• 文献检索
  • 文档翻译
  • 深度研究
  • 学术资讯
  • Suppr Zotero 插件Zotero 插件
  • 邀请有礼
  • 套餐&价格
  • 历史记录
应用&插件
Suppr Zotero 插件Zotero 插件浏览器插件Mac 客户端Windows 客户端微信小程序
定价
高级版会员购买积分包购买API积分包
服务
文献检索文档翻译深度研究API 文档MCP 服务
关于我们
关于 Suppr公司介绍联系我们用户协议隐私条款
关注我们

Suppr 超能文献

核心技术专利:CN118964589B侵权必究
粤ICP备2023148730 号-1Suppr @ 2026

文献检索

告别复杂PubMed语法,用中文像聊天一样搜索,搜遍4000万医学文献。AI智能推荐,让科研检索更轻松。

立即免费搜索

文件翻译

保留排版,准确专业,支持PDF/Word/PPT等文件格式,支持 12+语言互译。

免费翻译文档

深度研究

AI帮你快速写综述,25分钟生成高质量综述,智能提取关键信息,辅助科研写作。

立即免费体验

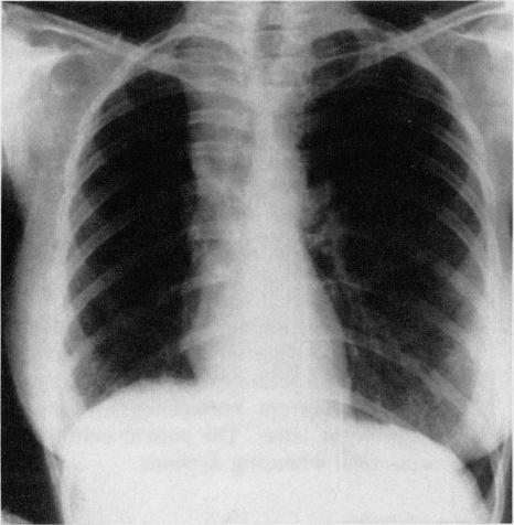
结节病中的长期肺叶不张。

Prolonged lobar atelectasis in sarcoidosis.

作者信息

Stinson J M, Hargett D

出版信息

J Natl Med Assoc. 1981;73(7):669-71.

PMID:7265277
原文链接:https://pmc.ncbi.nlm.nih.gov/articles/PMC2553025/
Abstract

A case is presented of a 28-year-old woman with right upper lobe atelectasis secondary to sarcoid adenopathy. As most chest surgeons and physicians would currently remove the offending lymph nodes for lung reexpansion and more definitive diagnosis, the case is considered primarily for its historical interest.

摘要

本文报告一例28岁女性患者,因结节病性淋巴结病继发右上叶肺不张。由于目前大多数胸外科医生和内科医生会切除引起问题的淋巴结以实现肺复张并进行更明确的诊断,该病例主要因其历史意义而受到关注。

https://cdn.ncbi.nlm.nih.gov/pmc/blobs/68e9/2553025/52eef5e1a788/jnma00049-0092-d.jpg
https://cdn.ncbi.nlm.nih.gov/pmc/blobs/68e9/2553025/47a4424be3ce/jnma00049-0092-a.jpg
https://cdn.ncbi.nlm.nih.gov/pmc/blobs/68e9/2553025/1713b5523bd4/jnma00049-0092-b.jpg
https://cdn.ncbi.nlm.nih.gov/pmc/blobs/68e9/2553025/a8709152a507/jnma00049-0092-c.jpg
https://cdn.ncbi.nlm.nih.gov/pmc/blobs/68e9/2553025/52eef5e1a788/jnma00049-0092-d.jpg
https://cdn.ncbi.nlm.nih.gov/pmc/blobs/68e9/2553025/47a4424be3ce/jnma00049-0092-a.jpg
https://cdn.ncbi.nlm.nih.gov/pmc/blobs/68e9/2553025/1713b5523bd4/jnma00049-0092-b.jpg
https://cdn.ncbi.nlm.nih.gov/pmc/blobs/68e9/2553025/a8709152a507/jnma00049-0092-c.jpg
https://cdn.ncbi.nlm.nih.gov/pmc/blobs/68e9/2553025/52eef5e1a788/jnma00049-0092-d.jpg

