• 文献检索
  • 文档翻译
  • 深度研究
  • 学术资讯
  • Suppr Zotero 插件Zotero 插件
  • 邀请有礼
  • 套餐&价格
  • 历史记录
应用&插件
Suppr Zotero 插件Zotero 插件浏览器插件Mac 客户端Windows 客户端微信小程序
定价
高级版会员购买积分包购买API积分包
服务
文献检索文档翻译深度研究API 文档MCP 服务
关于我们
关于 Suppr公司介绍联系我们用户协议隐私条款
关注我们

Suppr 超能文献

核心技术专利:CN118964589B侵权必究
粤ICP备2023148730 号-1Suppr @ 2026

文献检索

告别复杂PubMed语法,用中文像聊天一样搜索,搜遍4000万医学文献。AI智能推荐,让科研检索更轻松。

立即免费搜索

文件翻译

保留排版,准确专业,支持PDF/Word/PPT等文件格式,支持 12+语言互译。

免费翻译文档

深度研究

AI帮你快速写综述,25分钟生成高质量综述,智能提取关键信息,辅助科研写作。

立即免费体验

衰老的斯普拉格-道利大鼠的自发性肾小球硬化。II. 超微结构研究。

Spontaneous glomerular sclerosis in aging Sprague-Dawley rats. II. Ultrastructural studies.

作者信息

Bolton W K, Sturgill B C

出版信息

Am J Pathol. 1980 Feb;98(2):339-56.

PMID:7355986
原文链接:https://pmc.ncbi.nlm.nih.gov/articles/PMC1903409/
Abstract

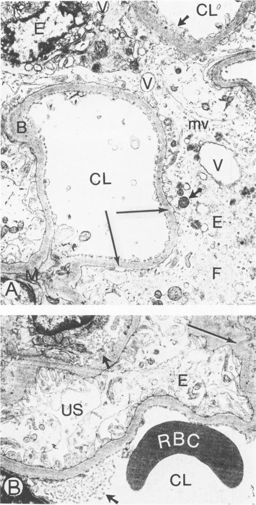
Increased protein filtration and work overload have been proposed to account for the development of glomerular sclerosis in old rats. Sprague-Dawley rat kidneys were examined ultrastructurally from birth through 24 months of age to further delineate pathogenetic factors. There was progressive thickening of all basement membranes with lamination, intramembranous pseudolinear deposits, and degeneration. The glomerular basement membrane (GBM) was 1300 A at birth and increased to 4800 A by 24 months of age. GBM thickening correlated very closely with age (r = 0.90, P less than 0.001), correlated roughly with mesangial sclerosis, but did not correlate at all with proteinuria. Obliteration of podocytes and degenerative changes in the cytoplasm occurred in all cell types and was present in both proteinuric and nonproteinuric rats. These findings suggest that the lesion of spontaneous glomerular sclerosis of aging rats results not from proteinuria but from the natural process of abiotrophic involution. Further, this lesion is but a more obvious indicator of the alterations occurring simultaneously in other portions of the kidney.

摘要

蛋白质滤过增加和工作负荷过重被认为是老年大鼠肾小球硬化发展的原因。对出生至24月龄的Sprague-Dawley大鼠肾脏进行超微结构检查,以进一步明确致病因素。所有基底膜均有进行性增厚,伴有分层、膜内假线性沉积物和变性。肾小球基底膜(GBM)在出生时为1300埃,到24月龄时增加到4800埃。GBM增厚与年龄密切相关(r = 0.90,P < 0.001),与系膜硬化大致相关,但与蛋白尿完全无关。所有细胞类型均出现足细胞消失和细胞质变性改变,蛋白尿大鼠和非蛋白尿大鼠均有此现象。这些发现表明,老年大鼠自发性肾小球硬化病变并非由蛋白尿引起,而是由营养障碍性退化的自然过程所致。此外,这种病变只是肾脏其他部分同时发生改变的一个更明显指标。

