Suppr超能文献

犬产后子宫的正常复旧

Normal postpartum involution of the uterus in the dog.

作者信息

Al-Bassam M A, Thomson R G, O'Donnell L

出版信息

Can J Comp Med. 1981 Jul;45(3):217-32.

Abstract

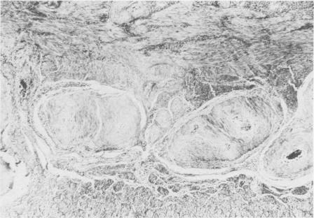
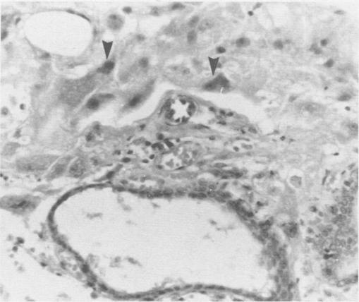
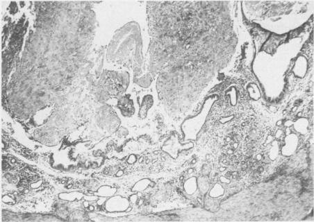
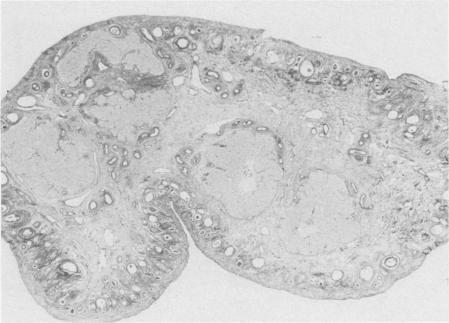
Ninety-eight reproductive tracts from dogs at different postpartum time periods were used to investigate stages of normal involution. Seventy-eight reproductive tracts were obtained from the field, and 20 obtained surgically for gross and microscopic examination. Plasma progesterone was measured in 22 dogs at various times postpartum. The uterine horns during the first week postpartum were dilated and edematous. The placental sites were 1.5-3 cm in width, rough, granular and covered with mucus and a few blood clots. By the fourth week the placental sites were thick, grayish-tan and nodular with a few blood clots within nodules. The uterine horns during the seventh week were greatly contracted and the placental sites were narrow and light in color. A few nodules were still present on the surface. By the ninth week the uterine horns were uniform in shape and contracted with a narrow lumen. The placental sites appeared as a narrow brown band. Histologically the placental sites during the first week postpartum were covered by an eosinophilic staining necrotic mass and a few intact epithelial cells scattered on the surface as an interrupted single layer. Under the necrotic mass, large eosinophilic staining cells in moderate number were scattered throughout the lamina propria of the placental site. These cells were considered to be decidual cells. By the fourth week the placental sites were covered by a large lobulated mass of collagen fibers. The uterine glands were greatly dilated and degenerate, and mononuclear cell infiltration in the lamina propria was pronounced. By the seventh week, large masses of collagen fibers were detached from the surface, and endometrial glands were normal in size and shape. By the ninth week surface sloughing was completed. However, regeneration and replacement of the endometrial lining from the mouth of the uterine glands continued until the end of the twelfth week when the involution process was completed. The progesterone levels were very low for eight weeks postpartum.

摘要

98条处于不同产后时期的犬生殖道用于研究正常 involution 的阶段。78条生殖道取自野外,20条通过手术获取用于大体和显微镜检查。在产后不同时间对22只犬测量血浆孕酮。产后第一周子宫角扩张且水肿。胎盘部位宽1.5 - 3厘米,粗糙、呈颗粒状,覆盖有黏液和少量血凝块。到第四周时,胎盘部位增厚,呈灰棕色且有结节,结节内有少量血凝块。第七周时子宫角大幅收缩,胎盘部位变窄且颜色变浅。表面仍有一些结节。到第九周时,子宫角形状均匀且收缩,管腔狭窄。胎盘部位呈现为一条狭窄的棕色带。组织学上,产后第一周的胎盘部位被嗜酸性染色的坏死物质覆盖,表面有一些完整的上皮细胞散在分布,形成间断的单层。在坏死物质下方,中等数量的大嗜酸性染色细胞散在分布于胎盘部位的固有层。这些细胞被认为是蜕膜细胞。到第四周时,胎盘部位被大量分叶状的胶原纤维团覆盖。子宫腺大幅扩张并退化,固有层单核细胞浸润明显。到第七周时,大量胶原纤维从表面脱落,子宫内膜腺大小和形状正常。到第九周时表面脱落完成。然而,从子宫腺开口处开始的子宫内膜衬里的再生和替代持续到第十二周结束时 involution 过程完成。产后八周孕酮水平非常低。

https://cdn.ncbi.nlm.nih.gov/pmc/blobs/6f8c/1320212/e2624cf13c1b/compmed00019-0011-a.jpg

文献检索

告别复杂PubMed语法,用中文像聊天一样搜索,搜遍4000万医学文献。AI智能推荐,让科研检索更轻松。

立即免费搜索

文件翻译

保留排版,准确专业,支持PDF/Word/PPT等文件格式,支持 12+语言互译。

免费翻译文档

深度研究

AI帮你快速写综述,25分钟生成高质量综述,智能提取关键信息,辅助科研写作。

立即免费体验