• 文献检索
  • 文档翻译
  • 深度研究
  • 学术资讯
  • Suppr Zotero 插件Zotero 插件
  • 邀请有礼
  • 套餐&价格
  • 历史记录
应用&插件
Suppr Zotero 插件Zotero 插件浏览器插件Mac 客户端Windows 客户端微信小程序
定价
高级版会员购买积分包购买API积分包
服务
文献检索文档翻译深度研究API 文档MCP 服务
关于我们
关于 Suppr公司介绍联系我们用户协议隐私条款
关注我们

Suppr 超能文献

核心技术专利:CN118964589B侵权必究
粤ICP备2023148730 号-1Suppr @ 2026

文献检索

告别复杂PubMed语法,用中文像聊天一样搜索,搜遍4000万医学文献。AI智能推荐,让科研检索更轻松。

立即免费搜索

文件翻译

保留排版,准确专业,支持PDF/Word/PPT等文件格式,支持 12+语言互译。

免费翻译文档

深度研究

AI帮你快速写综述,25分钟生成高质量综述,智能提取关键信息,辅助科研写作。

立即免费体验

组织中纤维蛋白降解产物的免疫酶组织化学定位

Immunoenzyme histochemical localization of fibrin degradation products in tissues.

作者信息

Emeis J J, Lindeman J, Nieuwenhuizen W

出版信息

Am J Pathol. 1981 Jun;103(3):337-44.

PMID:7015871
原文链接:https://pmc.ncbi.nlm.nih.gov/articles/PMC1903852/
Abstract

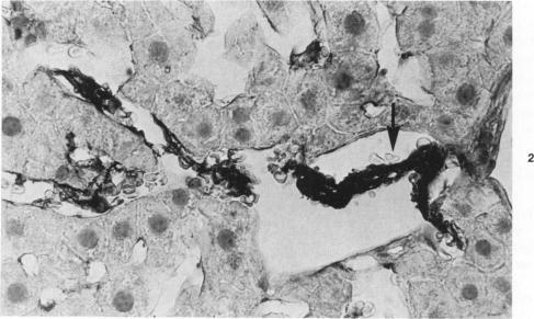
An immunoenzyme histochemical study was conducted to localize fibrin degradation products (FDPs) in rat tissues during disseminated intravascular coagulation (DIC). Serial measurements of FDP levels in serum after thrombin-induced DIC showed peak levels to be found at 30 minutes; the FDPs were rapidly cleared from the circulation (half-life about one hour). Rat tissues obtained from 10 minutes to 3 hours after the induction of DIC were studied by means of immunohistochemistry. A method was developed to differentiate FDPs from fibrin in tissue sections. This method is based on the observation that, in paraplast-embedded tissues, FDPs can be demonstrated following ethanol fixation only, and that fibrin is demonstrable after both paraformaldehyde fixation and ethanol fixation. Moreover, FDPs will react to some of the antiserums employed only, while fibrin will react to all antiserum used (antiserums against fibrin monomer, against the constituent chains of fibrinogen, and against FDP-D and -E). At 10-20 minutes after the induction of DIC, FDPs were found in kidney proximal tubule epithelial cells. These FDPs could be demonstrated using antiserum against the constituent chains of fibrinogen, but not by antiserums against FDP-D or -E. At 30-90 minutes, FDPs were found inside liver macrophages. The FDPs in liver did not react to anti-chain antiserums, though they did react to antiserums against FDP-D and -E. Since no FDPs were found in other tissues, rat FDPs are apparently cleared by kidney (earlier phase) and liver (later phase) only. In human cases of DIC, FDPs, could be demonstrated in kidney proximal tubules cells and in liver macrophages as well.

