Suppr超能文献

水痘性心肌炎导致充血性心肌病。

Varicella myocarditis producing congestive cardiomyopathy.

作者信息

Thandroyen F T, Asmal A C, Armstrong T G

出版信息

Postgrad Med J. 1981 Mar;57(665):199-201. doi: 10.1136/pgmj.57.665.199.

Abstract

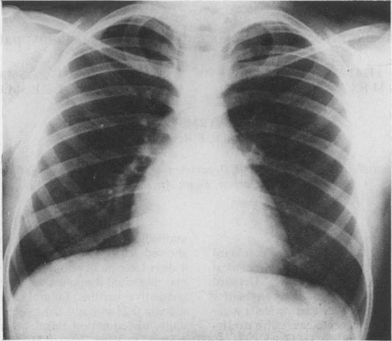
A 14-year-old boy with proved varicella developed severe, intractable heart failure with the clinical features of congestive cardiomyopathy. Detailed investigations failed to disclose any alternative aetiological factor. It is proposed that varicella myocarditis was the cause of the acute congestive cardiomyopathy found in this patient.

摘要

一名14岁确诊患有水痘的男孩出现了严重的、难治性心力衰竭,伴有充血性心肌病的临床特征。详细检查未发现任何其他病因。据推测,水痘心肌炎是该患者急性充血性心肌病的病因。

https://cdn.ncbi.nlm.nih.gov/pmc/blobs/824f/2424878/8032c93c903b/postmedj00219-0067-a.jpg

文献检索

告别复杂PubMed语法,用中文像聊天一样搜索,搜遍4000万医学文献。AI智能推荐,让科研检索更轻松。

立即免费搜索

文件翻译

保留排版,准确专业,支持PDF/Word/PPT等文件格式,支持 12+语言互译。

免费翻译文档

深度研究

AI帮你快速写综述,25分钟生成高质量综述,智能提取关键信息,辅助科研写作。

立即免费体验