Suppr超能文献

NCTR-BALB/c小鼠的溶酶体脂质贮积症。II. 形态学和细胞化学研究。

Lysosome lipid storage disorder in NCTR-BALB/c mice. II. Morphologic and cytochemical studies.

作者信息

Shio H, Fowler S, Bhuvaneswaran C, Morris M D

机构信息

Laboratory of Biochemical Cytology, Rockefeller University, New York, New York.

出版信息

Am J Pathol. 1982 Aug;108(2):150-9.

Abstract

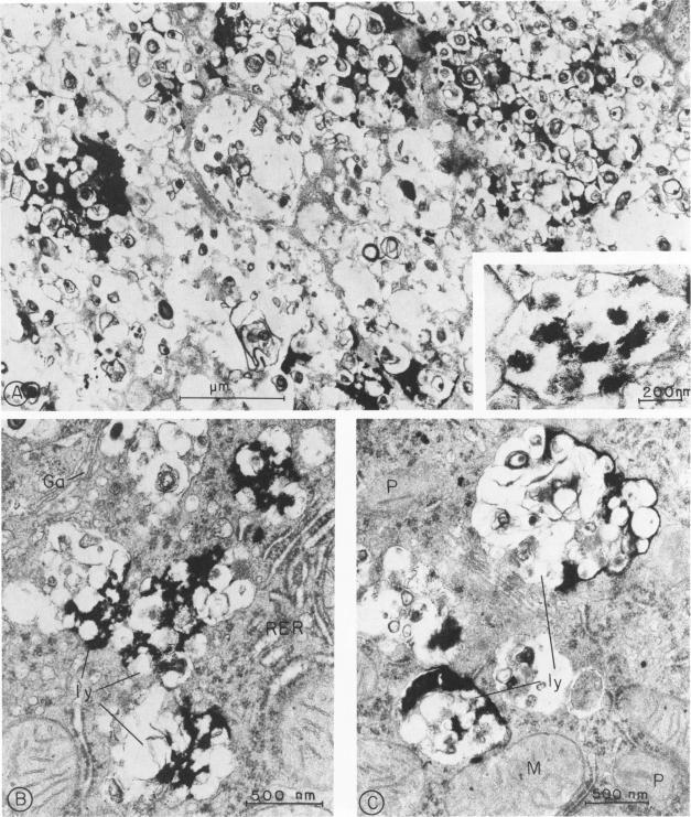
Electron-microscopic and cytochemical studies were carried out on tissues of NCTR-BALB/c mice. These mice are affected with a neurovisceral genetic disorder involving excessive tissue accumulation of lipid. Distinctive polymorphic intracellular inclusions, bounded by a membrane and containing lamellated bodies, were found in many cells of liver, spleen, lung, kidney, intestine, lymph nodes, and brain. The inclusions transformed reticuloendothelial cells into massive foam cells. Acid phosphatase cytochemical studies performed on sections of liver demonstrated that the inclusions were lysosomes. Fixation of liver in the presence of digitonin produced "spicules" in the inclusions characteristic of digitonin-cholesterol complexes. Clefts of cholesterol crystals were seen in the inclusions in liver, spleen, and lung. We conclude that the NCTR-BALB/c mice are affected by a lysosome lipid storage disease and that cholesterol is a major storage product.

摘要

对NCTR-BALB/c小鼠的组织进行了电子显微镜和细胞化学研究。这些小鼠患有一种神经内脏遗传性疾病,其特征是脂质在组织中过度积累。在肝脏、脾脏、肺、肾脏、肠道、淋巴结和大脑的许多细胞中发现了独特的多形性细胞内包涵体,这些包涵体有膜包裹并含有板层小体。这些包涵体将网状内皮细胞转化为大量泡沫细胞。对肝脏切片进行的酸性磷酸酶细胞化学研究表明,这些包涵体是溶酶体。在洋地黄皂苷存在的情况下固定肝脏,会在包涵体中产生洋地黄皂苷-胆固醇复合物特有的“针状物”。在肝脏、脾脏和肺的包涵体中可见胆固醇晶体的裂隙。我们得出结论,NCTR-BALB/c小鼠患有溶酶体脂质贮积病,胆固醇是主要的贮积产物。

https://cdn.ncbi.nlm.nih.gov/pmc/blobs/264e/1916079/6a9660e693f2/amjpathol00203-0024-a.jpg

文献检索

告别复杂PubMed语法,用中文像聊天一样搜索,搜遍4000万医学文献。AI智能推荐,让科研检索更轻松。

立即免费搜索

文件翻译

保留排版,准确专业,支持PDF/Word/PPT等文件格式,支持 12+语言互译。

免费翻译文档

深度研究

AI帮你快速写综述,25分钟生成高质量综述,智能提取关键信息,辅助科研写作。

立即免费体验