Suppr超能文献

糖尿病周围神经病变中血管的电子显微镜研究。

Electron microscopical studies of vessels in diabetic peripheral neuropathy.

作者信息

Williams E, Timperley W R, Ward J D, Duckworth T

出版信息

J Clin Pathol. 1980 May;33(5):462-70. doi: 10.1136/jcp.33.5.462.

Abstract

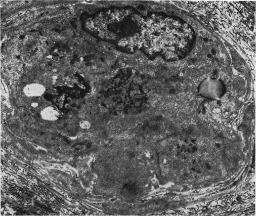
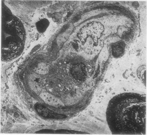
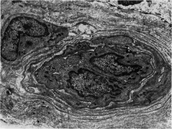
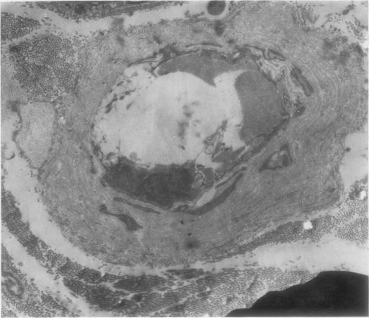
the results of an electron microscopical study of sural nerve biopsies from 11 patients with diabetic neuropathy are presented. Thrombi were seen in six cases in at least one intraneural vessel; nine cases showed hyperplasia of endothelial cells, and in seven out of these nine the hyperplasia was sufficient to occlude completely the lumen of small vessels; six cases showed degenerate pericytes and endothelial cells, and in some cases endothelial cells had been shed from the vessel wall, exposing the blood within the vessel to the underlying basement membrane; in five cases large lipid droplets were seen within endothelial cells. Abnormalities of the vessel wall would result in decreased fibrinolytic activity and a reduction of the antiplatelet aggregating proprties of the vessel. Desquamation of endothelial cells from the vessel wall, with exposure of platelets to underlying collagen, may act as a trigger for thrombus formation, particularly as the blood of diabetic patients is often in a hypercoagulable state. The significance of hyperplasia of endothelial cells is at present unknown but, once established, this too would result in profound alterations of loal blood flow and ischaemia of nerve. Damage to endothelial cells may also allow seepage of haematological constituents into the vessel wall, resulting in its progressive thickening.

摘要

本文展示了对11例糖尿病性神经病变患者腓肠神经活检的电子显微镜研究结果。在至少一条神经内血管中,6例可见血栓;9例显示内皮细胞增生,其中7例增生足以完全阻塞小血管腔;6例显示周细胞和内皮细胞变性,在某些情况下,内皮细胞从血管壁脱落,使血管内的血液暴露于下方的基底膜;5例在内皮细胞内可见大脂滴。血管壁异常会导致纤溶活性降低以及血管抗血小板聚集特性降低。内皮细胞从血管壁脱落,使血小板暴露于下方的胶原蛋白,可能触发血栓形成,特别是因为糖尿病患者的血液通常处于高凝状态。目前尚不清楚内皮细胞增生的意义,但一旦形成,这也会导致局部血流的深刻改变和神经缺血。内皮细胞损伤还可能使血液成分渗入血管壁,导致血管壁逐渐增厚。

https://cdn.ncbi.nlm.nih.gov/pmc/blobs/38e8/1146111/911c2ea5d435/jclinpath00465-0047-a.jpg

文献检索

告别复杂PubMed语法,用中文像聊天一样搜索,搜遍4000万医学文献。AI智能推荐,让科研检索更轻松。

立即免费搜索

文件翻译

保留排版,准确专业,支持PDF/Word/PPT等文件格式,支持 12+语言互译。

免费翻译文档

深度研究

AI帮你快速写综述,25分钟生成高质量综述,智能提取关键信息,辅助科研写作。

立即免费体验