Suppr超能文献

L-半胱氨酸对镉的肾脏摄取及肾毒性影响的形态学与生物化学研究

A morphological and biochemical study of the effects of L-cysteine on the renal uptake and nephrotoxicity of cadmium.

作者信息

Murakami M, Webb M

出版信息

Br J Exp Pathol. 1981 Apr;62(2):115-30.

Abstract

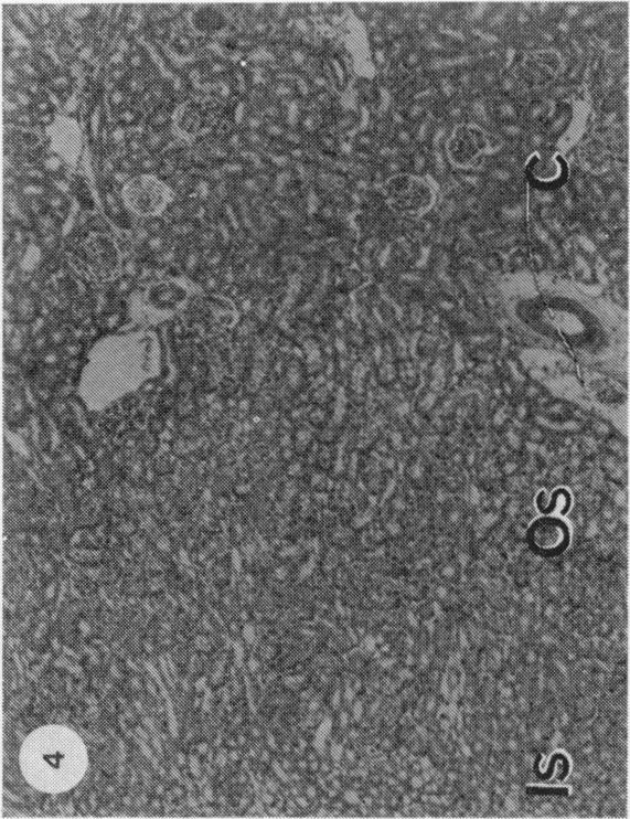
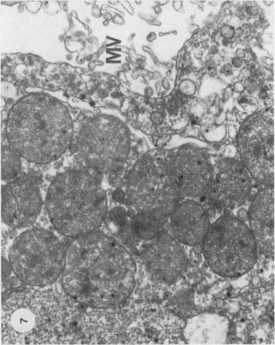
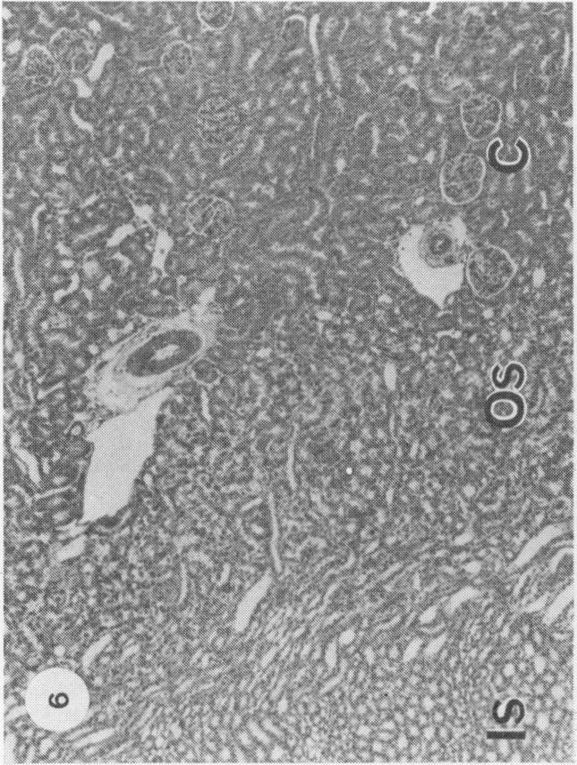
In JCLR and Wistar-Porton rats renal concentrations of Cd2+ were maximal (21-22 micrograms Cd2+/g wet wt tissue) at 1 and 4 h respectively after the administration of CdCl2 (10 micromol, 1-12 mg Cd2+/kg body wt) together with L-cysteine (5 mmol/kg body wt). Synthesis of metallothionein in the kidney in response to the uptake of Cd2+, which occurred between 2 and 7 h after treatment in the Wistar-Porton rat, affected the distribution of Cd2+ between proteins of the renal soluble fraction, but not between the particulate components and, at both times, about 40% of the total Cd2+ was associated with the heterogeneous nuclei + cell debris fraction. Autoradiographic studies with 109CdCl2 revealed that Cd2+, accumulated by the kidney under these conditions, was not uniformly distributed throughout the renal cortex, but was concentrated unevenly in proximal tubules in the outer stripe of the outer zone of the medulla. Pathological changes, which were correlated with the concentrations of accumulated Cd2+ and were limited to the S3 segments of the proximal tubules, were apparent by light microscopy at 4 h after the administration of Cd2+ + cysteine and progressed with time. Thus by 7 h the lesion had extended to include almost the whole of the outer stripe of the outer zone of the medulla and, by 24 h the cells of the affected epithelia showed extensive necrosis and karyorrhexis. At this, as at earlier times, the cortex appeared to be undamaged. Neither these nor other morphological changes were observed in the kidneys of animals that had been dosed with either Cd2+, or L-cysteine alone. Within 60 min of the administration of Cd2+ + cysteine an increase in the number of endocytotic vesicles in the apical cytoplasm of the proximal tubular epithelium was observed by electron microscopy. Subsequent cytoplasmic vesiculation, which was conspicuous at 2 h, was extensive and widespread in both the apical and basal regions of the cytoplasm at 4 h. In some cells at this time the nuclei were irregular in shape; the mitochondria were swollen and their cristae were disorganized. As, after the administration of either Cd2+ or cadmium-metallothionein, damage is known to occur in the S1 and S2 segments of proximal tubules throughout the cortex, the Cd2+ + cysteine combination does not provide an exact model which reproduces in a short time the effects of long-term, low level exposure to Cd2+. Nevertheless it is suggested that the toxic mechanisms are the same after either treatment with Cd2+ + cysteine or continual exposure to Cd2+, but are limited to different segments of the proximal tubules. Possible mechanisms of toxicity are discussed.

