Suppr超能文献

甲状旁腺嗜酸性细胞腺瘤的功能研究。超微结构与生化研究。

Functioning oxyphil adenoma of parathyroid gland. An ultrastructural and biochemical study.

作者信息

McGregor D H, Lotuaco L G, Rao M S, Chu L L

出版信息

Am J Pathol. 1978 Sep;92(3):691-711.

Abstract

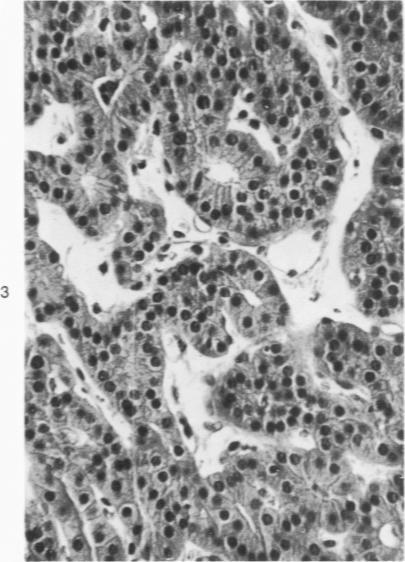
Oxyphil cells and oxyphil cell adenomas of parathyroid glands are, in most instances, regarded to be nonfunctioning. Although 21 cases of hyperparathyroidism associated with parathyroid oxyphil cell adenoma have been reported, secretion of hormone by these tumors has not been conclusively demonstrated. A parathyroid adenoma, diagnosed by light microscopy as oxyphil type, together with the results from ultrastructural and biochemical studies of the patient's adenomatous tissue, are reported here. The patient, a 64-year-old male, was found to have elevated serum calcium, low serum phosphorus, and elevated serum immunoreactive parathormone: findings consistent with hyperparathyroidism. After excision of two small normal-appearing glands and one greatly enlarged (1.9 g) parathyroid gland, those laboratory values returned to normal. Light microscopy of the enlarged parathyroid indicated that it consisted almost entirely of an oxyphil adenoma. Electron microscopy revealed that the adenoma was composed mainly of mitochondria-rich oxyphil cells but also of interspersed transitional oxyphil cells and rare scattered chief cells. Golgi zones, rough endoplasmic reticulum, and prosecretory and secretory-like granules were observed in some oxyphil cells, in most transitional oxyphil cells, and in the infrequent chief cells. Thus, many of these cells appear to contribute to the production and secretion of parathormone. Biochemical studies performed directly on the adenomatous tissue demonstrated that it was able to synthesize proparathormone and parathormone, although the proportion of hormonal peptide synthesis relative to that of the total protein synthesis in this tissue was much smaller (0.9%) than that found in normal parathyroid tissue (5.7%). There was a small increase in immunoreactive parathormone when the adenoma tissue was incubated in a low-calcium medium. These findings indicate that this oxyphil adenoma of the parathyroid gland synthesized and secreted parathormone, apparently to some extent autonomously, but suggest that its capacity to do so was largely dependent on its component of cells other than fully developed oxyphil cells, such as transitional oxyphil cells.

摘要

甲状旁腺嗜酸性细胞及嗜酸性细胞腺瘤在大多数情况下被认为是无功能的。尽管已有21例甲状旁腺嗜酸性细胞腺瘤伴发甲状旁腺功能亢进的病例报道,但这些肿瘤分泌激素的情况尚未得到确凿证实。本文报告了一例经光镜诊断为嗜酸性型的甲状旁腺腺瘤,以及对该患者腺瘤组织进行的超微结构和生化研究结果。患者为64岁男性,血清钙升高、血清磷降低、血清免疫反应性甲状旁腺激素升高,这些发现与甲状旁腺功能亢进相符。切除两个外观正常的小腺体和一个明显增大(1.9克)的甲状旁腺后,这些实验室值恢复正常。对增大的甲状旁腺进行光镜检查显示,其几乎完全由嗜酸性腺瘤组成。电子显微镜检查发现,腺瘤主要由富含线粒体的嗜酸性细胞组成,但也有散在的过渡性嗜酸性细胞和罕见的散在主细胞。在一些嗜酸性细胞、大多数过渡性嗜酸性细胞以及罕见的主细胞中观察到了高尔基体区、粗面内质网以及前分泌和分泌样颗粒。因此,这些细胞中的许多似乎都参与了甲状旁腺激素的产生和分泌。对腺瘤组织直接进行的生化研究表明,它能够合成前甲状旁腺激素和甲状旁腺激素,尽管该组织中激素肽合成相对于总蛋白合成的比例(0.9%)远低于正常甲状旁腺组织(5.7%)。当腺瘤组织在低钙培养基中孵育时,免疫反应性甲状旁腺激素略有增加。这些发现表明,该甲状旁腺嗜酸性腺瘤合成并分泌甲状旁腺激素,显然在一定程度上是自主进行的,但也表明其这样做的能力在很大程度上依赖于除完全发育的嗜酸性细胞之外的其他细胞成分,如过渡性嗜酸性细胞。

https://cdn.ncbi.nlm.nih.gov/pmc/blobs/8bc1/2018274/830bfd8d7075/amjpathol00737-0137-a.jpg

文献检索

告别复杂PubMed语法,用中文像聊天一样搜索,搜遍4000万医学文献。AI智能推荐,让科研检索更轻松。

立即免费搜索

文件翻译

保留排版,准确专业,支持PDF/Word/PPT等文件格式,支持 12+语言互译。

免费翻译文档

深度研究

AI帮你快速写综述,25分钟生成高质量综述,智能提取关键信息,辅助科研写作。

立即免费体验