Suppr超能文献

钴对肝细胞色素P-450的降低作用。钴原卟啉作用的证据。

Decrease in hepatic cytochrome P-450 by cobalt. Evidence for a role of cobalt protoporphyrin.

作者信息

Sinclair J F, Sinclair P R, Healey J F, Smith E L, Bonkowsky H L

出版信息

Biochem J. 1982 Apr 15;204(1):103-9. doi: 10.1042/bj2040103.

Abstract

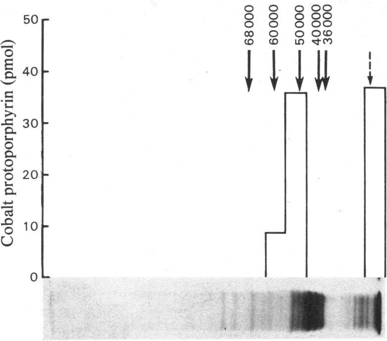
Exposure of cultured chick-embryo hepatocytes to increasing concentrations of CoCl2 in the presence of allylisopropylacetamide results in formation of cobalt protoporphyrin, with a reciprocal decrease in haem and cytochrome P-450. Treatment of rats with CoCl2 (84 mumol/kg) and 5-aminolaevulinate (0.2 mmol/kg) also results in formation of cobalt protoporphyrin and a decrease in cytochrome P-450 in the liver. Hepatic microsomal fractions from rats treated with phenobarbital, CoCl2 and 5-aminolaevulinate were analysed by polyacrylamide gel electrophoresis. Cobalt protoporphyrin was associated mainly with proteins of 50000-53000 mol.wt. The results suggest that the formation of cobalt protoporphyrin occurred at the expense of the synthesis of haem, leading to a decrease in cytochrome P-450. Furthermore, the cobalt protoporphyrin that was formed may itself have been incorporated into apocytochrome P-450.

摘要

在烯丙基异丙基乙酰胺存在的情况下,将培养的鸡胚肝细胞暴露于浓度不断增加的氯化钴中,会导致钴原卟啉的形成,同时血红素和细胞色素P - 450会相应减少。用氯化钴(84 μmol/kg)和5 - 氨基乙酰丙酸(0.2 mmol/kg)处理大鼠,也会导致钴原卟啉的形成以及肝脏中细胞色素P - 450的减少。通过聚丙烯酰胺凝胶电泳分析用苯巴比妥、氯化钴和5 - 氨基乙酰丙酸处理的大鼠的肝微粒体部分。钴原卟啉主要与分子量为50000 - 53000的蛋白质相关。结果表明,钴原卟啉的形成是以血红素的合成减少为代价的,导致细胞色素P - 450减少。此外,形成的钴原卟啉本身可能已被整合到脱辅基细胞色素P - 450中。

https://cdn.ncbi.nlm.nih.gov/pmc/blobs/8bcd/1158321/4aa44715c5c6/biochemj00375-0113-a.jpg

文献AI研究员

20分钟写一篇综述,助力文献阅读效率提升50倍。

立即体验

用中文搜PubMed

大模型驱动的PubMed中文搜索引擎

马上搜索

文档翻译

学术文献翻译模型,支持多种主流文档格式。

立即体验