用&插件
Suppr Zotero 插件Zotero 插件浏览器插件Mac 客户端Windows 客户端微信小程序
定价
高级版会员购买积分包购买API积分包
服务
文献检索文档翻译深度研究API 文档MCP 服务
关于我们
关于 Suppr公司介绍联系我们用户协议隐私条款
关注我们

Suppr 超能文献

核心技术专利:CN118964589B侵权必究
粤ICP备2023148730 号-1Suppr @ 2026

文献检索

告别复杂PubMed语法,用中文像聊天一样搜索,搜遍4000万医学文献。AI智能推荐,让科研检索更轻松。

立即免费搜索

文件翻译

保留排版,准确专业,支持PDF/Word/PPT等文件格式,支持 12+语言互译。

免费翻译文档

深度研究

AI帮你快速写综述,25分钟生成高质量综述,智能提取关键信息,辅助科研写作。

立即免费体验

来自矮胖(stm)突变小鼠下颌髁突的异常软骨。

Abnormal cartilage from the mandibular condyle of stumpy (stm) mutant mice.

作者信息

Johnson D R

出版信息

J Anat. 1983 Dec;137 ( Pt 4)(Pt 4):715-28.

PMID:6668249
原文链接:https://pmc.ncbi.nlm.nih.gov/articles/PMC1171874/
Abstract

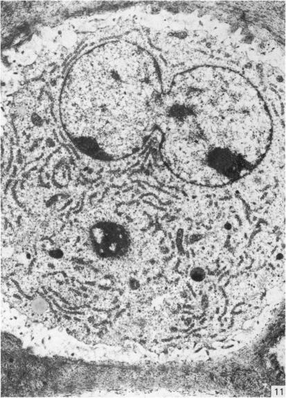
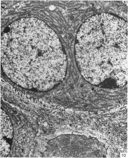
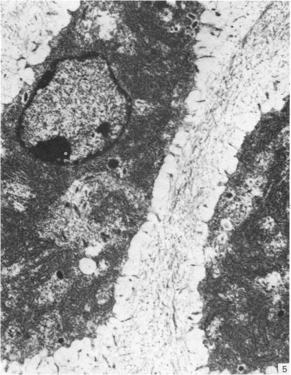
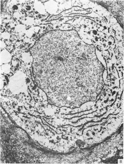
The mammalian mandibular condyle is composed of secondary cartilage and may thus be susceptible to genes causing achondroplasia and which result in abnormal++ primary cartilage formation. This paper describes the secondary cartilage in the mandible of the stumpy achondroplastic mutation in the mouse: both primary and secondary cartilage are affected by the gene.

摘要

哺乳动物的下颌髁由继发性软骨组成,因此可能易受导致软骨发育不全并致使初级软骨形成异常的基因影响。本文描述了小鼠短粗型软骨发育不全突变体下颌骨中的继发性软骨:初级软骨和继发性软骨均受该基因影响。