摘要

进行了一项免疫酶组织化学研究,以在大鼠弥散性血管内凝血(DIC)过程中定位纤维蛋白降解产物(FDPs)在大鼠组织中的位置。凝血酶诱导DIC后,对血清中FDP水平进行连续测量,结果显示在30分钟时达到峰值水平;FDPs迅速从循环中清除(半衰期约为1小时)。通过免疫组织化学方法研究了DIC诱导后10分钟至3小时获取的大鼠组织。开发了一种方法来区分组织切片中的FDPs和纤维蛋白。该方法基于以下观察结果:在石蜡包埋的组织中,仅在乙醇固定后才能显示FDPs,而在多聚甲醛固定和乙醇固定后均可显示纤维蛋白。此外,FDPs仅对某些使用的抗血清有反应,而纤维蛋白对所有使用的抗血清(抗纤维蛋白单体、抗纤维蛋白原组成链以及抗FDP-D和-E)均有反应。在DIC诱导后10 - 20分钟,在肾近端小管上皮细胞中发现了FDPs。这些FDPs可用抗纤维蛋白原组成链的抗血清显示,但不能用抗FDP-D或-E的抗血清显示。在30 - 90分钟时,在肝巨噬细胞内发现了FDPs。肝脏中的FDPs虽对抗链抗血清无反应,但对抗FDP-D和-E的抗血清有反应。由于在其他组织中未发现FDPs,大鼠的FDPs显然仅由肾脏(早期阶段)和肝脏(后期阶段)清除。在人类DIC病例中,也可在肾近端小管细胞和肝巨噬细胞中显示出FDPs。

https://cdn.ncbi.nlm.nih.gov/pmc/blobs/81f7/1903852/873d89022c94/amjpathol00219-0011-b.jpg
https://cdn.ncbi.nlm.nih.gov/pmc/blobs/81f7/1903852/c44dab88fa44/amjpathol00219-0007-a.jpg
https://cdn.ncbi.nlm.nih.gov/pmc/blobs/81f7/1903852/255b6ac7673b/amjpathol00219-0007-b.jpg
https://cdn.ncbi.nlm.nih.gov/pmc/blobs/81f7/1903852/160cb8140228/amjpathol00219-0009-a.jpg
https://cdn.ncbi.nlm.nih.gov/pmc/blobs/81f7/1903852/4b3bd2172c0c/amjpathol00219-0009-b.jpg
https://cdn.ncbi.nlm.nih.gov/pmc/blobs/81f7/1903852/b886f4220c0b/amjpathol00219-0010-a.jpg
https://cdn.ncbi.nlm.nih.gov/pmc/blobs/81f7/1903852/9bc036ace97a/amjpathol00219-0010-b.jpg
https://cdn.ncbi.nlm.nih.gov/pmc/blobs/81f7/1903852/2014ff78ca38/amjpathol00219-0011-a.jpg
https://cdn.ncbi.nlm.nih.gov/pmc/blobs/81f7/1903852/873d89022c94/amjpathol00219-0011-b.jpg
https://cdn.ncbi.nlm.nih.gov/pmc/blobs/81f7/1903852/c44dab88fa44/amjpathol00219-0007-a.jpg
https://cdn.ncbi.nlm.nih.gov/pmc/blobs/81f7/1903852/255b6ac7673b/amjpathol00219-0007-b.jpg
https://cdn.ncbi.nlm.nih.gov/pmc/blobs/81f7/1903852/160cb8140228/amjpathol00219-0009-a.jpg
https://cdn.ncbi.nlm.nih.gov/pmc/blobs/81f7/1903852/4b3bd2172c0c/amjpathol00219-0009-b.jpg
https://cdn.ncbi.nlm.nih.gov/pmc/blobs/81f7/1903852/b886f4220c0b/amjpathol00219-0010-a.jpg
https://cdn.ncbi.nlm.nih.gov/pmc/blobs/81f7/1903852/9bc036ace97a/amjpathol00219-0010-b.jpg
https://cdn.ncbi.nlm.nih.gov/pmc/blobs/81f7/1903852/2014ff78ca38/amjpathol00219-0011-a.jpg
https://cdn.ncbi.nlm.nih.gov/pmc/blobs/81f7/1903852/873d89022c94/amjpathol00219-0011-b.jpg

