Suppr超能文献

可与人乳腺癌细胞发生反应的人单克隆抗体的产生。

Generation of human monoclonal antibodies reactive with human mammary carcinoma cells.

作者信息

Schlom J, Wunderlich D, Teramoto Y A

出版信息

Proc Natl Acad Sci U S A. 1980 Nov;77(11):6841-5. doi: 10.1073/pnas.77.11.6841.

Abstract

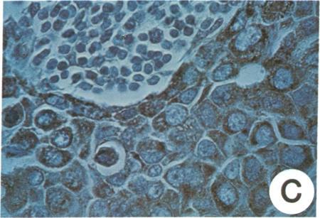
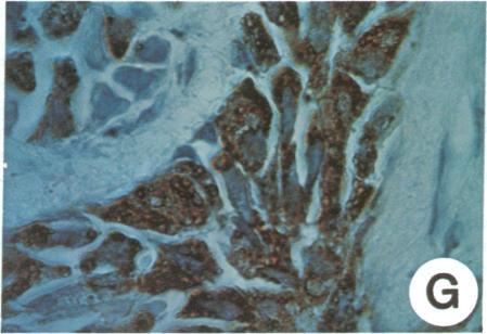
Lymphocytes from lymph nodes obtained at mastectomy in breast cancer patients have been fused with murine nonproducer myeloma cells to obtain human-mouse hybridoma cultures that synthesize human monoclonal antibodies. To date, 52 hybridoma cultures synthesizing either human IgG or human IgM have been obtained from lymph nodes of 13 patients. Ig production was stable in many of these cloned cultures through 60-200 days of observation. Levels of human Ig synthesis ranged from 0.1 to 20 microgram/ml of supernatant fluid. The immunological reactivities of the human Igs were assayed on tissue sections by using the immunoperoxidase technique. Several of the human monoclonal antibodies demonstrated preferential binding to human mammary tumor cells. One human IgM monoclonal antibody was used to discriminate between mammary carcinoma cells (from 55 of 59 patients) and normal mammary epithelial cells, stroma, or lymphocytes of the same breast. Decreased binding to some of the benign breast tumors tested and to selected non-breast adenocarcinomas was also observed. This same human monoclonal antibody, however, reacted significantly with metastatic mammary carcinoma cells in lymph nodes of breast cancer patients, with no binding to normal lymphocytes or to stroma of the same node. These studies demonstrate that stable clones of human-mouse hybridomas can be generated by using lymph nodes of mastectomy patients and that clones can be selected which synthesize human monoclonal antibodies reactive with human mammary carcinoma cells.

摘要

已将乳腺癌患者乳房切除术中获取的淋巴结中的淋巴细胞与小鼠非分泌型骨髓瘤细胞融合,以获得能合成人单克隆抗体的人-鼠杂交瘤培养物。迄今为止,已从13名患者的淋巴结中获得了52种合成人IgG或人IgM的杂交瘤培养物。在60至200天的观察期内,许多这些克隆培养物中的Ig产生稳定。人Ig合成水平范围为每毫升上清液0.1至20微克。通过免疫过氧化物酶技术在组织切片上测定了人Ig的免疫反应性。几种人单克隆抗体显示出对人乳腺肿瘤细胞的优先结合。一种人IgM单克隆抗体用于区分乳腺癌细胞(59例患者中的55例)与同一乳房的正常乳腺上皮细胞、基质或淋巴细胞。还观察到对一些测试的良性乳腺肿瘤和选定的非乳腺腺癌的结合减少。然而,同一种人单克隆抗体与乳腺癌患者淋巴结中的转移性乳腺癌细胞有显著反应,与同一淋巴结中的正常淋巴细胞或基质无结合。这些研究表明,利用乳房切除患者的淋巴结可以产生稳定的人-鼠杂交瘤克隆,并且可以选择出能合成与人乳腺癌细胞反应的人单克隆抗体的克隆。

https://cdn.ncbi.nlm.nih.gov/pmc/blobs/710a/350386/44a6e0cb5047/pnas00498-0596-a.jpg

文献检索

告别复杂PubMed语法,用中文像聊天一样搜索,搜遍4000万医学文献。AI智能推荐,让科研检索更轻松。

立即免费搜索

文件翻译

保留排版,准确专业,支持PDF/Word/PPT等文件格式,支持 12+语言互译。

免费翻译文档

深度研究

AI帮你快速写综述,25分钟生成高质量综述,智能提取关键信息,辅助科研写作。

立即免费体验