Suppr超能文献

黑色肾上腺腺瘤所致原发性醛固酮增多症:光镜和电镜研究

Primary tumorous aldosteronism due to a black adrenal adenoma: a light and electron microscopic study.

作者信息

Sienkowski I K, Watkins R M, Anderson V E

出版信息

J Clin Pathol. 1984 Feb;37(2):143-9. doi: 10.1136/jcp.37.2.143.

Abstract

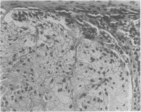
A case of primary tumorous aldosteronism due to a black adrenal adenoma in a 37-year-old man is reported. Light microscopy showed the tumour to consist predominantly of compact cells containing intracytoplasmic lipofuscin, accompanied by zona fasciculata and intermediate type cells. Electron microscopy identified compact and interface (inner zona fasciculata) type cells, and also demonstrated spironolactone bodies in a compact cell. The morphological appearance of the tumour and adjacent adrenal gland, combined with the clinical and biochemical findings, supports both its secretory function and its classification as a rare variant of the more common non-pigmented aldosteronoma.

摘要

报告了一例37岁男性因黑色肾上腺腺瘤导致的原发性肿瘤性醛固酮增多症。光镜检查显示肿瘤主要由含有胞浆内脂褐素的致密细胞组成,并伴有束状带和中间型细胞。电镜鉴定出致密型和界面(束状带内层)型细胞,并且在致密细胞中发现了螺内酯小体。肿瘤及相邻肾上腺的形态学表现,结合临床和生化检查结果,支持其分泌功能以及将其分类为更常见的非色素性醛固酮瘤的一种罕见变体。

https://cdn.ncbi.nlm.nih.gov/pmc/blobs/ddf7/498669/adafc8c21d50/jclinpath00173-0036-a.jpg

文献检索

告别复杂PubMed语法,用中文像聊天一样搜索,搜遍4000万医学文献。AI智能推荐,让科研检索更轻松。

立即免费搜索

文件翻译

保留排版,准确专业,支持PDF/Word/PPT等文件格式,支持 12+语言互译。

免费翻译文档

深度研究

AI帮你快速写综述,25分钟生成高质量综述,智能提取关键信息,辅助科研写作。

立即免费体验