• 文献检索
  • 文档翻译
  • 深度研究
  • 学术资讯
  • Suppr Zotero 插件Zotero 插件
  • 邀请有礼
  • 套餐&价格
  • 历史记录
应用&插件
Suppr Zotero 插件Zotero 插件浏览器插件Mac 客户端Windows 客户端微信小程序
定价
高级版会员购买积分包购买API积分包
服务
文献检索文档翻译深度研究API 文档MCP 服务
关于我们
关于 Suppr公司介绍联系我们用户协议隐私条款
关注我们

Suppr 超能文献

核心技术专利:CN118964589B侵权必究
粤ICP备2023148730 号-1Suppr @ 2026

文献检索

告别复杂PubMed语法,用中文像聊天一样搜索,搜遍4000万医学文献。AI智能推荐,让科研检索更轻松。

立即免费搜索

文件翻译

保留排版,准确专业,支持PDF/Word/PPT等文件格式,支持 12+语言互译。

免费翻译文档

深度研究

AI帮你快速写综述,25分钟生成高质量综述,智能提取关键信息,辅助科研写作。

立即免费体验

伴有嗜酸性滑膜浸润的反应性关节炎。

Reactive arthritis with eosinophilic synovial infiltration.

作者信息

Bissonnette B, Beaudet F

出版信息

Ann Rheum Dis. 1983 Aug;42(4):466-8. doi: 10.1136/ard.42.4.466.

DOI:10.1136/ard.42.4.466
PMID:6882044
原文链接:https://pmc.ncbi.nlm.nih.gov/articles/PMC1001266/
Abstract

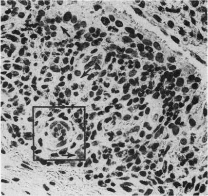
A 17-year-old Cambodian-born female was recently evaluated for subacute seronegative arthritis involving both ankles and the right midfoot. Suboptimal response to a nonsteroidal anti-inflammatory drug prompted open synovial biopsy, which showed intensive eosinophilic infiltration of the synovial structures. Slight peripheral eosinophilia had been found before her admission to hospital, and Ankylostoma duodenale was isolated. Antiparasitic treatment offered little more relief. She was also found out to be a carrier of the histocompatibility antigen HLA B27, and it may be that despite unusual histological findings she had a B27-related reactive type of arthropathy. The relation to the parasitic infestation remains speculative.

摘要

一名17岁出生于柬埔寨的女性最近因累及双踝和右中足的亚急性血清阴性关节炎接受评估。对非甾体抗炎药反应欠佳促使进行开放性滑膜活检,结果显示滑膜结构有密集的嗜酸性粒细胞浸润。入院前发现有轻度外周血嗜酸性粒细胞增多,并分离出十二指肠钩口线虫。抗寄生虫治疗几乎没有带来更多缓解。还发现她是组织相容性抗原HLA B27携带者,尽管组织学检查结果不寻常,但她可能患有一种与B27相关的反应性关节病。与寄生虫感染的关系仍属推测。

https://cdn.ncbi.nlm.nih.gov/pmc/blobs/e483/1001266/55ec7ed69f48/annrheumd00246-0129-c.jpg
https://cdn.ncbi.nlm.nih.gov/pmc/blobs/e483/1001266/38c077a93b19/annrheumd00246-0129-a.jpg
https://cdn.ncbi.nlm.nih.gov/pmc/blobs/e483/1001266/80442deefb3a/annrheumd00246-0129-b.jpg
https://cdn.ncbi.nlm.nih.gov/pmc/blobs/e483/1001266/55ec7ed69f48/annrheumd00246-0129-c.jpg
https://cdn.ncbi.nlm.nih.gov/pmc/blobs/e483/1001266/38c077a93b19/annrheumd00246-0129-a.jpg
https://cdn.ncbi.nlm.nih.gov/pmc/blobs/e483/1001266/80442deefb3a/annrheumd00246-0129-b.jpg
https://cdn.ncbi.nlm.nih.gov/pmc/blobs/e483/1001266/55ec7ed69f48/annrheumd00246-0129-c.jpg

