Suppr超能文献

环状染色体10:46,XX,r(10)(p15导致q26) 。 (注:此翻译尽量忠实原文,但该医学表述在中文语境下可能不太符合常规习惯,仅按要求进行文字转换)

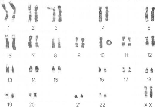
Ring chromosome 10:46,XX,r(10)(p15 leads to q26).

作者信息

Tsukino R, Tsuda N, Dezawa T, Ishii T, Koike M

出版信息

J Med Genet. 1980 Apr;17(2):148-50. doi: 10.1136/jmg.17.2.148.

Abstract

Cytogenetic analysis of an 8-month-old Japanese girl with moderate retardation of physical development was performed and a ring chromosome 10, 46,XX,r(10)(p15→q26), was found. She had short stature, mildly stubby nose, antimongoloid slants, and moderately protruding ears. The extremities showed erythrocyanosis, oedema, and pigmentation. Lansky was the first to describe ring chromosome 10 with a Turner-like phenotype. Only two other cases have been reported so far and little is known about this syndrome. This is the report of a fourth case.

摘要

对一名身体发育中度迟缓的8个月大日本女孩进行了细胞遗传学分析,发现了一条环状10号染色体,核型为46,XX,r(10)(p15→q26)。她身材矮小,鼻子略短且粗,有内眦赘皮,耳朵中度突出。四肢出现发绀、水肿和色素沉着。兰斯基是首个描述具有特纳样表型的环状10号染色体的人。迄今为止,仅另有两例相关病例报道,对此综合征了解甚少。本文报告第四例病例。

https://cdn.ncbi.nlm.nih.gov/pmc/blobs/7bf1/1048524/2f05d5ca08db/jmedgene00124-0069-a.jpg

文献检索

告别复杂PubMed语法,用中文像聊天一样搜索,搜遍4000万医学文献。AI智能推荐,让科研检索更轻松。

立即免费搜索

文件翻译

保留排版,准确专业,支持PDF/Word/PPT等文件格式,支持 12+语言互译。

免费翻译文档

深度研究

AI帮你快速写综述,25分钟生成高质量综述,智能提取关键信息,辅助科研写作。

立即免费体验