Suppr超能文献

正常人体子宫颈内朗格汉斯细胞的超微结构与形态计量学研究

Ultrastructural and morphometric study of the Langerhans cell in the normal human exocervix.

作者信息

Figueroa C D, Caorsi I

出版信息

J Anat. 1980 Dec;131(Pt 4):669-82.

Abstract

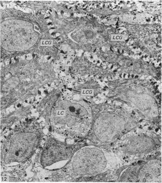
The gross morphology, density, distribution and ultrastructure of the Langerhans cell of the normal human exocervix were investigated. Two standardized zinc-iodide-osmium (ZIO) procedures were applied to epithelial sheets as well as to tissue samples processed for both light and electron microscopy. Conventional electron microscopical techniques were also used. The epithelial sheet preparation allowed the visualization of the whole profile of the Langerhans cell. It was found that the number of cell processes and the degree of their branching varied greatly from one cell to another. The cells were tentatively grouped into five types and it is suggested that they represent different degrees of cell activity. The cells appeared unevenly distributed, but with a preferential location around the external os. In the three cases studied the cell density averaged 8.3 LC/mm2. The ultrastructural study revealed the classical fine structure of the Langerhans cell. The cell processes and their branches contained all the organelles found in the perikaryon, including Golgi complexes and Langerhans cell granules. The two ZIO procedures revealed that the complex inner organization of the granule does not differ from that in the epidermal Langerhans cell. It is concluded that the Langerhans cell is a constant component of the normal human exocervix.

摘要

对正常人体子宫颈的朗格汉斯细胞的大体形态、密度、分布及超微结构进行了研究。两种标准化的碘化锌锇(ZIO)方法应用于上皮片以及经光镜和电镜处理的组织样本。还采用了传统的电子显微镜技术。上皮片制备使得朗格汉斯细胞的整体轮廓得以显现。发现细胞突起的数量及其分支程度在不同细胞之间差异很大。这些细胞初步分为五种类型,提示它们代表不同程度的细胞活性。细胞分布不均,但在外口周围有优先定位。在所研究的三个病例中,细胞密度平均为8.3个朗格汉斯细胞/mm²。超微结构研究揭示了朗格汉斯细胞的经典精细结构。细胞突起及其分支含有核周发现的所有细胞器,包括高尔基体和朗格汉斯细胞颗粒。两种ZIO方法显示颗粒的复杂内部结构与表皮朗格汉斯细胞的并无差异。结论是朗格汉斯细胞是正常人体子宫颈的一个恒定组成部分。

https://cdn.ncbi.nlm.nih.gov/pmc/blobs/c981/1233219/2afc277afab1/janat00232-0085-a.jpg

文献检索

告别复杂PubMed语法,用中文像聊天一样搜索,搜遍4000万医学文献。AI智能推荐,让科研检索更轻松。

立即免费搜索

文件翻译

保留排版,准确专业,支持PDF/Word/PPT等文件格式,支持 12+语言互译。

免费翻译文档

深度研究

AI帮你快速写综述,25分钟生成高质量综述,智能提取关键信息,辅助科研写作。

立即免费体验