相似文献

1
Immunoenzyme histochemical localization of fibrin degradation products in tissues.组织中纤维蛋白降解产物的免疫酶组织化学定位
Am J Pathol. 1981 Jun;103(3):337-44.
2
Disseminated intravascular coagulation (DIC). Immunohistochemical study of fibrin-related materials (FRMs) in renal tissues.
Acta Pathol Jpn. 1987 Jan;37(1):77-84.
3
[A novel molecular marker for thrombus formation and life prognosis--clinical usefulness of measurement of soluble fibrin monomer-fibrinogen complex (SF)].一种用于血栓形成和生命预后的新型分子标志物——可溶性纤维蛋白单体-纤维蛋白原复合物(SF)测定的临床应用价值
Rinsho Byori. 2004 Apr;52(4):355-61.
4
[Measurement of FDP-D-dimer in DIC and pre-DIC].[弥散性血管内凝血及弥散性血管内凝血前期中纤维蛋白降解产物-D-二聚体的测定]
Rinsho Byori. 1990 Jul;38(7):806-12.
5
[Clinical evaluation of a test for plasma fibrin/fibrinogen degradation products (FDP) based on monoclonal anti-FDP antibody technology: an application for the scoring system of the disseminated intravascular coagulation (DIC) diagnostic criteria].基于单克隆抗纤维蛋白/纤维蛋白原降解产物(FDP)抗体技术的血浆FDP检测的临床评估:在弥散性血管内凝血(DIC)诊断标准评分系统中的应用
Rinsho Byori. 2003 Apr;51(4):295-9.
6
Prototype quantitative assay for fibrinogen/fibrin degradation products. Clinical evaluation.纤维蛋白原/纤维蛋白降解产物的定量分析原型。临床评估。
Arch Intern Med. 1987 Oct;147(10):1790-3.
7
Thrombocytopenia in the experimental leptospirosis of guinea pig is not related to disseminated intravascular coagulation.豚鼠实验性钩端螺旋体病中的血小板减少与弥散性血管内凝血无关。
BMC Infect Dis. 2006 Feb 2;6:19. doi: 10.1186/1471-2334-6-19.
8
[Analysis of cross-linked fibrin and fibrinogen degradation products with SDS-PAGE and immunoblot].
Rinsho Byori. 1990 Feb;38(2):201-7.
9
[Studies on the fragments of FDP in 3 patients with DIC associated with acute promyelocytic leukemia].[3例急性早幼粒细胞白血病合并弥散性血管内凝血患者FDP片段的研究]
Rinsho Byori. 1993 Jun;41(6):719-25.
10
A quantitative enzyme immunoassay for primary fibrinogenolysis products in plasma.血浆中原发性纤维蛋白溶解产物的定量酶免疫测定法。
Thromb Haemost. 1987 Feb 3;57(1):25-8.

引用本文的文献

1
Reduced microvascular thrombosis and improved outcome in acute murine stroke by inhibiting GP IIb/IIIa receptor-mediated platelet aggregation.通过抑制GP IIb/IIIa受体介导的血小板聚集减少急性小鼠中风中的微血管血栓形成并改善预后。
J Clin Invest. 1998 Oct 1;102(7):1301-10. doi: 10.1172/JCI3338.
2
Coordinated induction of plasminogen activator inhibitor-1 (PAI-1) and inhibition of plasminogen activator gene expression by hypoxia promotes pulmonary vascular fibrin deposition.缺氧协同诱导纤溶酶原激活物抑制剂-1(PAI-1)并抑制纤溶酶原激活物基因表达,从而促进肺血管纤维蛋白沉积。
J Clin Invest. 1998 Sep 1;102(5):919-28. doi: 10.1172/JCI307.
3