相似文献

1
Reactive arthritis with eosinophilic synovial infiltration.伴有嗜酸性滑膜浸润的反应性关节炎。
Ann Rheum Dis. 1983 Aug;42(4):466-8. doi: 10.1136/ard.42.4.466.
2
Eosinophilic fasciitis with porphyria cutanea tarda and progressive destructive arthritis.伴有迟发性皮肤卟啉症和进行性破坏性关节炎的嗜酸性筋膜炎
J Rheumatol. 1989 Mar;16(3):390-3.
3
Eosinophilic transient synovitis.嗜酸性粒细胞性短暂滑膜炎
Ann Rheum Dis. 1983 Aug;42(4):462-5. doi: 10.1136/ard.42.4.462.
4
Destructive arthritis of the wrist and palmoplantar pustulosis.腕关节破坏性关节炎和掌跖脓疱病
Clin Exp Rheumatol. 1994 May-Jun;12(3):305-8.
5
Phenotypic characterization of synovial tissue cells in situ in different types of synovitis.不同类型滑膜炎中滑膜组织细胞的原位表型特征
Arthritis Rheum. 1983 Nov;26(11):1321-32. doi: 10.1002/art.1780261104.
6
Eosinophilic fasciitis with erosive arthritis.嗜酸性筋膜炎伴侵蚀性关节炎
Clin Exp Dermatol. 1982 Sep;7(5):469-76. doi: 10.1111/j.1365-2230.1982.tb02462.x.
7
The diagnostic value of synovial biopsy in patients with arthritis of unknown cause.滑膜活检在不明原因关节炎患者中的诊断价值。
Br J Rheumatol. 1985 Aug;24(3):232-41. doi: 10.1093/rheumatology/24.3.232.
8
[Eosinophilic arthritis and general review of the significance of articular eosinophilia].[嗜酸性粒细胞性关节炎及关节嗜酸性粒细胞增多意义的综述]
Rev Rhum Mal Osteoartic. 1983 Oct;50(10):659-64.
9
New Proteins Contributing to Immune Cell Infiltration and Pannus Formation of Synovial Membrane from Arthritis Diseases.关节炎滑膜中促进免疫细胞浸润和血管翳形成的新蛋白。
Int J Mol Sci. 2021 Dec 31;23(1):434. doi: 10.3390/ijms23010434.
10
Severe erosive arthropathy requiring surgical treatments in systemic lupus erythematosus.系统性红斑狼疮中需要手术治疗的严重侵蚀性关节病。
Mod Rheumatol. 2009;19(4):431-6. doi: 10.1007/s10165-009-0171-3. Epub 2009 Apr 14.

引用本文的文献

1
Membranous nephropathy associated with thrombospondin type-1 domain-containing 7A (THSD7A) in an adult woman with eosinophilia.一名成年女性伴嗜酸性粒细胞增多的血栓反应蛋白型 1 结构域包含 7A(THSD7A)相关膜性肾病。
CEN Case Rep. 2020 Feb;9(1):65-73. doi: 10.1007/s13730-019-00430-3. Epub 2019 Nov 8.

本文引用的文献

1
Reactive arthritis induced by parasitic infestation.
Ann Intern Med. 1981 Feb;94(2):207-9. doi: 10.7326/0003-4819-94-2-207.
2
A hypereosinophilic syndrome mimicking rheumatoid arthritis.一种酷似类风湿关节炎的嗜酸性粒细胞增多综合征。
Am J Med. 1980 Nov;69(5):799-802. doi: 10.1016/0002-9343(80)90456-8.
3
Synovial fluid eosinophilia.滑液嗜酸性粒细胞增多。
Arthritis Rheum. 1980 Sep;23(9):1060-1. doi: 10.1002/art.1780230916.
4
Rheumatoid arthritis associated with eosinophilia.类风湿关节炎伴嗜酸性粒细胞增多症。
Ann Intern Med. 1971 Aug;75(2):199-205. doi: 10.7326/0003-4819-75-2-199.
5
Significance of eosinophilia during gold therapy.
Arthritis Rheum. 1974 Nov-Dec;17(6):964-8. doi: 10.1002/art.1780170607.
6
Observations on the eosinophilia of certain patients with rheumatoid arthritis.关于某些类风湿性关节炎患者嗜酸性粒细胞增多症的观察
Arthritis Rheum. 1971 Sep-Oct;14(5):650-65. doi: 10.1002/art.1780140513.
7
Metastatic adenocarcinoma of synovium presenting as an acute arthritis. Diagnosis by closed synovial biopsy.
Arthritis Rheum. 1975 Mar-Apr;18(2):107-10. doi: 10.1002/art.1780180202.
8
[Letter: Rheumatism in anguilluliasis. Joint manifestations and anguilluliasis].[信件:鳗鲡病中的风湿病。关节表现与鳗鲡病]
Nouv Presse Med. 1975 Mar 15;4(11):805 (2).
9
HLA-antigen b27 in cases with joint affections in an outbreak of salmonellosis.沙门氏菌病暴发中伴有关节病变病例的HLA抗原b27
Scand J Infect Dis. 1976;8(4):245-8. doi: 10.3109/inf.1976.8.issue-4.05.
10
Reactive arthritis.
Bull Rheum Dis. 1978;29(9):1002-5.