• 文献检索
  • 文档翻译
  • 深度研究
  • 学术资讯
  • Suppr Zotero 插件Zotero 插件
  • 邀请有礼
  • 套餐&价格
  • 历史记录
应用&插件
Suppr Zotero 插件Zotero 插件浏览器插件Mac 客户端Windows 客户端微信小程序
定价
高级版会员购买积分包购买API积分包
服务
文献检索文档翻译深度研究API 文档MCP 服务
关于我们
关于 Suppr公司介绍联系我们用户协议隐私条款
关注我们

Suppr 超能文献

核心技术专利:CN118964589B侵权必究
粤ICP备2023148730 号-1Suppr @ 2026

文献检索

告别复杂PubMed语法,用中文像聊天一样搜索,搜遍4000万医学文献。AI智能推荐,让科研检索更轻松。

立即免费搜索

文件翻译

保留排版,准确专业,支持PDF/Word/PPT等文件格式,支持 12+语言互译。

免费翻译文档

深度研究

AI帮你快速写综述,25分钟生成高质量综述,智能提取关键信息,辅助科研写作。

立即免费体验

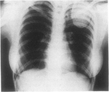
肋骨动脉瘤样骨囊肿

Aneurysmal bone cyst of the rib.

作者信息

Sabanathan S, Chen K, Robertson C S, Salama F D

出版信息

Thorax. 1984 Feb;39(2):125-30. doi: 10.1136/thx.39.2.125.

DOI:10.1136/thx.39.2.125
PMID:6701823
原文链接:https://pmc.ncbi.nlm.nih.gov/articles/PMC459738/
Abstract

Aneurysmal bone cysts are uncommon lesions, especially in the ribs. Four patients with aneurysmal bone cysts of the rib are presented and previously reported cases reviewed. A brief discussion of the clinical manifestations, pathology, aetiology, and current treatment of aneurysmal bone cyst is also included.

摘要

动脉瘤样骨囊肿是一种罕见的病变,尤其是在肋骨部位。本文报告了4例肋骨动脉瘤样骨囊肿患者,并对既往报道的病例进行了回顾。文中还简要讨论了动脉瘤样骨囊肿的临床表现、病理、病因及当前的治疗方法。

https://cdn.ncbi.nlm.nih.gov/pmc/blobs/5e98/459738/9f74e4510ff4/thorax00218-0048-a.jpg
https://cdn.ncbi.nlm.nih.gov/pmc/blobs/5e98/459738/641cce64c787/thorax00218-0046-a.jpg
https://cdn.ncbi.nlm.nih.gov/pmc/blobs/5e98/459738/7f382d9c5d9f/thorax00218-0046-b.jpg
https://cdn.ncbi.nlm.nih.gov/pmc/blobs/5e98/459738/9f74e4510ff4/thorax00218-0048-a.jpg
https://cdn.ncbi.nlm.nih.gov/pmc/blobs/5e98/459738/641cce64c787/thorax00218-0046-a.jpg
https://cdn.ncbi.nlm.nih.gov/pmc/blobs/5e98/459738/7f382d9c5d9f/thorax00218-0046-b.jpg
https://cdn.ncbi.nlm.nih.gov/pmc/blobs/5e98/459738/9f74e4510ff4/thorax00218-0048-a.jpg