相似文献

1
Prolonged lobar atelectasis in sarcoidosis.结节病中的长期肺叶不张。
J Natl Med Assoc. 1981;73(7):669-71.
2
Case of the season. Lobar atelectasis due to sarcoidosis.本季病例。结节病所致肺叶肺不张。
Semin Roentgenol. 1992 Apr;27(2):82-4. doi: 10.1016/0037-198x(92)90050-c.
3
Upper lobe collapse due to endobronchial sarcoidosis.支气管内结节病导致的上叶肺不张。
AJR Am J Roentgenol. 1990 Apr;154(4):897-8. doi: 10.2214/ajr.154.4.2107693.
4
Tumour-like presentation of pulmonary sarcoidosis.
Eur Respir J. 1992 Nov;5(10):1286-7.
5
[Sarcoidosis with right middle lobe atelectasis initially suspected of malignant lymphoma; report of a case].[最初疑似恶性淋巴瘤的伴有右中叶肺不张的结节病;病例报告]
Kyobu Geka. 2012 Nov;65(12):1097-100.
6
Lobar atelectasis: diagnostic pitfalls on chest radiography.肺叶肺不张:胸部X线摄影的诊断陷阱
Br J Radiol. 2001 Jan;74(877):89-97. doi: 10.1259/bjr.74.877.740089.
7
Pulmonary sarcoidosis. Roentgenologic analysis of 150 patients.
Am J Roentgenol Radium Ther Nucl Med. 1973 Apr;117(4):777-86. doi: 10.2214/ajr.117.4.777.
8
Combined lobar atelectasis of the right lung: imaging findings.右肺联合肺叶肺不张:影像学表现
AJR Am J Roentgenol. 1994 Jul;163(1):43-7. doi: 10.2214/ajr.163.1.8010243.
9
[Sarcoidosis].[结节病]
Tijdschr Kindergeneeskd. 1989 Apr;57(2):49-53.
10
The usual unusual manifestations of sarcoidosis and the "hilar haze"--a new diagnostic aid.
Am J Roentgenol Radium Ther Nucl Med. 1974 Apr;120(4):821-31. doi: 10.2214/ajr.120.4.821.

本文引用的文献

1
COEXISTING SARCOIDOSIS AND CRYPTOCOCCOSIS.结节病与隐球菌病并存
Arch Intern Med. 1965 Jun;115:637-43. doi: 10.1001/archinte.1960.03860180009002.
2
Middle-lobe atelectasis due to endobronchial sarcoidosis, with hypercalcemia and renal impairment.
N Engl J Med. 1960 Jun 2;262:1112-6. doi: 10.1056/NEJM196006022622204.
3
Multiple bronchostenoses due to sarcoidosis; report of two cases.结节病所致多发性支气管狭窄;两例报告。
Br Med J. 1957 Dec 7;2(5057):1330-4. doi: 10.1136/bmj.2.5057.1330.
4
Coexistent disseminated sarcoidosis and Hodgkin's disease.并存的播散性结节病和霍奇金病。
JAMA. 1970 Mar 2;211(9):1525-8.
5
The definitive evaluation of sarcoidosis.
Am Rev Respir Dis. 1970 May;101(5):721-7. doi: 10.1164/arrd.1970.101.5.721.
6
Lymphosarcoma and sarcoidosis.淋巴肉瘤和结节病。
Am Rev Respir Dis. 1967 Aug;96(2):290-5. doi: 10.1164/arrd.1967.96.2.290.
7
Case records of the Massachusetts General Hospital. Weekly clinicopathological exercises. Case 1-1979.
N Engl J Med. 1979 Jan 4;300(1):28-37. doi: 10.1056/NEJM197901043000109.