Suppr超能文献

硬膜下血肿与分流器功能障碍

Subdural haematoma and the malfunctioning shunt.

作者信息

Moussa A H, Sharma S K

出版信息

J Neurol Neurosurg Psychiatry. 1978 Aug;41(8):759-61. doi: 10.1136/jnnp.41.8.759.

Abstract

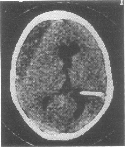
Of 30 consecutive children with hydrocephalus treated by shunt implant, six developed subdural haematoma. Four of them presented with a malfunctioning shunt, and the diagnoses in all six cases were made by CT scan.

摘要

在连续接受分流植入治疗的30例脑积水患儿中,6例发生了硬膜下血肿。其中4例出现分流装置故障,所有6例的诊断均通过CT扫描做出。

https://cdn.ncbi.nlm.nih.gov/pmc/blobs/6400/1083394/3dd56f4273ee/jnnpsyc00146-0084-a.jpg

文献检索

告别复杂PubMed语法,用中文像聊天一样搜索,搜遍4000万医学文献。AI智能推荐,让科研检索更轻松。

立即免费搜索

文件翻译

保留排版,准确专业,支持PDF/Word/PPT等文件格式,支持 12+语言互译。

免费翻译文档

深度研究

AI帮你快速写综述,25分钟生成高质量综述,智能提取关键信息,辅助科研写作。

立即免费体验