• 文献检索
  • 文档翻译
  • 深度研究
  • 学术资讯
  • Suppr Zotero 插件Zotero 插件
  • 邀请有礼
  • 套餐&价格
  • 历史记录
应用&插件
Suppr Zotero 插件Zotero 插件浏览器插件Mac 客户端Windows 客户端微信小程序
定价
高级版会员购买积分包购买API积分包
服务
文献检索文档翻译深度研究API 文档MCP 服务
关于我们
关于 Suppr公司介绍联系我们用户协议隐私条款
关注我们

Suppr 超能文献

核心技术专利:CN118964589B侵权必究
粤ICP备2023148730 号-1Suppr @ 2026

文献检索

告别复杂PubMed语法,用中文像聊天一样搜索,搜遍4000万医学文献。AI智能推荐,让科研检索更轻松。

立即免费搜索

文件翻译

保留排版,准确专业,支持PDF/Word/PPT等文件格式,支持 12+语言互译。

免费翻译文档

深度研究

AI帮你快速写综述,25分钟生成高质量综述,智能提取关键信息,辅助科研写作。

立即免费体验

反刍原生动物鲁氏达氏鞭毛虫(Dasytricha ruminantium Schuberg)中的氢化酶体

Hydrogenosomes in the rumen protozoon Dasytricha ruminantium Schuberg.

作者信息

Yarlett N, Hann A C, Lloyd D, Williams A

出版信息

Biochem J. 1981 Nov 15;200(2):365-72. doi: 10.1042/bj2000365.

DOI:10.1042/bj2000365
PMID:6803778
原文链接:https://pmc.ncbi.nlm.nih.gov/articles/PMC1163544/
Abstract

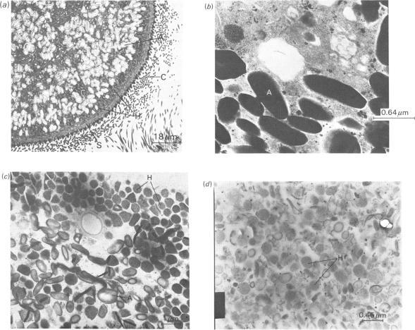
This paper reports for the first time the presence in the anaerobic rumen ciliate Dasytricha ruminantium (Schuberg) of microbody-like organelles, about 0.5 micrometer diameter, with a granular matrix and an equilibrium density of approx. 1.18 g/ml. These organelles can be isolated in a fraction sedimented at 10(5) g-min that contains 67% of the total pyruvate synthase (EC 1.2.7.1), 66% of the hydrogenase (EC 1.18.3.1) and 20% of the lactate dehydrogenase (EC 1.1.1.27). Thus in several respects this fraction is enzymically similar to those containing hydrogenosomes in some other parasitic anaerobic protozoa (the trichomonads). However, in contrast with the hydrogenosomes of trichomonads, the oxygen-tolerant enzyme malate dehydrogenase (decarboxylating) (EC 1.1.1.40) is not particulate, but occurs only in the cytosol. These results enable the proposal of a scheme for the pathway of product formation (acetate, lactate, CO2 and H2) from carbohydrates.

摘要

本文首次报道了在厌氧瘤胃纤毛虫——反刍类双毛虫(Schuberg)中存在直径约0.5微米、具有颗粒状基质且平衡密度约为1.18克/毫升的微体样细胞器。这些细胞器可在以10⁵g·min离心沉淀的组分中分离得到,该组分含有总丙酮酸合酶(EC 1.2.7.1)的67%、氢化酶(EC 1.18.3.1)的66%和乳酸脱氢酶(EC 1.1.1.27)的20%。因此,在几个方面,该组分在酶学上与其他一些寄生性厌氧原生动物(毛滴虫)中含有氢化小体的组分相似。然而,与毛滴虫的氢化小体不同,耐氧酶苹果酸脱氢酶(脱羧)(EC 1.1.1.40)不是颗粒状的,仅存在于胞质溶胶中。这些结果使得能够提出一个关于碳水化合物形成产物(乙酸、乳酸、二氧化碳和氢气)途径的方案。

https://cdn.ncbi.nlm.nih.gov/pmc/blobs/e448/1163544/d4b2bbe86256/biochemj00386-0185-a.jpg
https://cdn.ncbi.nlm.nih.gov/pmc/blobs/e448/1163544/d4b2bbe86256/biochemj00386-0185-a.jpg
https://cdn.ncbi.nlm.nih.gov/pmc/blobs/e448/1163544/d4b2bbe86256/biochemj00386-0185-a.jpg

