• 文献检索
  • 文档翻译
  • 深度研究
  • 学术资讯
  • Suppr Zotero 插件Zotero 插件
  • 邀请有礼
  • 套餐&价格
  • 历史记录
应用&插件
Suppr Zotero 插件Zotero 插件浏览器插件Mac 客户端Windows 客户端微信小程序
定价
高级版会员购买积分包购买API积分包
服务
文献检索文档翻译深度研究API 文档MCP 服务
关于我们
关于 Suppr公司介绍联系我们用户协议隐私条款
关注我们

Suppr 超能文献

核心技术专利:CN118964589B侵权必究
粤ICP备2023148730 号-1Suppr @ 2026

文献检索

告别复杂PubMed语法,用中文像聊天一样搜索,搜遍4000万医学文献。AI智能推荐,让科研检索更轻松。

立即免费搜索

文件翻译

保留排版,准确专业,支持PDF/Word/PPT等文件格式,支持 12+语言互译。

免费翻译文档

深度研究

AI帮你快速写综述,25分钟生成高质量综述,智能提取关键信息,辅助科研写作。

立即免费体验

维持动脉导管通畅以缓解青紫型先天性心脏畸形。前列腺素E1的应用及导管壁甲醛浸润。

Maintaining patency of the ductus-arteriosus for palliation of cyanotic congenital cardiac malformations. The use of prostaglandin E1 and formaldehyde infiltration of the ductal wall.

作者信息

Hatem J, Sade R M, Upshur J K, Hohn A R

出版信息

Ann Surg. 1980 Jul;192(1):124-8. doi: 10.1097/00000658-198007000-00022.

DOI:10.1097/00000658-198007000-00022
PMID:7406557
原文链接:https://pmc.ncbi.nlm.nih.gov/articles/PMC1344818/
Abstract

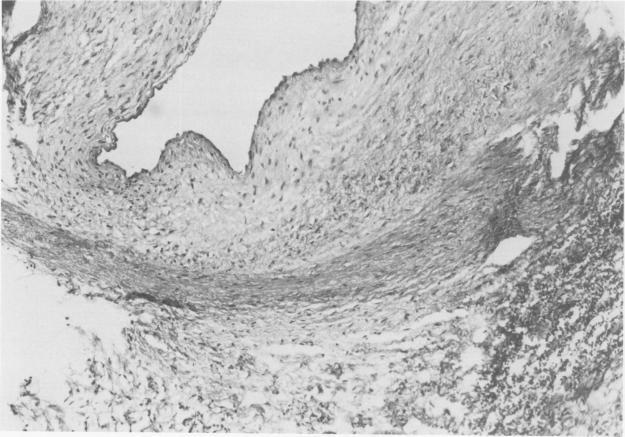
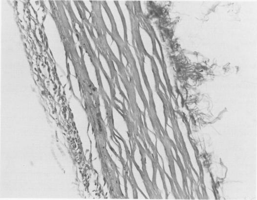
We have used two methods to maintain ductal ppatency in 13 newborns during surgery for congenital cardiac malformations: prostaglandin E1 (PGE1) infusion for the short-term and formaldehyde infiltration of the ductus arteriosuos (FID) for the longer term. PGE1 increased the arterial oxygen saturation, leading to stable intraoperative hemodynamics in the six infants in whom it was used. FID was used in all 13 patients. Four of these patients died in the hospital, all with the ductus open. Of the nine early survivors, all required an additional shunt procedure. The five long-term survivors had the second palliative operation immediately, three hours, three days, two and one-half months, and four and one-half months after FID. We continue to use PGE1 to maintain ductal atency through operation, but use aortopulmonary anastomosis in the newborn period rather than FID.

摘要

我们采用了两种方法在13例先天性心脏畸形手术的新生儿中维持动脉导管通畅:短期使用前列腺素E1(PGE1)输注,长期使用动脉导管甲醛浸润(FID)。PGE1提高了动脉血氧饱和度,使使用该药物的6例婴儿术中血流动力学稳定。13例患者均使用了FID。其中4例患者在医院死亡,均为动脉导管未闭。9例早期存活者均需要再次进行分流手术。5例长期存活者在FID后立即、3小时、3天、2个半月和4个半月进行了第二次姑息性手术。我们继续使用PGE1在手术过程中维持动脉导管通畅,但在新生儿期采用主动脉-肺动脉吻合术而非FID。

https://cdn.ncbi.nlm.nih.gov/pmc/blobs/7e50/1344818/92e111dfe7c1/annsurg00221-0141-a.jpg
https://cdn.ncbi.nlm.nih.gov/pmc/blobs/7e50/1344818/7107cd8b6a89/annsurg00221-0140-a.jpg
https://cdn.ncbi.nlm.nih.gov/pmc/blobs/7e50/1344818/92e111dfe7c1/annsurg00221-0141-a.jpg
https://cdn.ncbi.nlm.nih.gov/pmc/blobs/7e50/1344818/7107cd8b6a89/annsurg00221-0140-a.jpg
https://cdn.ncbi.nlm.nih.gov/pmc/blobs/7e50/1344818/92e111dfe7c1/annsurg00221-0141-a.jpg

