Suppr超能文献

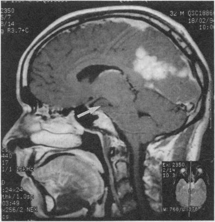
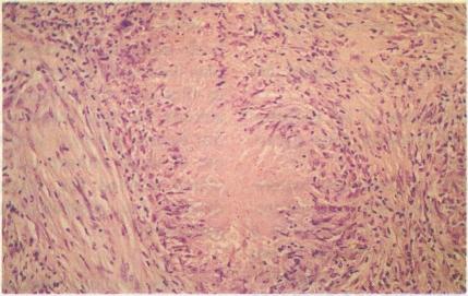
Meningeal granulomas: sarcoidosis or tuberculosis? Differentiation can be difficult.

作者信息

Jarman P R

机构信息

Department of Medicine, Hammersmith Hospital, London.

出版信息

BMJ. 1995 Feb 25;310(6978):517-20. doi: 10.1136/bmj.310.6978.517.

Abstract
摘要
https://cdn.ncbi.nlm.nih.gov/pmc/blobs/4126/2548915/056f35735409/bmj00581-0046-a.jpg

相似文献

1
Meningeal granulomas: sarcoidosis or tuberculosis? Differentiation can be difficult.
BMJ. 1995 Feb 25;310(6978):517-20. doi: 10.1136/bmj.310.6978.517.
2
Biopsy-proven tuberculous meningitis mimicking CNS sarcoidosis.
Intern Med. 2007;46(24):2001-5. doi: 10.2169/internalmedicine.46.0349. Epub 2007 Dec 17.
4
Meningeal neurosarcoidosis mimicking convexity meningioma. Case illustration.
J Neurosurg. 2001 Jun;94(6):1013. doi: 10.3171/jns.2001.94.6.1013.
5
Neurosarcoidosis--demonstration of meningeal disease by gadolinium enhanced magnetic resonance imaging.
J Neurol Neurosurg Psychiatry. 1991 Jun;54(6):499-502. doi: 10.1136/jnnp.54.6.499.
6
Sarcoidosis of the central nervous system.
J Neurol Sci. 1969 Nov-Dec;9(3):405-22. doi: 10.1016/0022-510x(69)90086-0.
7
Leptomeningeal Infiltration, the Hallmark of Neurosarcoidosis.
Am J Med. 2017 Aug;130(8):e331-e332. doi: 10.1016/j.amjmed.2017.02.046. Epub 2017 Apr 5.
10
Leptomeningeal and calvarial sarcoidosis: CT and MR appearance.
J Comput Assist Tomogr. 1995 Jul-Aug;19(4):639-42. doi: 10.1097/00004728-199507000-00027.

引用本文的文献

1
Neurosarcoidosis: Diagnostic Challenges and Mimics A Review.
Curr Allergy Asthma Rep. 2023 Jul;23(7):399-410. doi: 10.1007/s11882-023-01092-z. Epub 2023 May 31.
2
Neurosarcoidosis Presenting as Young-Onset Chronic Headache: A Case Report.
Case Rep Neurol. 2021 Oct 21;13(3):687-692. doi: 10.1159/000519771. eCollection 2021 Sep-Dec.

本文引用的文献

1
Mycobacterium tuberculosis DNA in tissue affected by sarcoidosis.
BMJ. 1993 Feb 27;306(6877):546-9. doi: 10.1136/bmj.306.6877.546.
2
Sarcoidosis and its neurological manifestations.
Arch Neurol. 1985 Sep;42(9):909-17. doi: 10.1001/archneur.1985.04060080095022.
3
Neurosarcoidosis: clinical presentations and course in 50 patients.
Acta Neurol Scand. 1986 Mar;73(3):283-90. doi: 10.1111/j.1600-0404.1986.tb03277.x.
4
Preliminary experience of magnetic resonance imaging in neurosarcoidosis.
Neuroradiology. 1987;29(2):127-9. doi: 10.1007/BF00327536.
5
Magnetic resonance imaging in central nervous system sarcoidosis.
Neurology. 1988 Mar;38(3):378-83. doi: 10.1212/wnl.38.3.378.
6
Angiotensin converting enzyme in cerebrospinal fluid: a new assay.
Neurology. 1985 Aug;35(8):1220-3. doi: 10.1212/wnl.35.8.1220.
7
Neurosarcoidosis--demonstration of meningeal disease by gadolinium enhanced magnetic resonance imaging.
J Neurol Neurosurg Psychiatry. 1991 Jun;54(6):499-502. doi: 10.1136/jnnp.54.6.499.
8
Controversies in hypersensitivity pneumonitis.
Am Rev Respir Dis. 1992 Jan;145(1):1-2. doi: 10.1164/ajrccm/145.1.1.
9
Meningeal sarcoidosis, pseudo-meningioma, and pachymeningitis of the convexity.
J Neurol Neurosurg Psychiatry. 1992 Apr;55(4):300-3. doi: 10.1136/jnnp.55.4.300.

文献AI研究员

20分钟写一篇综述,助力文献阅读效率提升50倍。

立即体验

用中文搜PubMed

大模型驱动的PubMed中文搜索引擎

马上搜索

文档翻译

学术文献翻译模型,支持多种主流文档格式。

立即体验