Suppr超能文献

Innervation of the undifferentiated limb bud in rabbit embryo.

作者信息

Cameron J, McCredie J

出版信息

J Anat. 1982 Jun;134(Pt 4):795-808.

Abstract

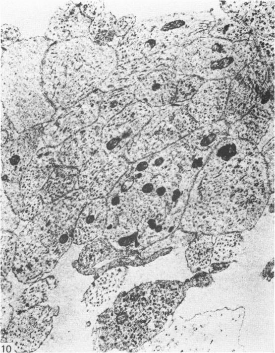
The concept that there are no nerves in the limb bud of mammalian embryos prior to differentiation has been re-examined. Rabbit embryos were collected at 260 and 290 hours gestation, which is prior to cartilage formation in the forelimb at 320 hours. Forelimb buds and adjacent neural tube were excised, fixed and embedded for light and electron microscopy. The limb buds were sectioned in two planes by serial 1 micrometer sections and inspected by light microscopy. Bundles of nerve fibres were seen within the proximal third of the limb bud, with distal ramification into adjacent zones of condensing mesenchyme. Electron microscopy confirmed the presence of axons and associated immature Schwann cells. These results demonstrate the existence of an anatomical framework through which a neurotrophic influence might be brought to bear upon mesenchyme prior to early differentiation.

摘要
https://cdn.ncbi.nlm.nih.gov/pmc/blobs/4f7b/1167871/ad784ed6941a/janat00220-0159-a.jpg

相似文献

4
Tissue patterning in the developing mouse limb.
Int J Dev Biol. 1990 Sep;34(3):323-36.
8
Basement membrane chondroitin sulfate proteoglycan and vascularization of the developing mammalian limb bud.
J Hand Surg Am. 2000 Jan;25(1):150-8. doi: 10.1053/jhsu.2000.jhsu025a0150.
10
Plasticity of proximal-distal cell fate in the mammalian limb bud.
Dev Biol. 2008 Jan 1;313(1):225-33. doi: 10.1016/j.ydbio.2007.10.039. Epub 2007 Nov 7.

引用本文的文献

2
Nerves in cancer.
Nat Rev Cancer. 2020 Mar;20(3):143-157. doi: 10.1038/s41568-019-0237-2. Epub 2020 Jan 23.
3
Thalidomide and neurotrophism.
Skeletal Radiol. 2019 Apr;48(4):517-525. doi: 10.1007/s00256-018-3086-2. Epub 2018 Oct 19.
4
The cephalopod arm crown: appendage formation and differentiation in the Hawaiian bobtail squid .
Front Zool. 2016 Sep 29;13:44. doi: 10.1186/s12983-016-0175-8. eCollection 2016.
5
First Neuromuscular Contact Correlates with Onset of Primary Myogenesis in Rat and Mouse Limb Muscles.
PLoS One. 2015 Jul 24;10(7):e0133811. doi: 10.1371/journal.pone.0133811. eCollection 2015.
6
Neurons refine the Caenorhabditis elegans body plan by directing axial patterning by Wnts.
PLoS Biol. 2013;11(1):e1001465. doi: 10.1371/journal.pbio.1001465. Epub 2013 Jan 8.
7
Nerves in bone: the silent partners.
Skeletal Radiol. 2007 Jun;36(6):473-5. doi: 10.1007/s00256-006-0253-7.
8
Thalidomide deformities and their nerve supply.
J Anat. 1984 Oct;139 ( Pt 3)(Pt 3):397-410.

本文引用的文献

2
Properties of dorsal root unmedullated fibers on the two sides of the ganglion.
J Gen Physiol. 1955 May 20;38(5):709-28. doi: 10.1085/jgp.38.5.709.
3
THE USE OF THALIDOMIDE AS TERATOGENIC AGENT IN RABBITS.
Bull Johns Hopkins Hosp. 1964 Sep;115:223-30.
4
[TOXIC AND TERATOGENIC EFFECTS OF THALIDOMIDE ON A RABBIT FETUS].
Schweiz Med Wochenschr. 1963 Nov 2;93:1559-62.
5
Thalidomide and congenital abnormalities.
Lancet. 1962 Apr 28;1(7235):912-3. doi: 10.1016/s0140-6736(62)91943-8.
6
Limb development in the absence of ectodermal ridge.
Nature. 1959 Nov 28;184(Suppl 22):1736-7. doi: 10.1038/1841736a0.
8
The thalidomide embryopathy in hybrid rabbits.
Br J Exp Pathol. 1967 Feb;48(1):107-17.

文献AI研究员

20分钟写一篇综述,助力文献阅读效率提升50倍。

立即体验

用中文搜PubMed

大模型驱动的PubMed中文搜索引擎

马上搜索

文档翻译

学术文献翻译模型,支持多种主流文档格式。

立即体验