• 文献检索
  • 文档翻译
  • 深度研究
  • 学术资讯
  • Suppr Zotero 插件Zotero 插件
  • 邀请有礼
  • 套餐&价格
  • 历史记录
应用&插件
Suppr Zotero 插件Zotero 插件浏览器插件Mac 客户端Windows 客户端微信小程序
定价
高级版会员购买积分包购买API积分包
服务
文献检索文档翻译深度研究API 文档MCP 服务
关于我们
关于 Suppr公司介绍联系我们用户协议隐私条款
关注我们

Suppr 超能文献

核心技术专利:CN118964589B侵权必究
粤ICP备2023148730 号-1Suppr @ 2026

文献检索

告别复杂PubMed语法,用中文像聊天一样搜索,搜遍4000万医学文献。AI智能推荐,让科研检索更轻松。

立即免费搜索

文件翻译

保留排版,准确专业,支持PDF/Word/PPT等文件格式,支持 12+语言互译。

免费翻译文档

深度研究

AI帮你快速写综述,25分钟生成高质量综述,智能提取关键信息,辅助科研写作。

立即免费体验

甲状腺淋巴瘤治疗期间的致命性气管溶解

Lethal tracheal dissolution during treatment for thyroid lymphoma.

作者信息

Melnyk A, Graham N J, Weber D, Walsh G L

机构信息

Department of Internal Medicine, University of Texas MD Anderson Cancer Center, Houston 77030, USA.

出版信息

Thorax. 1995 Oct;50(10):1120-1. doi: 10.1136/thx.50.10.1120.

DOI:10.1136/thx.50.10.1120
PMID:7491567
原文链接:https://pmc.ncbi.nlm.nih.gov/articles/PMC475032/
Abstract
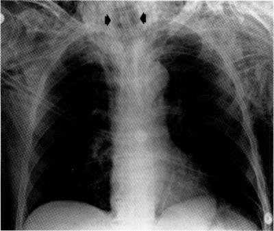
  • A case of primary thyroid T cell lymphoma leading to lethal tracheal perforation during chemotherapy is described.
摘要

本文描述了一例原发性甲状腺T细胞淋巴瘤患者在化疗期间发生致命性气管穿孔的病例。

https://cdn.ncbi.nlm.nih.gov/pmc/blobs/fb78/475032/55bf832a70a4/thorax00315-0111-a.jpg
https://cdn.ncbi.nlm.nih.gov/pmc/blobs/fb78/475032/a56e79a1b5e0/thorax00315-0110-a.jpg
https://cdn.ncbi.nlm.nih.gov/pmc/blobs/fb78/475032/55bf832a70a4/thorax00315-0111-a.jpg
https://cdn.ncbi.nlm.nih.gov/pmc/blobs/fb78/475032/a56e79a1b5e0/thorax00315-0110-a.jpg
https://cdn.ncbi.nlm.nih.gov/pmc/blobs/fb78/475032/55bf832a70a4/thorax00315-0111-a.jpg