相似文献

1
Aneurysmal bone cyst of the rib.肋骨动脉瘤样骨囊肿
Thorax. 1984 Feb;39(2):125-30. doi: 10.1136/thx.39.2.125.
2
Aneurysmal bone cyst of the rib: a review and report of two cases.肋骨动脉瘤样骨囊肿:病例回顾及两例报告
Br J Dis Chest. 1988 Apr;82(2):179-85. doi: 10.1016/0007-0971(88)90041-1.
3
Aneurysmal bone cyst of rib.肋骨动脉瘤样骨囊肿
J Ky Med Assoc. 1982 Jul;80(7):395-7.
4
[A case of aneurysmal bone cyst arising from the right 3d rib].[一例起源于右侧第3肋的动脉瘤样骨囊肿]
Kyobu Geka. 1986 Jun;39(6):488-90.
5
Aneurysmal bone cyst mimicking Ewing's sarcoma of the rib.酷似肋骨尤因肉瘤的动脉瘤样骨囊肿。
J Pediatr Surg. 1977 Dec;12(6):1067-9. doi: 10.1016/0022-3468(77)90620-0.
6
Aneurysmal bone cyst. Difficulties in diagnosis.动脉瘤样骨囊肿。诊断难点。
Aust N Z J Surg. 1967 Feb;36(3):212-7.
7
Vascular and cartilaginous hamartoma of the ribs in infancy with secondary aneurysmal bone cyst formation.婴儿期肋骨的血管性和软骨性错构瘤伴继发性动脉瘤样骨囊肿形成。
Am J Surg Pathol. 1980 Jun;4(3):247-53. doi: 10.1097/00000478-198006000-00005.
8
Case report 103. Post-traumatic aneurysmal bone cyst affecting third and fourth ribs.病例报告103:创伤后动脉瘤样骨囊肿累及第三和第四肋骨。
Skeletal Radiol. 1979;4(4):240-3. doi: 10.1007/BF00347222.
9
Aneurysmal bone cyst in a rib of a cat.猫肋骨中的动脉瘤样骨囊肿。
J Am Vet Med Assoc. 1987 May 1;190(9):1193-5.
10
Unicameral bone cyst in a rib of a child.儿童肋骨单房性骨囊肿。
AJR Am J Roentgenol. 1977 Jun;128(6):1058-60. doi: 10.2214/ajr.128.6.1058.

引用本文的文献

1
A giant aneurysmal bone cyst of the rib: Case report.肋骨巨大动脉瘤样骨囊肿:病例报告
Oncol Lett. 2014 Jan;7(1):267-269. doi: 10.3892/ol.2013.1642. Epub 2013 Oct 25.
2
Aneurysmal bone cyst of the rib: report of a case.肋骨动脉瘤样骨囊肿:1例报告
Surg Today. 2005;35(12):1073-5. doi: 10.1007/s00595-005-3068-6.
3
Aneurysmal bone cyst of the rib in a child: report of a case.儿童肋骨动脉瘤样骨囊肿:一例报告

本文引用的文献

1
Extension of primary neoplasms of bone to bone marrow.
Surg Gynecol Obstet. 1949 Dec;89(6):704-14, illust.
2
Aneurysmal bone cyst.动脉瘤样骨囊肿
Bull Hosp Joint Dis. 1950 Apr;11(1):3-13.
3
ANEURYSMAL BONE CYST OF THE RIB.
N Y State J Med. 1965 Jan 15;65:298-9.
4
ANEURYSMAL BONE CYST OF RIB. DIFFERENTIAL DIAGNOSIS AND TREATMENT.
Surg Today. 2005;35(10):886-9. doi: 10.1007/s00595-005-3020-9.
Arch Surg. 1964 Feb;88:229-32. doi: 10.1001/archsurg.1964.01310200067015.
5
The natural history of aneurysmal bone cyst.动脉瘤样骨囊肿的自然病史。
Proc R Soc Med. 1959 Nov;52(11):900-5. doi: 10.1177/003591575905201102.
6
Aneurysmal bone cyst; observations on fifty cases.动脉瘤样骨囊肿;50例观察报告
J Bone Joint Surg Am. 1957 Jul;39-A(4):873-82.
7
Primary tumors of the ribs and sternum.
Surg Gynecol Obstet. 1957 Apr;104(4):390-400.
8
Aneurysmal bone cyst: its roentgen diagnosis.动脉瘤样骨囊肿:其X线诊断
Radiology. 1957 Jan;68(1):54-64. doi: 10.1148/68.1.54.
9
Primary tumours of rib.
Br J Surg. 1955 Sep;43(178):113-32. doi: 10.1002/bjs.18004317802.
10
Tumors of the ribs.肋骨肿瘤
Dis Chest. 1955 Oct;28(4):406-15. doi: 10.1378/chest.28.4.406.