https://cdn.ncbi.nlm.nih.gov/pmc/blobs/49ad/1171874/46f8904cda88/janat00208-0089-a.jpg
https://cdn.ncbi.nlm.nih.gov/pmc/blobs/49ad/1171874/b151a922c9a1/janat00208-0079-a.jpg
https://cdn.ncbi.nlm.nih.gov/pmc/blobs/49ad/1171874/8852a27b2bf4/janat00208-0079-b.jpg
https://cdn.ncbi.nlm.nih.gov/pmc/blobs/49ad/1171874/8bba6faacc7f/janat00208-0079-c.jpg
https://cdn.ncbi.nlm.nih.gov/pmc/blobs/49ad/1171874/580fef36c7be/janat00208-0080-a.jpg
https://cdn.ncbi.nlm.nih.gov/pmc/blobs/49ad/1171874/ee45e457da4e/janat00208-0081-a.jpg
https://cdn.ncbi.nlm.nih.gov/pmc/blobs/49ad/1171874/eb70f4d43079/janat00208-0082-a.jpg
https://cdn.ncbi.nlm.nih.gov/pmc/blobs/49ad/1171874/ada50804bcf8/janat00208-0083-a.jpg
https://cdn.ncbi.nlm.nih.gov/pmc/blobs/49ad/1171874/624238577d5c/janat00208-0084-a.jpg
https://cdn.ncbi.nlm.nih.gov/pmc/blobs/49ad/1171874/4c852893556b/janat00208-0085-a.jpg
https://cdn.ncbi.nlm.nih.gov/pmc/blobs/49ad/1171874/598d788f959e/janat00208-0086-a.jpg
https://cdn.ncbi.nlm.nih.gov/pmc/blobs/49ad/1171874/5829aeb14c77/janat00208-0087-a.jpg
https://cdn.ncbi.nlm.nih.gov/pmc/blobs/49ad/1171874/b2cc2de9178a/janat00208-0088-a.jpg
https://cdn.ncbi.nlm.nih.gov/pmc/blobs/49ad/1171874/46f8904cda88/janat00208-0089-a.jpg
https://cdn.ncbi.nlm.nih.gov/pmc/blobs/49ad/1171874/b151a922c9a1/janat00208-0079-a.jpg
https://cdn.ncbi.nlm.nih.gov/pmc/blobs/49ad/1171874/8852a27b2bf4/janat00208-0079-b.jpg
https://cdn.ncbi.nlm.nih.gov/pmc/blobs/49ad/1171874/8bba6faacc7f/janat00208-0079-c.jpg
https://cdn.ncbi.nlm.nih.gov/pmc/blobs/49ad/1171874/580fef36c7be/janat00208-0080-a.jpg
https://cdn.ncbi.nlm.nih.gov/pmc/blobs/49ad/1171874/ee45e457da4e/janat00208-0081-a.jpg
https://cdn.ncbi.nlm.nih.gov/pmc/blobs/49ad/1171874/eb70f4d43079/janat00208-0082-a.jpg
https://cdn.ncbi.nlm.nih.gov/pmc/blobs/49ad/1171874/ada50804bcf8/janat00208-0083-a.jpg
https://cdn.ncbi.nlm.nih.gov/pmc/blobs/49ad/1171874/624238577d5c/janat00208-0084-a.jpg
https://cdn.ncbi.nlm.nih.gov/pmc/blobs/49ad/1171874/4c852893556b/janat00208-0085-a.jpg
https://cdn.ncbi.nlm.nih.gov/pmc/blobs/49ad/1171874/598d788f959e/janat00208-0086-a.jpg
https://cdn.ncbi.nlm.nih.gov/pmc/blobs/49ad/1171874/5829aeb14c77/janat00208-0087-a.jpg
https://cdn.ncbi.nlm.nih.gov/pmc/blobs/49ad/1171874/b2cc2de9178a/janat00208-0088-a.jpg
https://cdn.ncbi.nlm.nih.gov/pmc/blobs/49ad/1171874/46f8904cda88/janat00208-0089-a.jpg