相似文献

1
Lethal tracheal dissolution during treatment for thyroid lymphoma.甲状腺淋巴瘤治疗期间的致命性气管溶解
Thorax. 1995 Oct;50(10):1120-1. doi: 10.1136/thx.50.10.1120.
2
Perforation through undiagnosed small bowel involvement in primary thyroid lymphoma during chemotherapy.化疗期间原发性甲状腺淋巴瘤未被诊断出的小肠受累导致的穿孔。
Cancer. 1992 Jan 15;69(2):572-3. doi: 10.1002/1097-0142(19920115)69:2<572::aid-cncr2820690248>3.0.co;2-x.
3
Progressive multifocal leukoencephalopathy in a patient with hepatosplenic T cell lymphoma.
Eur Neurol. 2006;55(1):44-5. doi: 10.1159/000091427. Epub 2006 Feb 9.
4
Tracheoesophageal fistula secondary to chemotherapy for malignant B-cell lymphoma of the thyroid: successful surgical treatment with jejunal interposition and mesenteric patch.
Dis Esophagus. 2004;17(3):266-9. doi: 10.1111/j.1442-2050.2004.00401.x.
5
Myelodysplastic syndrome and acute myeloid leukemia after treatment with fludarabine, mitoxantrone, and dexamethasone.氟达拉滨、米托蒽醌和地塞米松治疗后发生的骨髓增生异常综合征和急性髓系白血病。
Am J Hematol. 2006 Jun;81(6):471-3. doi: 10.1002/ajh.20599.
6
Radiation recall following cisplatin chemotherapy.顺铂化疗后的放射回忆反应。
Br J Haematol. 2013 Nov;163(4):421. doi: 10.1111/bjh.12538. Epub 2013 Sep 10.
7
gamma/delta T-cell lymphoma of the thyroid gland.甲状腺γ/δ T细胞淋巴瘤
N Engl J Med. 1997 May 8;336(19):1391-2. doi: 10.1056/NEJM199705083361915.
8
Tracheal invasion and perforation from advanced primary thyroid lymphoma: a case report and literature review.原发性甲状腺淋巴瘤侵犯气管并穿孔:一例病例报告及文献复习。
Am J Otolaryngol. 2013 Sep-Oct;34(5):559-62. doi: 10.1016/j.amjoto.2013.04.004. Epub 2013 May 20.
9
Mediastinal infusion with tracheal necrosis: an unusual complication of Port-a-cath devices.
Interact Cardiovasc Thorac Surg. 2011 Jun;12(6):1007-9. doi: 10.1510/icvts.2010.264903. Epub 2011 Mar 1.
10
[Treatment of infantile non-Hodgkin's lymphoma].[婴儿非霍奇金淋巴瘤的治疗]
An Esp Pediatr. 1990 Nov;33 Suppl 43:149-54.

引用本文的文献

1
Tracheoesophageal fistula caused by chemotherapy in primary thyroid lymphoma: a case report.原发性甲状腺淋巴瘤化疗所致气管食管瘘:一例报告
Transl Cancer Res. 2021 Jul;10(7):3582-3587. doi: 10.21037/tcr-21-486.
2
Tracheal Invasion and Cardiopulmonary Compromise From Primary Thyroid Lymphoma.原发性甲状腺淋巴瘤导致的气管侵犯和心肺功能损害
Cureus. 2021 Nov 6;13(11):e19302. doi: 10.7759/cureus.19302. eCollection 2021 Nov.

本文引用的文献

1
Lymphoma of the thyroid.甲状腺淋巴瘤
Ann Intern Med. 1983 Nov;99(5):685-93. doi: 10.7326/0003-4819-99-5-685.
2
Primary lymphoma of the thyroid: clinical features, prognostic factors, and results of treatment.甲状腺原发性淋巴瘤:临床特征、预后因素及治疗结果
Int J Radiat Oncol Biol Phys. 1986 Oct;12(10):1813-21. doi: 10.1016/0360-3016(86)90324-x.
3
Haemorrhage and perforation of gastrointestinal neoplasms during chemotherapy.化疗期间胃肠道肿瘤的出血与穿孔
Ann R Coll Surg Engl. 1986 Sep;68(5):286-9.
4
Thyroid lymphoma.甲状腺淋巴瘤
Br J Surg. 1989 Sep;76(9):895-7. doi: 10.1002/bjs.1800760907.
5
Obstructive manifestations of thyroid lymphoma.甲状腺淋巴瘤的梗阻性表现
Arch Intern Med. 1989 Jul;149(7):1575-7. doi: 10.1001/archinte.149.7.1575.
6
Primary thyroid lymphoma: comparison of CT and US assessment.原发性甲状腺淋巴瘤:CT与超声评估的比较
Radiology. 1989 May;171(2):439-43. doi: 10.1148/radiology.171.2.2649921.
7
Thyroid lymphomas stages IE and IIE: comparative results for radiotherapy only, combination chemotherapy only, and multimodality treatment.甲状腺淋巴瘤IE期和IIE期:单纯放疗、单纯联合化疗及多模式治疗的对比结果
Int J Radiat Oncol Biol Phys. 1986 Oct;12(10):1807-12. doi: 10.1016/0360-3016(86)90323-8.
8
Perforation through undiagnosed small bowel involvement in primary thyroid lymphoma during chemotherapy.化疗期间原发性甲状腺淋巴瘤未被诊断出的小肠受累导致的穿孔。
Cancer. 1992 Jan 15;69(2):572-3. doi: 10.1002/1097-0142(19920115)69:2<572::aid-cncr2820690248>3.0.co;2-x.