本文引用的文献

1
Quantiative determination of intravascular coagulation in the lungs of experimental animals.
Scand J Haematol. 1969;6(3):205-15. doi: 10.1111/j.1600-0609.1969.tb01827.x.
2
A rapid, simple, sensitive method for measuring fibrinolytic split products in human serum.一种用于检测人血清中纤维蛋白溶解分裂产物的快速、简单、灵敏的方法。
Proc Soc Exp Biol Med. 1969 Jul;131(3):871-5. doi: 10.3181/00379727-131-33998.
3
Quantitative monitoring of intravascular coagulation and fibrinolysis in the lungs of rats.
Thromb Diath Haemorrh. 1972 Apr 30;27(2):241-5.
4
Monocytes and tissue factor promote thrombosis in a murine model of oxygen deprivation.
单核细胞和组织因子在缺氧小鼠模型中促进血栓形成。
J Clin Invest. 1997 Apr 1;99(7):1729-38. doi: 10.1172/JCI119337.
4
Ultrastructural study of the effects of tranexamic acid and urokinase on metastasis of Lewis lung carcinoma.氨甲环酸和尿激酶对Lewis肺癌转移影响的超微结构研究
Br J Cancer. 1982 Sep;46(3):428-35. doi: 10.1038/bjc.1982.220.
5
Macrophage metabolism of fibrin: role of fibronectin.
Surv Immunol Res. 1984;3(2-3):165-8. doi: 10.1007/BF02918785.
6
Histopathology of serial graft biopsies from liver transplant recipients.肝移植受者系列移植活检的组织病理学
Am J Pathol. 1984 Jan;114(1):18-31.
7
Adsorptive endocytosis of fibrin monomer by macrophages: evidence of a receptor for the amino terminus of the fibrin alpha chain.巨噬细胞对纤维蛋白单体的吸附性胞吞作用:纤维蛋白α链氨基末端受体的证据。
Proc Natl Acad Sci U S A. 1982 Aug;79(15):4565-9. doi: 10.1073/pnas.79.15.4565.
Clearance of coagulation and fibrinolysis products by the reticuloendothelial system.网状内皮系统对凝血和纤维蛋白溶解产物的清除。
Thromb Diath Haemorrh Suppl. 1969;36:83-97.
5
In vivo behavior of fibrinogen fragment D in experimental renal, hepatic and reticuloendothelial dysfunction.纤维蛋白原片段D在实验性肾、肝和网状内皮系统功能障碍中的体内行为。
Am J Pathol. 1973 May;71(2):219-38.
6
Quantitation of fibrin deposition and elimination in organs of rats injected with labelled fibrinogen and albumin.
Thromb Diath Haemorrh. 1973 Feb 28;29(1):94-107.
7
Effect of Trasylol on fibrin deposition and elimination in the lungs of rats with intravascular coagulation induced by thrombin or thromboplastin.抑肽酶对由凝血酶或凝血活酶诱导的血管内凝血大鼠肺中纤维蛋白沉积和清除的影响。
Thromb Res. 1974 Sep;5(3):263-76. doi: 10.1016/0049-3848(74)90166-2.
8
Studies in experimental animals on disseminated intravascular coagulation (DIC).关于弥散性血管内凝血(DIC)的实验动物研究。
Thromb Diath Haemorrh. 1975 Nov 15;34(2):513-21.
9
Rat liver macrophages will not phagocytose fibrin during disseminated intravascular coagulation.
Haemostasis. 1976;5(4):193-210. doi: 10.1159/000214135.
10
The roles of renal catabolism and uremia in modifying the clearance of fibrinogen and its degradative fragments D and E.肾脏分解代谢和尿毒症在改变纤维蛋白原及其降解片段D和E清除率中的作用。
J Lab Clin Med. 1976 Jun;87(6):934-46.