Suppr超能文献

关于感染犬型钩端螺旋体的怀孕仓鼠肾脏的研究。

Studies on the kidneys of pregnant hamsters infected with Leptospira canicola.

作者信息

Williams C S, Siddique I H, Sapp W J

出版信息

Br J Exp Pathol. 1981 Apr;62(2):165-71.

Abstract

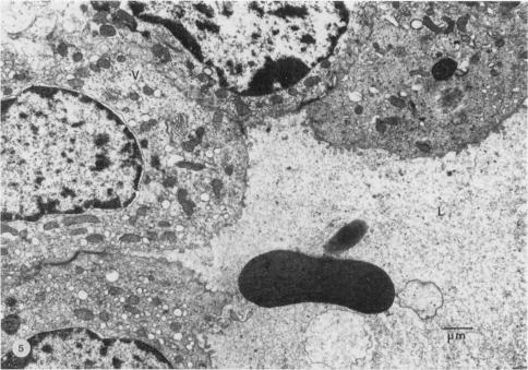
An electron microscopic study on the histopathological changes in the kidneys of pregnant hamsters resulting from infection with Leptospira canicola was undertaken. The experiment revealed damage to the glomeruli as well as the tubules. The severity of these lesions increased with the progress of the disease and examination of kidney sections showed leptospires in the tissue. It is suggested that the stress of pregnancy has some influence on the severity of the lesions seen in this disease.

摘要

对感染犬钩端螺旋体的怀孕仓鼠肾脏组织病理学变化进行了电子显微镜研究。实验发现肾小球和肾小管均有损伤。这些病变的严重程度随着疾病的进展而增加,肾脏切片检查显示组织中有钩端螺旋体。研究表明,怀孕的应激状态对该疾病中所见病变的严重程度有一定影响。

https://cdn.ncbi.nlm.nih.gov/pmc/blobs/072d/2041662/d7db016a8bc0/brjexppathol00110-0055-a.jpg

文献检索

告别复杂PubMed语法,用中文像聊天一样搜索,搜遍4000万医学文献。AI智能推荐,让科研检索更轻松。

立即免费搜索

文件翻译

保留排版,准确专业,支持PDF/Word/PPT等文件格式,支持 12+语言互译。

免费翻译文档

深度研究

AI帮你快速写综述,25分钟生成高质量综述,智能提取关键信息,辅助科研写作。

立即免费体验