Suppr超能文献

Myocarditis and haemolytic uraemic syndrome.

作者信息

Abu-Arafeh I, Gray E, Youngson G, Auchterlonie I, Russell G

机构信息

University of Aberdeen, Department of Child Health, Foresterhill.

出版信息

Arch Dis Child. 1995 Jan;72(1):46-7. doi: 10.1136/adc.72.1.46.

Abstract

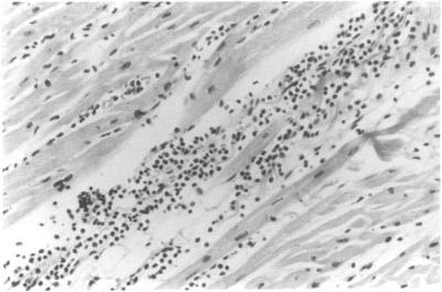
A 13 year old girl is reported who presented with haemolytic uraemic syndrome (HUS) due to Escherichia coli O157:H7 infection. She died during the acute phase of the illness after an episode of unexplained sudden circulatory collapse. Postmortem examination confirmed the diagnosis of HUS and showed histological evidence of myocarditis manifested by the presence of inflammatory cell infiltration in the myocardium and around the conducting system.

摘要
https://cdn.ncbi.nlm.nih.gov/pmc/blobs/7616/1510959/60fd209be8bf/archdisch00629-0051-a.jpg

文献AI研究员

20分钟写一篇综述,助力文献阅读效率提升50倍。

立即体验

用中文搜PubMed

大模型驱动的PubMed中文搜索引擎

马上搜索

文档翻译

学术文献翻译模型,支持多种主流文档格式。

立即体验