相似文献

1
Maintaining patency of the ductus-arteriosus for palliation of cyanotic congenital cardiac malformations. The use of prostaglandin E1 and formaldehyde infiltration of the ductal wall.维持动脉导管通畅以缓解青紫型先天性心脏畸形。前列腺素E1的应用及导管壁甲醛浸润。
Ann Surg. 1980 Jul;192(1):124-8. doi: 10.1097/00000658-198007000-00022.
2
Transvascular catheter infiltration of the ductus arteriosus with formalin in the newborn lamb: a novel method of establishing and maintaining ductal patency.新生羔羊经血管导管用福尔马林浸润动脉导管:一种建立和维持动脉导管通畅的新方法。
J Am Coll Cardiol. 1996 Jul;28(1):241-6. doi: 10.1016/0735-1097(96)00128-3.
3
Formalin infiltration of the ductus arteriosus. A method for palliation of infants with selected congenital cardiac lesions.
N Engl J Med. 1975 Jun 12;292(24):1263-8. doi: 10.1056/NEJM197506122922403.
4
The use of prostaglandin E1 and Blalock-Taussig shunts in neonates with cyanotic congenital heart disease.
Ann Thorac Surg. 1979 Jun;27(6):508-13. doi: 10.1016/s0003-4975(10)63359-0.
5
The effects of some methyl prostaglandin derivatives on the ductus arteriosus of swine in vivo.某些甲基前列腺素衍生物对猪体内动脉导管的作用。
Prostaglandins Med. 1978 Oct;1(4):267-81. doi: 10.1016/0161-4630(78)90046-0.
6
Dilatation of the ductus arteriosus by prostaglandin E1 in aortic arch abnormalities.前列腺素E1对主动脉弓畸形中动脉导管的扩张作用。
Circulation. 1979 Jan;59(1):169-73. doi: 10.1161/01.cir.59.1.169.
7
Ductus arteriosus dilatation by prostaglandin E1 in infants with pulmonary atresia.前列腺素E1对肺动脉闭锁婴儿动脉导管的扩张作用
Pediatrics. 1977 Mar;59(3):325-9.
8
[Value of prostaglandin E1 in cardiac malformations in the newborn infant].[前列腺素E1在新生儿心脏畸形中的价值]
Pediatrie. 1984 Jun;39(4):245-52.
9
Pharmacologic dilatation of the ductus arteriosus with prostaglandin E1 in infants with congenital heart disease.先天性心脏病婴儿使用前列腺素E1进行动脉导管的药物性扩张。
South Med J. 1978 Oct;71(10):1238-41, 1246. doi: 10.1097/00007611-197810000-00015.
10
Use of prostaglandin E1 in infants with d-transposition of the great arteries and intact ventricular septum.
Am J Cardiol. 1979 Jul;44(1):76-81. doi: 10.1016/0002-9149(79)90253-4.

引用本文的文献

1
Role of dynamin-related protein 1 (Drp1)-mediated mitochondrial fission in oxygen sensing and constriction of the ductus arteriosus.动力相关蛋白 1(Drp1)介导线粒体分裂在动脉导管氧感应和收缩中的作用。
Circ Res. 2013 Mar 1;112(5):802-15. doi: 10.1161/CIRCRESAHA.111.300285. Epub 2013 Jan 18.
2
Formalin infiltration of ductus arteriosus in cyanotic congenital heart disease.法洛四联症中动脉导管的甲醛浸润
Br Heart J. 1981 May;45(5):573-6. doi: 10.1136/hrt.45.5.573.

本文引用的文献

1
Anastomosis between the ascending aorta and the main pulmonary artery in the tetralogy of Fallot.法洛四联症中升主动脉与主肺动脉之间的吻合术。
Thorax. 1955 Dec;10(4):348-50. doi: 10.1136/thx.10.4.348.
2
Surgical treatment of pulmonary atresia with intact interventricular septum.室间隔完整型肺动脉闭锁的外科治疗
J Thorac Cardiovasc Surg. 1971 Aug;62(2):213-9.
3
Long-term observations on the Blalock-Taussig operation. II. Second operations, frequency and results.
Johns Hopkins Med J. 1971 Nov;129(5):258-73.
4
Aorta-to-right pulmonary artery anastomosis causing obstruction of the right pulmonary artery. Management during correction of tetralogy of Fallot.
Ann Thorac Surg. 1973 Oct;16(4):402-10. doi: 10.1016/s0003-4975(10)65011-4.
5
Survival after systemic to pulmonary arterial shunts in infants less than 30 days old with obstructive lesions of the right heart chambers.
Am J Cardiol. 1975 Oct 6;36(4):476-83. doi: 10.1016/0002-9149(75)90897-8.
6
Systemic-pulmonary artery anastomoses in infancy.婴儿期体肺循环动脉吻合术
J Thorac Cardiovasc Surg. 1975 Nov;70(5):921-7.
7
The Waterston anastomosis with no deaths in the neonate.
J Thorac Cardiovasc Surg. 1976 Oct;72(4):588-92.
8
Arterial prosthesis of microporous expanded polytetrafluoroethylene for construction of aorta-pulmonary shunts.用于构建主动脉-肺动脉分流术的微孔扩张聚四氟乙烯动脉假体。
J Thorac Cardiovasc Surg. 1976 Sep;72(3):357-63.
9
Ductus arteriosus dilatation by prostaglandin E1 in infants with pulmonary atresia.前列腺素E1对肺动脉闭锁婴儿动脉导管的扩张作用
Pediatrics. 1977 Mar;59(3):325-9.
10
The Blalock-Taussig shunt in the neonate.
Ann Thorac Surg. 1978 Mar;25(3):220-4. doi: 10.1016/s0003-4975(10)63526-6.