Suppr超能文献

多药耐药相关蛋白(MRP)基因在非小细胞肺癌中的表达

Expression of the multidrug resistance-associated protein (MRP) gene in non-small-cell lung cancer.

作者信息

Ota E, Abe Y, Oshika Y, Ozeki Y, Iwasaki M, Inoue H, Yamazaki H, Ueyama Y, Takagi K, Ogata T

机构信息

Department of Pathology, Tokai University School of Medicine, Kanagawa, Japan.

出版信息

Br J Cancer. 1995 Sep;72(3):550-4. doi: 10.1038/bjc.1995.372.

Abstract

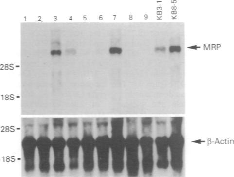
We examined the levels of expression of the multidrug resistance-associated protein (MRP) gene quantified by Northern blot analysis in comparison with those of the MDR1 gene determined by reverse transcription-polymerase chain reaction (RT-PCR) in 104 non-small-cell lung cancer (NSCLC) specimens [59 adenocarcinoma (Ad), 40 squamous cell carcinoma (Sq), four large cell carcinoma (La) and one adeno-squamous carcinoma (AdSq)]. Thirty-three (31.7%) of the 104 NSCLC expressed the MRP gene at various levels. The NSCLC showing high (++) levels of MRP gene expression (19 out of 33, 57.6%) were predominantly squamous cell carcinomas (Ad, 5; Sq, 13; La, 1) (P < 0.05). Six of the eight NSCLCs expressing high levels of MRP mRNA and no MDR1 (MRP ++, MDR1-) were squamous cell carcinomas. Sixty-one of the 104 NSCLC patients received chemotherapy with MRP-related anti-cancer drugs [vindesine (VDS) and etoposide (VP-16)]. Twenty-three patients (37.7%) with tumour expressing high or moderate levels of MRP showed significantly worse prognoses than those with non- or low-MRP-expressing tumours (P < 0.05). These results suggest that the level of MRP gene expression is related to the histopathology and prognosis of NSCLC.

摘要

我们通过Northern印迹分析对104例非小细胞肺癌(NSCLC)标本[59例腺癌(Ad)、40例鳞状细胞癌(Sq)、4例大细胞癌(La)和1例腺鳞癌(AdSq)]中多药耐药相关蛋白(MRP)基因的表达水平进行了检测,并与通过逆转录聚合酶链反应(RT-PCR)测定的MDR1基因的表达水平进行了比较。104例NSCLC中有33例(31.7%)在不同水平表达MRP基因。MRP基因表达水平高(++)的NSCLC(33例中的19例,57.6%)主要为鳞状细胞癌(Ad,5例;Sq,13例;La,1例)(P<0.05)。8例MRP mRNA高水平表达且无MDR1表达(MRP ++,MDR1-)的NSCLC中有6例为鳞状细胞癌。104例NSCLC患者中有61例接受了与MRP相关的抗癌药物[长春地辛(VDS)和依托泊苷(VP-16)]化疗。23例(37.7%)肿瘤表达高水平或中等水平MRP的患者的预后明显差于非MRP表达或低MRP表达肿瘤的患者(P<0.05)。这些结果表明,MRP基因表达水平与NSCLC的组织病理学及预后相关。

https://cdn.ncbi.nlm.nih.gov/pmc/blobs/a88f/2033872/e74598651007/brjcancer00043-0035-a.jpg

文献检索

告别复杂PubMed语法,用中文像聊天一样搜索,搜遍4000万医学文献。AI智能推荐,让科研检索更轻松。

立即免费搜索

文件翻译

保留排版,准确专业,支持PDF/Word/PPT等文件格式,支持 12+语言互译。

免费翻译文档

深度研究

AI帮你快速写综述,25分钟生成高质量综述,智能提取关键信息,辅助科研写作。

立即免费体验