https://cdn.ncbi.nlm.nih.gov/pmc/blobs/d9b3/1903409/05240d4782d5/amjpathol00234-0071-a.jpg
https://cdn.ncbi.nlm.nih.gov/pmc/blobs/d9b3/1903409/255391b60214/amjpathol00234-0072-a.jpg
https://cdn.ncbi.nlm.nih.gov/pmc/blobs/d9b3/1903409/2fc69c8fb48e/amjpathol00234-0069-a.jpg
https://cdn.ncbi.nlm.nih.gov/pmc/blobs/d9b3/1903409/b2ada7db3bca/amjpathol00234-0073-a.jpg
https://cdn.ncbi.nlm.nih.gov/pmc/blobs/d9b3/1903409/065307360730/amjpathol00234-0074-a.jpg
https://cdn.ncbi.nlm.nih.gov/pmc/blobs/d9b3/1903409/613c320dab25/amjpathol00234-0070-a.jpg
https://cdn.ncbi.nlm.nih.gov/pmc/blobs/d9b3/1903409/6c41be86f922/amjpathol00234-0070-b.jpg
https://cdn.ncbi.nlm.nih.gov/pmc/blobs/d9b3/1903409/05240d4782d5/amjpathol00234-0071-a.jpg
https://cdn.ncbi.nlm.nih.gov/pmc/blobs/d9b3/1903409/255391b60214/amjpathol00234-0072-a.jpg
https://cdn.ncbi.nlm.nih.gov/pmc/blobs/d9b3/1903409/2fc69c8fb48e/amjpathol00234-0069-a.jpg
https://cdn.ncbi.nlm.nih.gov/pmc/blobs/d9b3/1903409/b2ada7db3bca/amjpathol00234-0073-a.jpg
https://cdn.ncbi.nlm.nih.gov/pmc/blobs/d9b3/1903409/065307360730/amjpathol00234-0074-a.jpg
https://cdn.ncbi.nlm.nih.gov/pmc/blobs/d9b3/1903409/613c320dab25/amjpathol00234-0070-a.jpg
https://cdn.ncbi.nlm.nih.gov/pmc/blobs/d9b3/1903409/6c41be86f922/amjpathol00234-0070-b.jpg
https://cdn.ncbi.nlm.nih.gov/pmc/blobs/d9b3/1903409/05240d4782d5/amjpathol00234-0071-a.jpg

相似文献

1
Spontaneous glomerular sclerosis in aging Sprague-Dawley rats. II. Ultrastructural studies.衰老的斯普拉格-道利大鼠的自发性肾小球硬化。II. 超微结构研究。
Am J Pathol. 1980 Feb;98(2):339-56.
2
Focal glomerular sclerosis in the fawn-hooded rat.淡色带帽大鼠的局灶性肾小球硬化
Am J Pathol. 1978 Sep;92(3):637-52.
3
Mesangial lesions and focal glomerular sclerosis in the aging rat.衰老大鼠的系膜病变和局灶性肾小球硬化
Lab Invest. 1975 Nov;33(5):491-501.
4
Age-related nephropathy and proteinuria in rats with intact kidneys exposed to diets with different protein content.不同蛋白质含量饮食对完整肾脏大鼠年龄相关性肾病及蛋白尿的影响
Lab Invest. 1989 Feb;60(2):196-204.
5
Spontaneous glomerular sclerosis in aging Sprague-Dawley rats. I. Lesions associated with mesangial IgM deposits.衰老的斯普拉格-道利大鼠的自发性肾小球硬化。I. 与系膜IgM沉积相关的病变
Am J Pathol. 1976 Nov;85(2):277-302.
6
Spontaneous hypertension in fawn-hooded rats.新生乳鼠自发性高血压
Lab Anim Sci. 1982 Aug;32(4):389-91.
7
Different types of segmental sclerosing glomerular lesions in six experimental models of proteinuria.蛋白尿六种实验模型中的不同类型节段性硬化性肾小球病变
J Pathol. 1989 Feb;157(2):141-51. doi: 10.1002/path.1711570209.
8
Clinical and histopathological features resembling those of human focal segmental glomerulosclerosis in a cat with nonimmune-mediated glomerulonephropathy.一只患有非免疫介导性肾小球肾炎的猫出现了类似于人类局灶节段性肾小球硬化的临床和组织病理学特征。
BMC Vet Res. 2015 Oct 6;11:251. doi: 10.1186/s12917-015-0569-4.
9
Chronic Masugi nephritis in the rat. An electron microscopic study on evolution and consequences of glomerular capsular adhesions.大鼠慢性马杉肾炎。肾小球囊粘连演变及后果的电子显微镜研究。
Acta Pathol Jpn. 1982 Mar;32(2):231-42.
10
Analysis of renal structural and functional features in two rat strains with a different susceptibility to glomerular sclerosis.对两种对肾小球硬化易感性不同的大鼠品系的肾脏结构和功能特征的分析。
Lab Invest. 1986 Jan;54(1):77-83.

引用本文的文献

1
The effect of NF-kB and MAPK mediated Proinflammatory microenvironment on renal aging and amyloid deposition in elder rats.核因子-κB和丝裂原活化蛋白激酶介导的促炎微环境对老年大鼠肾脏衰老及淀粉样沉积的影响
Sci Rep. 2025 Aug 18;15(1):30188. doi: 10.1038/s41598-025-14559-y.
2
Mesangial Expansion by Morphometry at 5 y After Kidney Transplantation: Incidence, Risk Factors, and Association With Graft Loss.肾移植术后5年肾小球系膜扩张的形态学测量:发病率、危险因素及与移植肾丢失的关联
Transplant Direct. 2024 Jun 13;10(7):e1652. doi: 10.1097/TXD.0000000000001652. eCollection 2024 Jul.
3
Long-term treatment with spermidine increases health span of middle-aged Sprague-Dawley male rats.

