Suppr超能文献

用蛋白激酶C-α转染的MCF-7乳腺癌细胞表现出其他蛋白激酶C同工型表达的改变,并呈现出更具侵袭性的肿瘤表型。

MCF-7 breast cancer cells transfected with protein kinase C-alpha exhibit altered expression of other protein kinase C isoforms and display a more aggressive neoplastic phenotype.

作者信息

Ways D K, Kukoly C A, deVente J, Hooker J L, Bryant W O, Posekany K J, Fletcher D J, Cook P P, Parker P J

机构信息

Department of Medicine, East Carolina University School of Medicine, Greenville, North Carolina 27858, USA.

出版信息

J Clin Invest. 1995 Apr;95(4):1906-15. doi: 10.1172/JCI117872.

Abstract

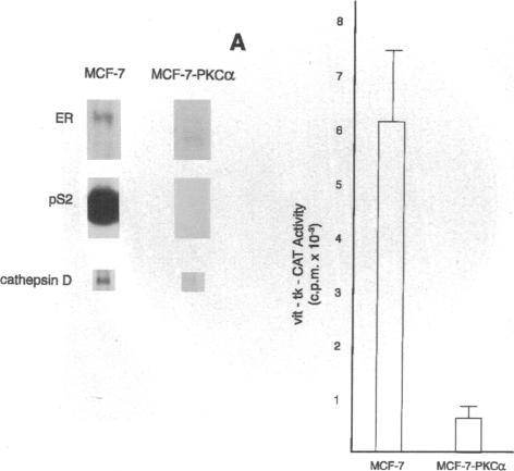
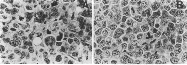
Increased protein kinase C (PKC) activity in malignant breast tissue and positive correlations between PKC activity and expression of a more aggressive phenotype in breast cancer cell lines suggest a role for this signal transduction pathway in the pathogenesis and/or progression of breast cancer. To examine the role of PKC in the progression of breast cancer, human MCF-7 breast cancer cells were transfected with PKC-alpha, and a group of heterogenous cells stably overexpressing PKC-alpha were isolated (MCF-7-PKC-alpha). MCF-7-PKC-alpha cells expressed fivefold higher levels of PKC-alpha as compared to parental or vector-transfected MCF-7 cells. MCF-7-PKC-alpha cells also displayed a substantial increase in endogenous expression of PKC-beta and decreases in expression of the novel delta- and eta-PKC isoforms. MCF-7-PKC-alpha cells displayed an enhanced proliferative rate, anchorage-independent growth, dramatic morphologic alterations including loss of an epithelioid appearance, and increased tumorigenicity in nude mice. MCF-7-PKC-alpha cells exhibited a significant reduction in estrogen receptor expression and decreases in estrogen-dependent gene expression. These findings suggest that the PKC pathway may modulate progression of breast cancer to a more aggressive neoplastic process.

摘要

恶性乳腺组织中蛋白激酶C(PKC)活性增加,且PKC活性与乳腺癌细胞系中更具侵袭性表型的表达呈正相关,这表明该信号转导途径在乳腺癌的发病机制和/或进展中起作用。为了研究PKC在乳腺癌进展中的作用,将人MCF-7乳腺癌细胞用PKC-α转染,并分离出一组稳定过表达PKC-α的异质细胞(MCF-7-PKC-α)。与亲本或载体转染的MCF-7细胞相比,MCF-7-PKC-α细胞中PKC-α的表达水平高五倍。MCF-7-PKC-α细胞内源性PKC-β的表达也显著增加,而新型δ-和η-PKC亚型的表达则降低。MCF-7-PKC-α细胞显示出增殖率提高、不依赖贴壁生长、包括上皮样外观丧失在内的显著形态学改变,以及在裸鼠中的致瘤性增加。MCF-7-PKC-α细胞的雌激素受体表达显著降低,雌激素依赖性基因表达也降低。这些发现表明,PKC途径可能将乳腺癌的进展调节为更具侵袭性的肿瘤过程。

https://cdn.ncbi.nlm.nih.gov/pmc/blobs/54ae/295735/ac32abb8ec17/jcinvest00025-0492-a.jpg

文献检索

告别复杂PubMed语法,用中文像聊天一样搜索,搜遍4000万医学文献。AI智能推荐,让科研检索更轻松。

立即免费搜索

文件翻译

保留排版,准确专业,支持PDF/Word/PPT等文件格式,支持 12+语言互译。

免费翻译文档

深度研究

AI帮你快速写综述,25分钟生成高质量综述,智能提取关键信息,辅助科研写作。

立即免费体验