Amin K M, Litzky L A, Smythe W R, Mooney A M, Morris J M, Mews D J, Pass H I, Kari C, Rodeck U, Rauscher F J
Department of Surgery, University of Pennsylvania Medical Center, Philadelphia.
Am J Pathol. 1995 Feb;146(2):344-56.
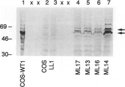
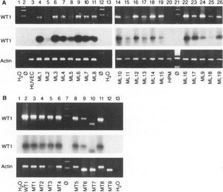
The distinction between malignant mesothelioma and other neoplastic processes involving the pleura is difficult, partly due to the lack of specific markers expressed on mesothelioma. Because of evidence suggesting that the Wilms' tumor susceptibility gene (WT1), unlike other tumor suppressor genes, is restricted mostly to mesenchymally derived tissues, we hypothesized that the WT1 gene products could serve as a potential marker for mesothelioma. The expression of WT1 mRNA was analyzed in 19 malignant mesothelioma cell lines and 9 tumors and compared with the expression of WT1 in 10 non-small cell lung cancer lines and 9 lung cancer specimens. WT1 mRNA was detectable by Northern analysis in 16 of 19 mesothelioma cell lines and in 5 of 8 malignant mesothelioma tumors. In contrast, WT1 mRNA was not detected by Northern analysis in non-small cell lung cancer lines or carcinomas. Immunoprecipitation with an anti-WT1 monoclonal antibody showed that a 52- to 54-kd protein was present in 4 mesothelioma cell lines. Immunostaining with this antibody localized the WT1 protein to the nucleus in two mesothelioma lines and in 20 of 21 mesothelioma tumors examined. This distinctive pattern of nuclear immunoreactivity was absent in 26 non-mesothelioma tumors involving the lung, including 20 non-small cell lung carcinomas. The detection of WT1 mRNA or protein may thus provide a specific molecular or immunohistochemical marker for differentiation of mesothelioma from other pleural tumors, in particular, adenocarcinoma.
恶性间皮瘤与其他累及胸膜的肿瘤性病变之间的鉴别诊断存在困难,部分原因是间皮瘤缺乏特异性标志物。有证据表明,与其他肿瘤抑制基因不同,威尔姆斯瘤易感基因(WT1)大多局限于间充质来源的组织,因此我们推测WT1基因产物可能是间皮瘤的潜在标志物。对19个恶性间皮瘤细胞系和9个肿瘤中的WT1 mRNA表达进行了分析,并与10个非小细胞肺癌细胞系和9个肺癌标本中的WT1表达进行了比较。通过Northern分析,在19个间皮瘤细胞系中的16个以及8个恶性间皮瘤肿瘤中的5个中可检测到WT1 mRNA。相比之下,在非小细胞肺癌细胞系或癌组织中通过Northern分析未检测到WT1 mRNA。用抗WT1单克隆抗体进行免疫沉淀显示,4个间皮瘤细胞系中存在一种52至54 kd的蛋白质。用该抗体进行免疫染色,在两个间皮瘤细胞系以及所检测的21个间皮瘤肿瘤中的20个中,WT1蛋白定位于细胞核。在包括20个非小细胞肺癌在内的26个累及肺的非间皮瘤肿瘤中,不存在这种独特的核免疫反应模式。因此,WT1 mRNA或蛋白的检测可为间皮瘤与其他胸膜肿瘤,尤其是腺癌的鉴别提供一种特异性的分子或免疫组化标志物。