相似文献

1
Hydrogenosomes in the rumen protozoon Dasytricha ruminantium Schuberg.反刍原生动物鲁氏达氏鞭毛虫(Dasytricha ruminantium Schuberg)中的氢化酶体
Biochem J. 1981 Nov 15;200(2):365-72. doi: 10.1042/bj2000365.
2
Hydrogenosomes in a mixed isolate of Isotricha prostoma and Isotricha intestinalis from ovine rumen contents.来自绵羊瘤胃内容物的原口等毛虫和肠等毛虫混合分离物中的氢化酶体。
Comp Biochem Physiol B. 1983;74(2):357-64. doi: 10.1016/0305-0491(83)90025-1.
3
Hydrogenosomes in the rumen entodiniomorphid ciliate Polyplastron multivesiculatum.
J Gen Microbiol. 1990 Oct;136(10):1981-9. doi: 10.1099/00221287-136-10-1981.
4
Hydrogenosomes in the rumen fungus Neocallimastix patriciarum.瘤胃真菌新美鞭菌中氢化酶体的研究
Biochem J. 1986 Jun 15;236(3):729-39. doi: 10.1042/bj2360729.
5
Butyrate formation from glucose by the rumen protozoon Dasytricha ruminantium.瘤胃原生动物反刍前毛虫利用葡萄糖生成丁酸的过程。
Biochem J. 1985 May 15;228(1):187-92. doi: 10.1042/bj2280187.
6
Culture of the rumen holotrich ciliate Dasytricha ruminantium schuberg.瘤胃全毛纤毛虫鲁氏达氏虫(Dasytricha ruminantium schuberg)的培养
Appl Microbiol. 1966 May;14(3):340-5. doi: 10.1128/am.14.3.340-345.1966.
7
Respiration of the rumen ciliate Dasytricha ruminantium Schuberg.瘤胃纤毛虫鲁氏前毛虫(Dasytricha ruminantium Schuberg)的呼吸作用
Biochem J. 1982 Aug 15;206(2):259-66. doi: 10.1042/bj2060259.
8
Polypeptides of hydrogenosome-enriched fractions from rumen ciliate protozoa and trichomonads: immunological studies.
FEMS Microbiol Lett. 1994 Apr 1;117(2):211-6. doi: 10.1111/j.1574-6968.1994.tb06767.x.
9
Microbody of n-alkane-grown yeast. Enzyme localization in the isolated microbody.正构烷烃培养酵母的微体。酶在分离出的微体中的定位。
Arch Microbiol. 1977 Feb 4;112(1):1-8. doi: 10.1007/BF00446647.
10
Characterization of hydrogenosomes and their role in glucose metabolism of Neocallimastix sp. L2.
Arch Microbiol. 1993;160(5):388-96. doi: 10.1007/BF00252226.

引用本文的文献

1
Degradation of Cellulose and Hemicellulose by Ruminal Microorganisms.瘤胃微生物对纤维素和半纤维素的降解
Microorganisms. 2022 Nov 27;10(12):2345. doi: 10.3390/microorganisms10122345.
2
Transcriptome Profiling Revealed Multiple Genes in the Species of (Protozoa: Ciliophora: Heterotrichea).转录组分析揭示了(原生动物:纤毛虫纲:异毛亚纲)物种中的多个基因。
Front Microbiol. 2021 Jan 5;11:574285. doi: 10.3389/fmicb.2020.574285. eCollection 2020.
3
Novel Hydrogenosomes in the Microaerophilic Jakobid Stygiella incarcerata.微需氧雅各布虫Stygiella incarcerata中的新型氢化酶体