本文引用的文献

1
Effect of adrenalectomy on spontaneous and induced proteinuria in the rat.肾上腺切除术对大鼠自发性和诱发性蛋白尿的影响。
Proc Soc Exp Biol Med. 1950 May;74(1):43-6. doi: 10.3181/00379727-74-17803.
2
Sex difference in proteinuria in the rat.大鼠蛋白尿中的性别差异。
Am J Physiol. 1950 Dec;163(3):662-7. doi: 10.1152/ajplegacy.1950.163.3.662.
3
Nutrition and longevity in the rat. II. Longevity and onset of disease with different levels of food intake.大鼠的营养与寿命。II. 不同食物摄入量下的寿命及疾病发生情况
用亚精胺进行长期治疗可延长中年斯普拉格-道利雄性大鼠的健康寿命。
Geroscience. 2020 Jun;42(3):937-949. doi: 10.1007/s11357-020-00173-5. Epub 2020 Apr 13.
4
Extracellular matrix roles in cardiorenal fibrosis: Potential therapeutic targets for CVD and CKD in the elderly.细胞外基质在心脏肾纤维化中的作用:老年人心血管疾病和慢性肾脏病的潜在治疗靶点。
Pharmacol Ther. 2019 Jan;193:99-120. doi: 10.1016/j.pharmthera.2018.08.014. Epub 2018 Aug 25.
5
Melatonin and/or rowatinex attenuate streptozotocin-induced diabetic renal injury in rats.褪黑素和/或罗瓦替丁可减轻链脲佐菌素诱导的大鼠糖尿病肾损伤。
J Biomed Res. 2019 Apr 22;33(2):113-121. doi: 10.7555/JBR.31.20160028.
6
Effect of spent turmeric on kidney glycoconjugates in streptozotocin-induced diabetic rats.废弃姜黄对链脲佐菌素诱导的糖尿病大鼠肾脏糖缀合物的影响。
J Diabetes Metab Disord. 2014 Aug 4;13:78. doi: 10.1186/2251-6581-13-78. eCollection 2014.
7
Ageing and microvasculature.衰老与微血管系统
Vasc Cell. 2014 Sep 16;6:19. doi: 10.1186/2045-824X-6-19. eCollection 2014.
8
Omega-3 and renal function in older adults.ω-3 脂肪酸与老年人的肾功能。
Curr Pharm Des. 2009;15(36):4149-56. doi: 10.2174/138161209789909719.
9
The aging kidney: a review -- part I.衰老的肾脏:综述——第一部分。
Int Urol Nephrol. 2005;37(1):185-205. doi: 10.1007/s11255-004-0873-6.
10
Glomerular extracellular matrices and anionic sites in aging ddY mice: a morphometric study.衰老ddY小鼠肾小球细胞外基质和阴离子位点:一项形态计量学研究。
Histochemistry. 1993 Mar;99(3):241-9. doi: 10.1007/BF00269142.
J Nutr. 1960 Jul;71:255-63.
4
Progressive intercapillary glomerulosclerosis in the mouse, rat, and Chinese hamster, associated with aging and x-ray exposure.小鼠、大鼠和中国仓鼠中与衰老及X射线照射相关的进行性毛细血管间肾小球硬化症。
Am J Pathol. 1960 Sep;37(3):293-307.
5
Age changes in the renal basement membrane in rats.大鼠肾基底膜的年龄变化
Am J Pathol. 1960 Feb;36(2):165-79.
6
Effects of old age and over-nutrition on the kidney.老年和营养过剩对肾脏的影响。
Br Med Bull. 1957 Jan;13(1):67-70. doi: 10.1093/oxfordjournals.bmb.a069575.
7
The fine structure of the renal glomerulus of the mouse.小鼠肾小球的精细结构。
J Biophys Biochem Cytol. 1955 Nov 25;1(6):551-66. doi: 10.1083/jcb.1.6.551.
8
Anatomy of the glomerulus.
Am J Med. 1955 Feb;18(2):267-76. doi: 10.1016/0002-9343(55)90242-4.
9
X-ray-induced glomerulosclerosis in rats: modification of lesion by food restriction, uninephrectomy, and age.大鼠X射线诱导的肾小球硬化:食物限制、单侧肾切除和年龄对病变的影响
J Gerontol. 1966 Jul;21(3):442-8. doi: 10.1093/geronj/21.3.442.
10
Effect of thyroxine on spontaneous nephrosis in the rat.甲状腺素对大鼠自发性肾病的影响。
Proc Soc Exp Biol Med. 1966 Jan;121(1):198-203. doi: 10.3181/00379727-121-30736.