Jamdar M N, Ema A N
J Anat. 1982 Aug;135(Pt 1):165-71.
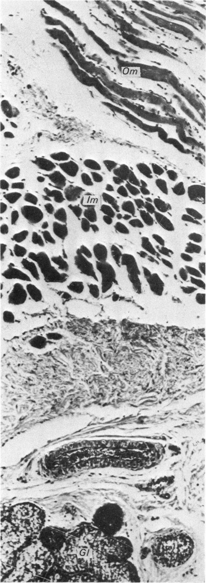
The histological structure of the oesophagus of the camel in different parts of its course was investigated with tissues from seven camels, and with haematoxylin and eosin and Masson's trichrome stain. Gross dissections confirmed the orientation of the muscle fibres in the tunica muscularis. The epithelium showed heavy cornification. Many submucosal mucous glands were found throughout the length and all round the wall of the oesophagus. This was contrary to what has been reported generally for ruminants. The lamina muscularis mucosae was in the form of small scattered strands of smooth muscle (more readily identifiable with trichrome stain) and only in the caudal oesophagus. It did not form a continuous layer here. The tunica muscularis was of striated type throughout which agreed with what has been found in the other ruminants. Its fibres, however, were differently oriented. The outer tunica was mainly circular (especially in the mid-thoracic part) and the inner one was mainly longitudinal in direction. Mixed orientation of the muscle fibres in parts of the same section was also noticed. These findings have not been reported previously in the camel.
利用7头骆驼的组织样本,采用苏木精-伊红染色和马松三色染色法,对骆驼食管不同部位的组织结构进行了研究。大体解剖证实了肌层中肌纤维的走向。上皮表现为重度角化。在食管全长及管壁周围均发现许多黏膜下黏液腺。这与反刍动物的一般报道相反。黏膜肌层呈散在的小束状平滑肌形式(用三色染色更容易识别),且仅存在于食管尾部。此处未形成连续层。肌层全层均为横纹肌类型,这与其他反刍动物的情况一致。然而,其纤维走向不同。外层主要为环形(尤其是在胸段中部),内层主要为纵向。在同一节段的部分区域也观察到了肌纤维的混合走向。这些发现此前在骆驼中尚未见报道。