摘要

在JCLR大鼠和Wistar-Porton大鼠中,在给予氯化镉(10微摩尔,1-12毫克镉离子/千克体重)和L-半胱氨酸(5毫摩尔/千克体重)后,肾脏中镉离子的浓度分别在1小时和4小时达到最大值(21-22微克镉离子/克湿重组织)。在Wistar-Porton大鼠中,处理后2至7小时内,肾脏中因摄取镉离子而合成的金属硫蛋白影响了镉离子在肾脏可溶性部分蛋白质之间的分布,但不影响颗粒成分之间的分布,并且在这两个时间点,总镉离子的约40%与异质核+细胞碎片部分相关。用109氯化镉进行的放射自显影研究表明,在这些条件下肾脏积累的镉离子并非均匀分布于整个肾皮质,而是不均匀地集中在髓质外带外层的近端小管中。与积累的镉离子浓度相关且局限于近端小管S3段的病理变化,在给予镉离子+半胱氨酸后4小时通过光学显微镜可见,并随时间进展。因此,到7小时时,病变已扩展至几乎包括髓质外带外层的全部,到24小时时,受影响上皮细胞出现广泛坏死和核碎裂。此时,如同早期一样,皮质似乎未受损伤。单独给予镉离子或L-半胱氨酸的动物肾脏中未观察到这些或其他形态学变化。在给予镉离子+半胱氨酸后60分钟内,通过电子显微镜观察到近端小管上皮细胞顶端细胞质内吞小泡数量增加。随后的细胞质空泡化在2小时时明显,在4小时时在细胞质的顶端和基部区域广泛且普遍存在。此时在一些细胞中,细胞核形状不规则;线粒体肿胀且嵴紊乱。由于已知在给予镉离子或镉-金属硫蛋白后,整个皮质近端小管的S1和S2段会发生损伤,镉离子+半胱氨酸组合并不能提供一个能在短时间内重现长期低水平接触镉离子影响的精确模型。然而,有人认为,用镉离子+半胱氨酸处理或持续接触镉离子后的毒性机制相同,但局限于近端小管的不同段。文中讨论了可能的毒性机制。

https://cdn.ncbi.nlm.nih.gov/pmc/blobs/e1a3/2041664/46f7740e218a/brjexppathol00110-0009-a.jpg

文献检索

告别复杂PubMed语法,用中文像聊天一样搜索,搜遍4000万医学文献。AI智能推荐,让科研检索更轻松。

立即免费搜索

文件翻译

保留排版,准确专业,支持PDF/Word/PPT等文件格式,支持 12+语言互译。

免费翻译文档

深度研究

AI帮你快速写综述,25分钟生成高质量综述,智能提取关键信息,辅助科研写作。

立即免费体验