Suppr超能文献

猕猴(食蟹猴)脊髓中间外侧核的精细结构。

The fine structure of the intermediolateral nucleus of the spinal cord of the monkey (Macaca fascicularis).

作者信息

Wong W C, Tan C K

出版信息

J Anat. 1980 Mar;130(Pt 2):263-77.

Abstract

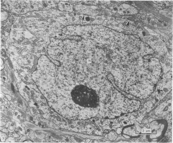
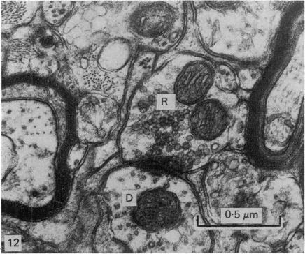
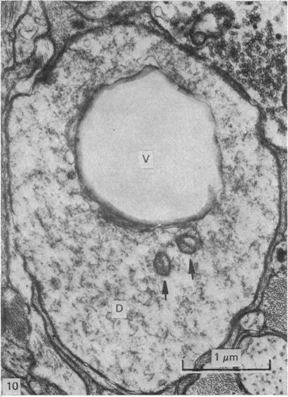
An electron microscopical study of the intermediolateral nucleus of the monkey has shown that the neurons could be classified into at least three main types. The perikarya and proximal dendrite of Types I and II neurons were almost completely covered with astrocytic processes. Both these types of neurons were characterized by prominent profiles of rough endoplasmic reticulum arranged in parallel stacks in Type I and in small aggregates in Type II. The Golgi apparatus was well developed in both types. In contrast, Type III neurons, which were consistently smaller than the other two types, were only partially covered by astrocytic processes, their meagre RER consisted of single short strands of ribosome-studded cisterns randomly dispersed in the cytoplasm and their Golgi apparatus was poorly dveloped. The nuclear outline of all three types of neuron was irregular, but that of Type III neurons was deeply indented. Axosomatic synapses were rarely observed in Types I and II neurons but were common in Type III neurons. Axon terminals in the intermediolateral nucleus could also be divided into three main classes according to their synpatic vesicular morphology. R-boutons contained round agranular vesicles, DCV-boutons contained a mixture of agranular and large dense-cored vesicles and F-boutons contained flattened or ellipsoidal vesicles. All three classes of axon terminals formed simple axodendritic synapses and also took part in the formation of glia-encapsulated glomerular synapses in which the most common arrangement was that of a central dendrite which was synaptically contacted by axon terminals. F-boutons formed axosomatic synapses with all three types of neurons, R-boutons synapsed commonly on Type III neurons and only occasionally on Type II neurons, while DCV-boutons were rarely seen to form axosomatic synapses. No axo-axonal synapses were observed.

摘要

对猴子中间外侧核的电子显微镜研究表明,神经元可至少分为三种主要类型。I型和II型神经元的胞体和近端树突几乎完全被星形胶质细胞的突起所覆盖。这两种类型的神经元的特征是,I型神经元中粗糙内质网呈平行堆叠的显著轮廓,II型神经元中则呈小聚集体。两种类型的神经元中高尔基复合体均发育良好。相比之下,III型神经元始终比其他两种类型小,仅部分被星形胶质细胞的突起覆盖,其稀少的粗面内质网由随机分散在细胞质中的单条短核糖体附着的池状结构组成,其高尔基复合体发育不良。所有三种类型神经元的核轮廓均不规则,但III型神经元的核轮廓有深深的凹陷。I型和II型神经元中很少观察到轴体突触,但III型神经元中很常见。根据其突触小泡形态,中间外侧核中的轴突终末也可分为三大类。R型终扣含有圆形无颗粒小泡,DCV型终扣含有无颗粒和大的致密核心小泡的混合物以及F型终扣含有扁平或椭圆形小泡。所有三类轴突终末均形成简单的轴树突触,也参与形成胶质细胞包裹的小球状突触,其中最常见的排列方式是中央树突与轴突终末形成突触联系。F型终扣与所有三种类型的神经元形成轴体突触,R型终扣通常与III型神经元形成突触,仅偶尔与II型神经元形成突触,而DCV型终扣很少形成轴体突触。未观察到轴-轴突触。

https://cdn.ncbi.nlm.nih.gov/pmc/blobs/ecd7/1233131/f8933ee9be36/janat00234-0043-a.jpg

文献AI研究员

20分钟写一篇综述,助力文献阅读效率提升50倍。

立即体验

用中文搜PubMed

大模型驱动的PubMed中文搜索引擎

马上搜索

文档翻译

学术文献翻译模型,支持多种主流文档格式。

立即体验