本文引用的文献

1
Protein measurement with the Folin phenol reagent.使用福林酚试剂进行蛋白质测定。
J Biol Chem. 1951 Nov;193(1):265-75.
2
Pathways of glucose dissimilation in Laredo strain of Entamoeba histolytica.溶组织内阿米巴拉雷多菌株中葡萄糖异化途径。
Exp Parasitol. 1962 Oct;12:393-400. doi: 10.1016/0014-4894(62)90050-4.
3
Preparation of enzymes from rumen protozoa by indole disintegration.通过吲哚分解从瘤胃原生动物制备酶。
Mol Biol Evol. 2016 Sep;33(9):2318-36. doi: 10.1093/molbev/msw103. Epub 2016 Jun 8.
4
Phylogeny of intestinal ciliates, including Charonina ventriculi, and comparison of microscopy and 18S rRNA gene pyrosequencing for rumen ciliate community structure analysis.包括胃内卡戎虫在内的肠道纤毛虫的系统发育,以及用于瘤胃纤毛虫群落结构分析的显微镜检查和18S rRNA基因焦磷酸测序的比较。
Appl Environ Microbiol. 2015 Apr;81(7):2433-44. doi: 10.1128/AEM.03697-14. Epub 2015 Jan 23.
5
Biochemistry and evolution of anaerobic energy metabolism in eukaryotes.真核生物厌氧能量代谢的生物化学与进化。
Microbiol Mol Biol Rev. 2012 Jun;76(2):444-95. doi: 10.1128/MMBR.05024-11.
6
A linear molecule with two large inverted repeats: the mitochondrial genome of the stramenopile Proteromonas lacertae.具有两个大型反向重复序列的线状分子:鞭毛门原绿球藻的线粒体基因组。
Genome Biol Evol. 2010 Jul 12;2:257-66. doi: 10.1093/gbe/evq015.
7
Mitochondria, hydrogenosomes and mitosomes: products of evolutionary tinkering!线粒体、氢化酶体和纺锤剩体:进化修补的产物!
Curr Genet. 2006 Oct;50(4):225-45. doi: 10.1007/s00294-006-0088-8. Epub 2006 Aug 9.
8
Multiple secondary origins of the anaerobic lifestyle in eukaryotes.真核生物厌氧生活方式的多种次生起源。
Philos Trans R Soc Lond B Biol Sci. 2006 Jun 29;361(1470):1055-67. doi: 10.1098/rstb.2006.1844.
9
Mitochondria and hydrogenosomes are two forms of the same fundamental organelle.线粒体和氢化酶体是同一基本细胞器的两种形式。
Philos Trans R Soc Lond B Biol Sci. 2003 Jan 29;358(1429):191-201; discussion 201-2. doi: 10.1098/rstb.2002.1190.
10
A common evolutionary origin for mitochondria and hydrogenosomes.线粒体和氢化酶体的共同进化起源。
Proc Natl Acad Sci U S A. 1996 Sep 3;93(18):9651-6. doi: 10.1073/pnas.93.18.9651.
Arch Biochem Biophys. 1962 Nov;99:299-303. doi: 10.1016/0003-9861(62)90014-0.
4
The constitutive nature of alkaline phosphatase in rumen bacteria.瘤胃细菌中碱性磷酸酶的组成性质。
Can J Microbiol. 1980 Feb;26(2):268-72. doi: 10.1139/m80-043.
5
Superoxide dismutase. An enzymic function for erythrocuprein (hemocuprein).超氧化物歧化酶。红细胞铜蛋白(血铜蛋白)的酶功能。
J Biol Chem. 1969 Nov 25;244(22):6049-55.
6
Mechanism of hydrogen formation in Trichomonas foetus.胎儿三毛滴虫中氢气形成的机制。
J Gen Microbiol. 1971 Sep;68(1):27-33. doi: 10.1099/00221287-68-1-27.
7
Methods for determining 2-6-diaminopimelic acid and 2-aminoethylphosphonic acid in gut contents.测定肠道内容物中2-6-二氨基庚二酸和2-氨基乙基膦酸的方法。
J Sci Food Agric. 1974 Jan;25(1):45-55. doi: 10.1002/jsfa.2740250106.
8
Hydrogenosome, a cytoplasmic organelle of the anaerobic flagellate Tritrichomonas foetus, and its role in pyruvate metabolism.氢化酶体,一种厌氧鞭毛虫胎儿三毛滴虫的细胞质细胞器,及其在丙酮酸代谢中的作用。
J Biol Chem. 1973 Nov 25;248(22):7724-8.
9
Tissue fractionation studies. 17. Intracellular distribution of monoamine oxidase, aspartate aminotransferase, alanine aminotransferase, D-amino acid oxidase and catalase in rat-liver tissue.组织分级分离研究。17. 大鼠肝脏组织中单胺氧化酶、天冬氨酸转氨酶、丙氨酸转氨酶、D-氨基酸氧化酶和过氧化氢酶的细胞内分布。
Biochem J. 1964 Jul;92(1):179-84. doi: 10.1042/bj0920179.
10
Biochemical cytology of trichomonad flagellates. II. Subcellular distribution of oxidoreductases and hydrolases in Monocercomonas sp.
J Protozool. 1974 May;21(2):374-8. doi: 10.1111/j.1550-7408.1974.tb03673.x.