Suppr超能文献

犬胰腺腺泡细胞癌的超微结构研究。

An ultrastructural study of acinic cell carcinomas of the canine pancreas.

作者信息

Banner B F, Alroy J, Pauli B U, Carpenter J L

出版信息

Am J Pathol. 1978 Oct;93(1):165-82.

Abstract

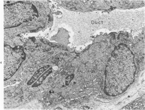
Four cases of spontaneous adenocarcinoma of the canine exocrine pancreas were studied by thin section and freeze-fracture electron microscopy. The neoplastic cells in all 4 cases were of acinar origin and showed many alterations of cytoarchitecture compared with normal acinar cells. In the neoplastic cells, zymogen granules varied in number and appearance and contained an abnormal secretory product characterized by 24-nm-thick microtubules. The nuclear volume and surface area and the nuclear cytoplasmic ratio were increased; although the nuclear pore density per nuclear surface area was significantly decreased, there was no change in the nuclear pore density per nuclear volume. There was a decrease in number and size of gap junctions; focal proliferation, fragmentation, and discontinuation of the tight junctions were also noted. The basal lamina (BL) of the neoplastic cells was discontinuous. The tumor microvasculature often appeared as sinusoids and had sparse discontinuous BL. Finally, the endothelium in both tumor and normal tissue contained "tubulo-reticular inclusions" (TRI) which simulated distemper virus and were located in the rough endoplasmic reticulum (RER) and the perinuclear cisternae.

摘要

通过超薄切片和冷冻蚀刻电子显微镜对4例犬外分泌胰腺自发性腺癌进行了研究。所有4例肿瘤细胞均起源于腺泡,与正常腺泡细胞相比,细胞结构有许多改变。肿瘤细胞中,酶原颗粒数量和外观各异,含有以24纳米厚微管为特征的异常分泌产物。细胞核体积、表面积和核质比增加;尽管每核表面积的核孔密度显著降低,但每核体积的核孔密度没有变化。缝隙连接的数量和大小减少;紧密连接也有局灶性增殖、断裂和中断。肿瘤细胞的基膜(BL)不连续。肿瘤微血管常呈血窦状,基膜稀疏且不连续。最后,肿瘤组织和正常组织中的内皮细胞均含有“管状网状包涵体”(TRI),其类似犬瘟热病毒,位于粗面内质网(RER)和核周池。

https://cdn.ncbi.nlm.nih.gov/pmc/blobs/c10f/2018336/73808093a9e3/amjpathol00732-0185-a.jpg

文献检索

告别复杂PubMed语法,用中文像聊天一样搜索,搜遍4000万医学文献。AI智能推荐,让科研检索更轻松。

立即免费搜索

文件翻译

保留排版,准确专业,支持PDF/Word/PPT等文件格式,支持 12+语言互译。

免费翻译文档

深度研究

AI帮你快速写综述,25分钟生成高质量综述,智能提取关键信息,辅助科研写作。

立即免费体验