相似文献

1
Abnormal cartilage from the mandibular condyle of stumpy (stm) mutant mice.来自矮胖(stm)突变小鼠下颌髁突的异常软骨。
J Anat. 1983 Dec;137 ( Pt 4)(Pt 4):715-28.
2
The ultrastructure of mandibular condylar and rib cartilage from mice carrying the spondylo-metaphyseal chondrodysplasia (smc) gene.携带脊椎干骺端软骨发育不良(smc)基因的小鼠下颌髁突和肋骨软骨的超微结构
J Anat. 1984 May;138 ( Pt 3)(Pt 3):463-70.
3
Ultrastructural observations on stumpy (stm), a new chondrodystrophic mutant in the mouse.对小鼠新的软骨发育不良突变体矮胖型(stm)的超微结构观察。
J Embryol Exp Morphol. 1977 Jun;39:279-84.
4
[Energy dispersive x-ray analysis and scanning electron microscopic observation on cartilage of the mandibular condyle (author's transl)].
Kaibogaku Zasshi. 1981 Apr;56(2):72-8.
5
Cell kinetics of growth cartilage of achondroplastic (cn) mice.软骨发育不全(cn)小鼠生长软骨的细胞动力学
J Anat. 1985 May;140 ( Pt 3)(Pt 3):425-34.
6
Electron probe x-ray microanalysis on the bone and cartilage tissues of the mandibular condyle in the rat.大鼠下颌髁突骨与软骨组织的电子探针X射线微区分析
Nihon Kyosei Shika Gakkai Zasshi. 1974 Jun;33(1):1-10.
7
[Ultrastructure of the condylar cartilage and joint meniscus in TMJ syndrome].
Zhonghua Yi Xue Za Zhi. 1985 May;65(5):270-2.
8
Light microscopic and ultrastructural observations of the calcifying zone of the mandibular condyle in the rat.大鼠下颌髁突钙化区的光镜和超微结构观察
Anat Rec. 1976 Jun;185(2):171-85. doi: 10.1002/ar.1091850205.
9
Histochemical evidences on the chronological alterations of the hypertrophic zone of mandibular condylar cartilage.下颌髁突软骨肥大区随时间变化的组织化学证据。
Microsc Res Tech. 2005 Aug 15;67(6):325-35. doi: 10.1002/jemt.20211.
10
[The preliminary study on the characteristics of mandible and condyle in dentin matrix protein-1 gene knockout mice].[牙本质基质蛋白-1基因敲除小鼠下颌骨及髁突特征的初步研究]
Zhonghua Kou Qiang Yi Xue Za Zhi. 2005 Jul;40(4):335-7.

引用本文的文献

1
The ultrastructure of mandibular condylar and rib cartilage from mice carrying the spondylo-metaphyseal chondrodysplasia (smc) gene.携带脊椎干骺端软骨发育不良(smc)基因的小鼠下颌髁突和肋骨软骨的超微结构
J Anat. 1984 May;138 ( Pt 3)(Pt 3):463-70.

本文引用的文献

1
The development of the human mandibular joint.人类下颌关节的发育
J Anat. 1952 Jul;86(3):326-32.
2
Cell kinetics of growth cartilage in stumpy: a new chondrodystrophic mutant in the mouse.短尾小鼠生长软骨的细胞动力学:一种新的小鼠软骨发育不良突变体
J Anat. 1983 Mar;136(Pt 2):407-15.
3
Microscopic studies of achondroplastic rabbit cartilage.软骨发育不全兔软骨的微观研究。
Teratology. 1969 Feb;2(1):13-22. doi: 10.1002/tera.1420020103.
4
Growth of the mandibular condyle of the rat studied with tritiated thymidine.用氚标记的胸腺嘧啶核苷研究大鼠下颌髁突的生长。
Arch Oral Biol. 1966 May;11(5):493-500. doi: 10.1016/0003-9969(66)90155-5.
5
The nature of endochondral ossification in the mandibular condyle of the mouse.小鼠下颌髁突软骨内成骨的本质。
Anat Rec. 1972 Apr;172(4):659-67. doi: 10.1002/ar.1091720406.
6
Hydrolytic enzyme activity during endochondral ossification of secondary cartilage.次级软骨软骨内骨化过程中的水解酶活性。
Am J Anat. 1974 Jul;140(3):369-81. doi: 10.1002/aja.1001400305.
7
Ultrastructural localization of acid phosphatase in cartilage of young mandibular condyles.酸性磷酸酶在下颌骨髁突软骨中的超微结构定位
Histochemie. 1973 Dec 31;37(4):365-9. doi: 10.1007/BF00274971.
8
The role of the condyle in the postnatal growth of the mandible.髁突在下颌骨出生后生长中的作用。
Am J Orthod. 1973 Jul;64(1):50-62. doi: 10.1016/0002-9416(73)90280-7.
9
Vitality of chondrocytes in the mandibular condyle as revealed by collagen formation. An autoradiographic study with 3 H-Proline.通过胶原蛋白形成揭示的下颌髁突软骨细胞活力。一项用³H-脯氨酸的放射自显影研究。
Am J Anat. 1972 Nov;135(3):359-69. doi: 10.1002/aja.1001350305.
10
Histochemical studies of chondrocyte function in the cartilage of the mandibular codyle of the rat.大鼠下颌髁突软骨中软骨细胞功能的组织化学研究。
J Anat. 1966 Jul;100(Pt 3):615-26.