Suppr超能文献

向猕猴(食蟹猴)中间外侧核脑池内注射6-羟基多巴胺后的超微结构变化。

Ultrastructural changes after intracisternal injection of 6-hydroxydopamine in the intermediolateral nucleus of the monkey (Macaca fascicularis).

作者信息

Wong W C, Tan C K

出版信息

J Anat. 1981 Oct;133(Pt 3):321-31.

Abstract

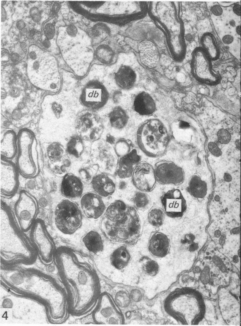
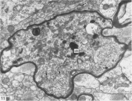
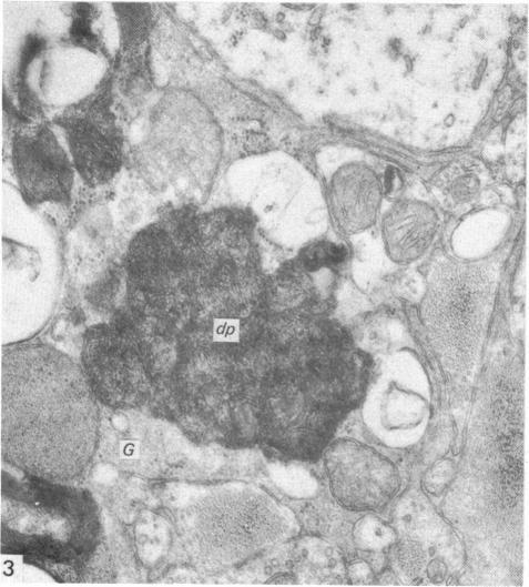
The ultrastructural changes following a single intracisternal injection of 6-OHDA were studied in the intermediolateral nucleus of the monkey spinal cord. Post-operative survival periods ranged from 20 hours to 14 days. At all stages, only boutons containing clear, round vesicles (R-boutons) and those containing dense-cored vesicles (DCV-boutons) underwent degeneration. Boutons containing flattened vesicles (F-boutons) appeared to be unaffected. Changes were seen even at 20 hours after injection and these were confined to R-boutons only. The changes included an initial swelling and crowding of the vesicles, followed by an increase in the electron density of the axoplasm. The latter change was most marked on the second post-operative day and by the third day, most of the electron-dense profiles were glia-engulfed. By the third day, also, many unmyelinated and, occasionally, myelinated axons showed accumulations of mitochondria, membrane-bound tubular profiles and electron-dense bodies. Many astrocytic processes also showed accumulation of tubular profiles. From the fifth day onwards, few degenerating R-boutons were encountered but DCV-boutons containing swollen vesicles, with or without their dense cores, were obvious. Unmyelinated and, occasionally, myelinated axons and astrocytic processes containing tubular elements still continued to be seen. By the fourteenth post-operative day, degenerating profiles were rarely observed. The probable significance of these findings has been discussed in the light of recent anatomical and biochemical studies.

摘要

在猴脊髓中间外侧核中,研究了单次脑池内注射6-羟基多巴胺(6-OHDA)后的超微结构变化。术后存活期从20小时至14天不等。在所有阶段,只有含有清亮圆形囊泡的终扣(R终扣)和含有致密核心囊泡的终扣(DCV终扣)发生退变。含有扁平囊泡的终扣(F终扣)似乎未受影响。甚至在注射后20小时就可见到变化,且这些变化仅局限于R终扣。变化包括囊泡最初肿胀和聚集,随后轴浆电子密度增加。后者的变化在术后第二天最为明显,到第三天,大多数电子致密图像被胶质细胞吞噬。同样在第三天,许多无髓鞘以及偶尔有髓鞘的轴突显示出线粒体、膜结合管状结构和电子致密体的聚集。许多星形胶质细胞突起也显示出管状结构的聚集。从第五天起,很少遇到退变的R终扣,但含有肿胀囊泡(有或无致密核心)的DCV终扣很明显。仍可继续见到含有管状成分的无髓鞘以及偶尔有髓鞘的轴突和星形胶质细胞突起。到术后第十四天,很少观察到退变图像。已根据最近的解剖学和生物化学研究对这些发现的可能意义进行了讨论。

https://cdn.ncbi.nlm.nih.gov/pmc/blobs/3817/1167604/7b38faa03a17/janat00223-0004-a.jpg

文献检索

告别复杂PubMed语法,用中文像聊天一样搜索,搜遍4000万医学文献。AI智能推荐,让科研检索更轻松。

立即免费搜索

文件翻译

保留排版,准确专业,支持PDF/Word/PPT等文件格式,支持 12+语言互译。

免费翻译文档

深度研究

AI帮你快速写综述,25分钟生成高质量综述,智能提取关键信息,辅助科研写作。

立即免费体验